纵隔淋巴结增大影像诊断
CT对于纵隔淋巴结的检查具有重要价值。由于CT具有很高的密度分辨力和清晰的横断层面影像,因此对纵隔淋巴结检查的敏感性很高,甚至不足5mm的淋巴结都能被发现。
在观察纵隔淋巴结时,应该了解淋巴结肿大最常发生的部位,不要把其他结构误认为是肿大的淋巴结,同时应正确认识其临床意义。纵隔淋巴结增大常见于以下部位:
1、气管旁:肿大淋巴结多位于气管的右前方,在气管与头壁静脉之间或气管与上腔静脉之间。少数亦可位于气管的正前方。

2、隆突下区:肿大淋巴结位于支气管分义下或分义部的前、后方。

3、奇静脉区:奇静脉窝位于奇静脉弓注入上腔静脉处,此位置的淋巴结在气管旁淋巴结的前方。
4、主动脉弓左间隙:位于主动脉弓的左前方,紧邻主动脉壁。

5、主动脉窗:在主动脉窗层面上,其左缘为脂肪组织构成,肿大淋巴结易于被发现。
6、奇静脉食管窝 (4R) :位于胸椎前,奇静脉与食管的右上方。

有些结构在CT影像上可类似淋巴结肿大,其中最多见的是血管断面,左肺动脉顶部所形成的影像由于部分体积效应也可类似主动脉窗内的肿大淋巴结。静脉注入造影剂对于血管与淋巴结的鉴别很有帮助。
在左肺动脉层面或略高层面上,有些病例在升主动脉后方可见一弧线状、新月状或二角形水样密度结构,此结构为心包上隐窝,不应误认为是淋巴结肿大。左、右心耳,胸腺及胸内甲状腺偶尔也可被误认为纵隔淋巴结肿大。
特别指出,并不是CT所发现的淋巴结都是病理性的。正常淋巴结的大小文献报告不一,Baron等报告正常淋巴结直径小于lcm,若大于2cm为异常。
Osborne等认为正常淋巴结直径小于0.7cm,而Faling等则认为此值为1.5cm. Genecreux等认为95%的淋巴结最大直径小于1cm,99%在1.6cm以下。有的作者认为淋巴结直径大于2.0cm者多为肿瘤转移引起。
一般认为正常淋巴结的直径在1cm以内,直径大于1.5cm者有临床价值。但是实践证明,某些正常大小的淋巴结可能己发生肿瘤转移,而某些大于1.5cm的淋巴结也可能尚未发生肿瘤转移。可见,在判断淋巴结转移方面,CT检查也有其限度。
心包囊肿影像诊断
心包囊肿
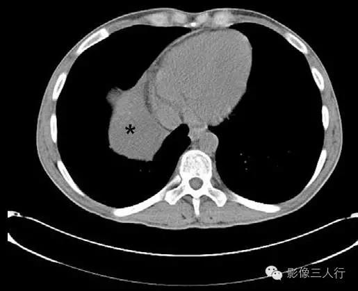
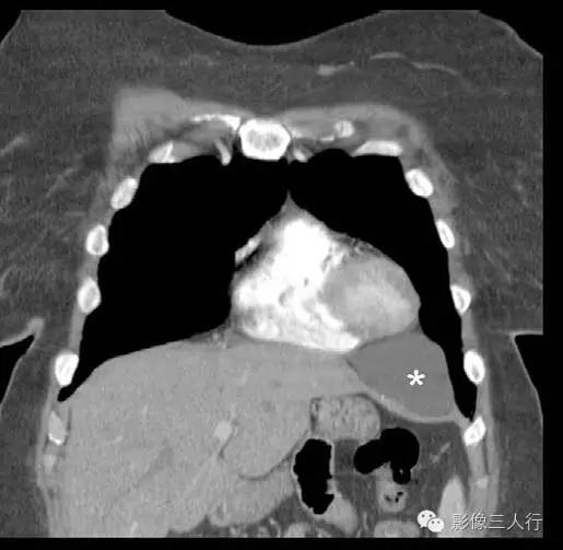
影像表现心包囊肿是一种先天性病变,是心包在早期发育期形成断口的部分所致。心包囊肿可发生于纵隔内的任何部位,但最常见于心膈角。在CT上,典型的心包囊肿无分隔,薄壁甚至不能发现(图1)。对比剂增强后不强化(图2和图3)。心包囊肿通常为水密度,密度可较高,但罕见。在这些病例中,MRI常有助于确定病变的液体性质。囊肿通常在T1加权成像上呈低到中等 信号强度,但在囊肿内含蛋白物质的病例的T1加权成像可呈高信号。囊肿在T2加权成像上呈均匀高信号强度。
辨别出心包肿块的液体密度可除外心包或纵隔肿瘤。由于典型的呈无症状,因此无需进一步检查或治疗。
鉴别诊断心包囊肿出现在心膈角时,其表现和位置具有诊断意义。不过,心包囊肿也可发生在纵隔其他部 位,在这些病例中心包囊肿很难与支气管囊肿或胸腺囊肿鉴别。
CT或MRI上心膈角有薄壁或看不到壁的液体密度肿块应为心包囊肿。如果患者无症状,无需进一步检查或治疗。

图1:胸部CT平扫显示液体密度肿块(*)起于纵隔右侧。未见壁存在,肿块与心包相连。表现为典型心包囊肿

图2:胸部增强CT显示右侧心膈角心包囊肿(*)。未见囊肿壁且不强化

图3:胸部增强CT冠状位重组像显示左侧心膈角心包囊肿(*)