基本情况
女,57岁;
五天前开始感觉下腹胀痛,为持续性,自服“左氧氟沙星”治疗,疼痛稍有缓解。无阴道流血,外院B超提示:盆腔不均回声包块约10cm,边界清,形态规则。
体格检查
子宫前方可及一直径10cm左右实性占位,活动差,轻压痛。
实验室检查
CA125:340.2U/ml,C反应蛋白:120mg/L,调节T细胞:5.7%、自然*伤杀**细胞6.66%,CD4:48%,CD3:77.3%
术中所见
右侧卵巢肿瘤大小8*10*12cm,与膀胱后壁腹膜、盆腔侧腹膜、部分大网膜、乙状结肠直肠浆膜层前粘连,表面呈褐色坏死状,肿瘤蒂部顺时针扭转两圈,左侧卵巢正常。






手术病理结果
右侧卵巢纤维瘤
免疫组化:CD99(+),Calponin(+),Vimentin(+),Ki-67(+,约50%)

概述
卵巢纤维瘤是卵巢性索间质肿瘤中常见的良性肿瘤,质硬,密度大,表面光滑,有包膜。临床上好发中老年妇女,可出现盆腔包块、腹痛、月经障碍等症状,尤其容易扭转并发腹痛。合并胸腹水时,要考虑麦格综合征。部分患者无症状,肿瘤不具有内分泌功能。肿瘤标志物测定一般正常。由于与卵泡膜细胞所含比例难以界定,一般临床中统称为纤维卵泡膜瘤或卵泡膜纤维瘤。
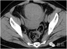
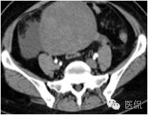
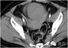
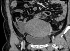
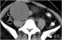
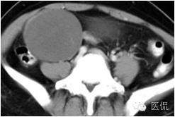
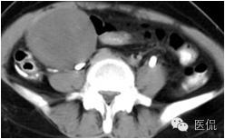
影像表现
◆为单发肿瘤,表现为盆腔内实性肿块,囊性区较小;境界较清楚;肿瘤体积一般较大
合并少量腹盆腔积液;有雌激素分泌增高时,合并子宫内膜增厚
◆CT表现:平扫呈等或稍低密度肿块,低于子宫肌层,可伴少量低密度囊变区,无壁结节
◆MRI表现:实性成分T1WI为稍低信号,T2WI纤维部分表现为低信号,囊变区为高信号。
◆增强肿瘤实性成分呈轻-中度不均匀延迟强化,明显弱于子宫肌层;也可无强化
鉴别诊断
◆子宫浆膜下及阔韧带肌瘤
◆卵巢囊腺瘤
◆卵巢卵泡膜细胞瘤
子宫阔韧带肌瘤

卵巢粘液性囊腺瘤

卵巢卵泡膜细胞瘤




卵泡膜细胞瘤也是来源于性索间质的肿瘤,较为少见。多数肿瘤分泌雌激素,青春期前可出现性早熟,绝经前可出现月经紊乱,引起子宫内膜增厚。CT 表现为均质软组织实性密度肿物,少数可有部分囊变、出血、坏死或钙化,肿物边缘清楚,临床如无内分泌异常表现,术前定位定性均较为困难。卵巢纤维瘤与卵泡膜细胞瘤是同一起源的肿瘤,但纤维瘤更常见,常伴胸、腹水,称Meig's综合症,肿瘤切除后,胸腹水消失。卵巢纤维瘤不具有内分泌功能,T2WI可见低信号的纤维,有助于两者鉴别。