不想错过界哥的推送?
戳上方蓝字“医学界心血管频道”关注我们
并点击右上角“···”菜单,选择“设为星标”

射频消融术后3-6天内出现呼吸困难,高度警惕术后心房炎性水肿导致的急性心衰。
讲课专家 | 田颖北京朝阳医院、哈特瑞姆心脏医生集团联合创始人
文丨徐徐
来源 | 医学界心血管频道
67岁女性,因房颤、房扑做了两次射频消融术。心律是正常了,却胸闷、喘不上气了,咋回事呢?
来看看这则病例:
病例介绍
■ 现病史:67岁女性,2018-09-26,主因“间断心慌10年,胸闷憋气1月余,伴胸痛5天”入院。
10年前开始无明显诱因间断发作心慌,自觉心跳快,于外院行Holter提示心律不齐(具体不详),未予特殊治疗。
4年前当地医院诊断为心房扑动、心房颤动。随后就诊于我院急诊,行心电图检查提示房颤,予以静点胺碘酮复律后,行阵发性房颤、房扑射频消融术(2014-02-27),术后恢复窦律。

图1:心电图提示心房颤动(2014-2-19)

图2:第一次射频消融手术记录(2014-02-27)
1月前,患者无明显诱因出现心慌伴胸闷憋气,门诊行心电图提示房扑(2:1下传),ST-T段改变(Ⅱ、avF、V4、V5、V6),予以富马酸比索洛尔2.5 mg QD口服。收入病房后,再次行射频消融术(2018-09-19)。术后恢复窦律。

图3:心电图提示三尖瓣峡部房扑(2:1或3:1下传)(2018-09-17)

图4:冠脉造影结果提示冠状动脉粥样硬化、心肌桥

图5:第二次消融手术记录(2018-09-019),患者病灶相对复杂,消融部位较多
患者术后3天,步行100米后出现间断胸闷、憋气,伴胸骨后胸痛,无恶心呕吐,持续数分钟,休息后可自行缓解。活动耐量较前明显下降,夜间端坐呼吸。
术后5天发现双下肢水肿,遂就诊于我院。发病以来一般情况可,饮食、睡眠差,体重较前无明显改变。
■ 既往史:糖尿病史10年,规律注射甘舒霖 30R 16U 早晚餐前15min SC,空腹血糖9.0 mmol/L。否认高血压、脑血管病史。CHA2DS2-VASc评分4分,HAS-BLED评分1分。否认吸烟饮酒史。父母已故,父亲患有高血压病史。否认家族性遗传病史。
■ 查体:心率 74 次/分,血压 132/70 mmHg。神清,双肺呼吸音粗,双肺下叶可闻及湿罗音,未闻及干啰音和胸膜摩擦音。心浊音界大致正常,心率74次/分,节律齐,各瓣膜区未闻及病理性杂音,无心包摩擦音,双下肢可凹性水肿。
■ 辅助检查:
-
心电图(见图6):窦性心律、房性期前收缩;
-
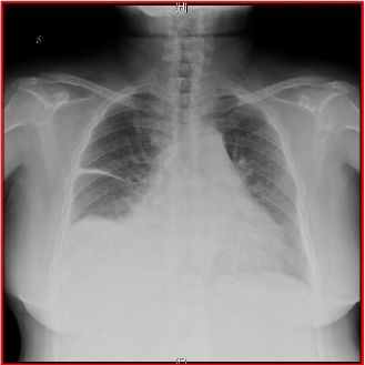
胸片(见图7):门诊胸片提示心影增大,肺淤血;右叶间积液;右膈抬高,右侧胸腔积液;双侧胸膜肥厚。

图6:入院心电图提示窦性心律、房性期前收缩

图7:门诊胸片提示心影增大,肺淤血;右叶间积液;右膈抬高,右侧胸腔积液;双侧胸膜肥厚
■ 初步诊断:心功能不全、心功能II-III级(NYHA分级)、心律失常、阵发性心房扑动、阵发性心房颤动、心脏射频消融术后、冠状动脉肌桥、糖尿病、高脂血症。
那么,问题来了!
1.该患者心脏射频消融术后3天,胸闷憋气原因是什么?
2.消融后出现急性充血性心力衰竭(心衰),机制是什么?如何治疗?利尿?激素?
欲知答案,请继续往下细读↓↓↓↓
从哪“冒”出的心衰?
临床上,若患者广泛射频消融术后心肌损伤较大,术后则可能出现充血性心力衰竭。据文献报道其发病率约2.5%。通常在术后3-6天出现症状。
临床症状以左心衰为主,可表现为呼吸困难、肺部可闻及啰音、端坐呼吸、低血压、体重增加、窦性心动过速、房性心动过速、低热等。但同时患者的脑利钠肽(BNP)、心肌肌钙蛋白(cTnI)、白细胞(WBC)、C反应蛋白(CPR)等会出现相应升高,胸片或CT可见肺水肿,肺淤血等。少数患者出现心包积液。
本例患者的实验室检查结果中(见图8)出现端坐呼吸时,BNP 97 pg/ml,不支持该诊断;心肌肌钙蛋白(术后明显升高,考虑与消融术相关)、WBC无明显变化。

图8:实验室检查
-
心脏彩超显示:射血分数 62%,左心房前后径41 mm、左右径37 mm、上下径62 mm;右心房左右经 38 mm、上下径58 mm,双房增大,无其他明显的异常,未见急性心衰导致的射血分数降低。
-
胸部高分辨CT(2018-09-27)提示:患者存在肺淤血合并轻度间质性肺水肿,双侧胸腔积液,右侧为著,继发右肺下叶膨胀不全;心脏增大,肺动脉高压,未见心包积液;主动脉、冠脉硬化。

图9:心脏彩超提示双房增大(2018-09-28)
在本病例中,尽管患者未出现明显的实验室指标证据,但从症状和胸片来看,患者心衰诊断是明确的。那么,患者心衰的原因是什么呢?
消融术后心衰的病因有哪些?
■ 膈神经损伤?
右侧膈神经临近上腔静脉和右上肺静脉,并沿心房后壁游离壁下行。 行右上肺静脉/上腔静脉隔离,或右房侧壁消融时容易引起右侧膈神经损伤(见图10)。22%-50%的膈神经损伤无明显症状,部分患者会出现气促、呼吸困难、咳嗽、呃逆等表现。重度损伤患者则会引起明显的呼吸功能不全,必要时需呼吸机辅助治疗。

图10:膈神经解剖位置图
从患者的胸片上可见右侧膈肌抬高,但是在CT中却消失了,这是否能考虑是膈神经损伤引起的心衰呢?
这要先从膈神经损伤的诊断标准说起,膈神经损伤大多为可逆性损伤,其诊断以影像学检查为主,术中X线提示偏侧膈肌运动减弱或麻痹;术后X线或CT提示偏侧膈肌抬高、同侧肺膨胀不全或肺底部容量相对减少。
这位患者在胸片中可见右侧膈肌抬高、叶间积液和肺部的膨胀不全,但是在几天后的CT中提示膈肌抬高减轻、右肺还存在肺不张,肺部叶间水肿已经消失。
尽管在消融前会使用起搏电极进行验证,确保消融区域没有膈神经,但是不排除该患者因炎症、水肿等波及到膈神经,从而出现一过性的膈肌抬高、膈神经损伤。
■ 心脏损伤后综合征(PCIS)?
PCIS是指心脏受到各种损伤后出现的以心包、胸膜和肺部炎症为主要表现的一组综合征。介入治疗相关PCIS尚无明确定义,一般指心脏介入手术一周左右出现的发热、胸痛、心包胸膜炎、血象升高、血沉加快等一系列临床表现。
这位患者症状不明显,无发热、轻微胸痛很难与心绞痛鉴别,无心包炎,无胸膜炎,血沉未加快。
■ 心肌顿抑?
“心肌顿抑”传统意义是指缺血再灌注后,出现暂时性机械功能障碍,但没有不可逆的组织学损伤。包括收缩期和舒张期心肌功能障碍。通过干预可以恢复可逆或部分可逆的心肌损伤。可能由急性心肌炎、冠脉炎症、变异型心绞痛、Takotsubo综合征、神经源性心肌顿抑等原因引起。
若射频消融后,局部心肌损伤较大,可能会引起心肌顿抑。但是,这位患者此前心房处于扑动状态,消融后处于窦性心律,即便是未出现机械功能的恢复,也不应该出现加重。因此,这位患者暂不考虑心肌顿抑。
综上,该患者考虑为广泛消融后的心房组织炎症损伤,可能存在短时间的心房顿抑,但更大的可能性在于膈神经暂时一过性损伤以及消融后的心脏损伤综合征,导致出现胸闷憋气、端坐呼吸、双下肢水肿等一系列心衰表现。
如何治疗?
面对这类患者,我们如何采取治疗措施呢?
消融术后急性心衰的基础治疗与常规急性心衰相似,分别是基础生命支持:
-
半卧位腿下垂、鼻腔吸氧;
-
强心、扩冠、利尿,控制出入量:曲美他嗪、单硝酸异山梨酯、托拉塞米;
-
控制血压、血糖、电解质平衡。
若患者出现发热,可予以抗生素;若出现肺水肿和心包积液,可予以激素治疗,如甲强龙等。
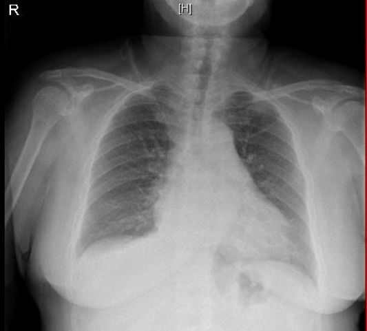
患者治疗3天后复查胸片显示:心影增大、肺淤血等情况较之前有好转;右侧胸腔积液明显减少(见图11)。可见利尿剂的治疗有显著疗效,也可能与一过性膈神经损伤有关。

图11:复查胸片提示右侧胸腔积液明显减少(2018-09-29)
小结
-
患者射频消融术后3-6天内出现呼吸困难、端坐呼吸等症状,需高度警惕术后心房炎性水肿导致的急性心衰;
-
该病例引起胸闷憋气的机制尚不明确,可能由纵膈区神经损伤、心肌顿抑、自身免疫反应、心脏负荷增加等原因引起;
-
消融术后急性心衰的基础治疗与常规急性心衰相似,如出现严重肺水肿、心包积液可考虑加用激素治疗。
想获取更多心脏病诊疗知识?
欢迎加入“读心术”讨论群
留下您的微信号或者扫描下方二维码加小编,
拉你入群~
ps:入群后进行实名制,备注医院-姓名,
不然会被小编清理出去哦~
专家介绍

田颖
田颖,医学博士后、副主任医师,现就职于首都医科大学附属北京朝阳医院心脏中心。是哈特瑞姆心脏医生集团创始人之一。
田颖大夫心脏查房时间:一个病人可能有多个症状,每种症状又可能有多个病因,医生如何打破先入为主的思维定式,抽丝破茧找到解决患者当下问题的有效疗法,“田颖大夫心脏查房时间”,在哈特瑞姆心脏之声每周二15分钟,1个临床案例,培养您的全面诊疗思路。

99%的读者都看了↓↓↓
想轻松读懂心电图吗?
机会来了!
心电图实战培训
让你读懂心电图不再难!
限时优惠,扫码购课。
↓↓↓↓
重要!福利!来了!
快来参与下方海报内新药认知调研
我们将随机抽取20名医生用户
送2019《医学界》专属台历!
界友们请速速参与起来~