
科普指导:深圳市中医院骨三科 何升华、任之强

强直性脊柱炎(ankylosing spondylitis,AS)是一种慢性的风湿性炎症。
AS 病变首先累及骶髂关节,然后进一步侵犯脊柱,导致脊柱僵硬、疼痛、活动能力减弱,最终可引起骶髂关节及椎间关节骨性强直。
不仅如此,随着疾病的发展,AS 还会累及四肢与躯干相连接的肩关节、髋关节等,这使得患者的活动能力进一步减弱,给生活和工作带来很大的困难。

正常腰椎正侧位片

强直性脊柱炎腰椎正侧位片

骨折有时候并不是外力造成的
有些疾病也会诱发骨折
比如强直性脊柱炎患者
这种疾病往往会伴随着骨折

AS 侵犯脊柱后,患者往往会出现过度的脊柱后凸或侧弯,这会影响患者的身体平衡。一开始,患者还可通过伸髋、屈膝及踝跖屈等动作使自身重心前移,从而尽可能地保持平衡。
但随着疾病的进一步加重,患者的代偿能力会逐步减弱。当患者代偿能力不足时,身体便会不可避免地失去平衡。此时,患者在日常工作及生活中极易跌倒,而当患者跌倒后,本身僵硬而脆弱的脊柱在外力撞击下往往很容易骨折。

强直性脊柱炎合并的骨折X线检查:可见骨折线,骨折经常同时累及前、中、后三柱,骨折相对不稳定,加之骨化的脊柱如同长骨,容易使骨折伴发脱位;
强直想性脊柱炎患者椎体骨质疏松,伴发骨折之后松质骨出血比较多,易并发硬膜外血肿。
由于强直性脊柱炎导致的骨质疏松及松质骨大量出血等特点,临床手术难度非常大,风险也相对较高。

病例:
患者,男,38岁,患强直性脊柱炎病史10年。
近5年来,患者的腰部活动受限,腰背部严重后凸畸形。
前段时间因为不小心跌倒立刻导致顽固性腰痛。站立和坐起的时候腰痛剧烈,不能下床活动,生活质量明显受限。
经过多方打听后,最后在朋友的推荐下,慕名来到深圳市中医院骨三科找何升华主任就诊。
深圳市中医院骨三科的何升华主任经过仔细的检查、看片以后得出诊断结论:病人为强直性脊柱炎合并L1、L2椎体爆裂骨折。

全脊柱正侧位显示骶髂关节间隙消失
脊柱竹节样融合改变

腰椎MRI及CT显示腰1 腰2椎体新鲜压缩骨折
深圳市中医院骨三科的何主任考虑到患者年轻并且合并强直性脊柱炎,椎体多发硬化,不宜采取传统开放性手术。
经过骨科的术前讨论,征求了家人的同意,何升华主任制定了经皮椎弓根螺钉内固定联合过伸体位下弹性按压手法复位的中西医结合的微创治疗方案。

术中何升华主任采用经皮微创方法植入椎弓根螺钉
2月28日顺利实施手术,术中将传统的中医正骨手法与现代化的经皮椎弓根螺钉植入技术相结合,经腰背部脊柱两侧各打4个小洞便顺利完成世界级的高难度手术。
术后病人疼痛明显缓解,4小时以后便可以在床上自主翻身,术后24小时可床旁坐起、带护腰下床站立。

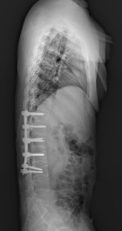
术后复查见腰1、腰2椎体高度恢复,螺钉位置满意
随后经过我院各项中医特色理疗(针灸、子午流注、中医定向透药等)并配合规律地腰背肌功能锻炼,术后第3日,患者已经可以自已下床行走,生活质量明显改善。

强直性脊柱炎的病理特点
何升华主任指出,强直性脊柱炎的病理特点是脊柱椎间关节、前后纵韧带骨化,椎间盘钙化,最终导致脊柱强直。
发生脊柱骨折的几率大
脊柱的弹性及活动度明显减少,椎体抗压抗张能力减弱,加之强直性脊柱炎还常伴有严重的椎体骨质疏松,脊柱严重后突畸形,使强直性脊柱炎病人发生脊柱骨折的几率明显高于正常人。

中医正骨手法辅助治疗效果好
传统开放手术不仅手术切口长、容易造成腰背肌广泛剥离损伤及术中严重大出血等一系列并发症。如何采用简单、有效、微创的方式治疗强制性脊柱炎脊柱骨折一直是骨科届的一大难题。
经皮椎弓根螺钉植入治疗腰椎骨折为脊柱骨折的微创治疗带来了划时代的影响,然而,如何运用中医传统正骨手法辅助治疗腰椎骨折一直是中医学者孜孜不倦的梦想追求。
实践证明,传承了数千年的中医正骨手法整复脊柱骨折不但实用、有效,更是经济、便捷,时至今日,仍然在临床上发挥着巨大的作用。

中西医结合+现代微创技术
何升华主任自年轻时便刻苦钻研中医正骨手法,在深入钻研中医正骨手法精髓的基础上,曾主持的《过伸牵引弹性按压手法复位治疗胸腰椎骨折临床研究》获得了中华中医药学会2010年度科学进步二等奖,填补了中医骨伤脊柱正骨手法的空白。
此次,何升华主任大胆尝试将传统的中医正骨手法与现代化的经皮椎弓根螺钉微创植入技术相结合,不但弥补了西医单纯置钉难以完美恢复骨折椎体高度的缺陷,更是将中医正骨技术拓展到世界级难题—强直性脊柱炎脊柱骨折的治疗当中。相信,这种中西医结合的传统手法+现代微创的技术结合,必将为更广大的强直性脊柱炎脊柱骨折患者中西医微创治疗带来福音。

专家介绍

何升华
教授、主任医师
博士生导师
深圳市中医院脊柱科主任,主任医师,教授,广州中医药大学中医骨伤科学中西医结合脊柱微创方向博士生导师。欧美脊柱微创访问学者,中华中医药学会脊柱微创专家委员会常委,中华中医药学会骨伤科分会委员、中国中西医结合学会骨伤科分会椎间盘退变与修复专家委员副主任委员,中国中西医结合学会骨科微创脊柱内镜学组常委、中国中西医结合学会脊柱医学专业委员会委员、中国医疗保健国际交流促进会脊柱内镜委员,广东省康复医学会脊柱疼痛与内镜技术专业委员会副主任委员,广东省中西医结合学会骨科微创专业委员会常委、广东省中西医结合学会脊柱医学专业委员会常委、广东省医学会脊柱外科分会委员、广东省医师协会骨科医师分会委员、深圳市中医药学会骨伤专业委员会员副主委、深圳市中医药学会骨质疏松专业委员会副主委、深圳市医管中心脊柱质控中心委员、深圳市骨科学会脊柱学组委员,深圳市脊柱微创学组副组长。主持的“过伸牵引弹性按压法治疗胸腰段椎体压缩性骨折的临床研究”课题,荣获中华中医药学会科技进步二等奖(201002-35 LC-39-R-OI),荣获全国“郭春园式好医生”称号,深圳市优秀中医,深圳市中医院“十佳医务工作者”。精于中西医结合诊治骨伤科疑难病症,脊柱及相关疾病治疗,骨质疏松症治疗。擅长脊柱外科、经皮椎间孔镜(PELD)微创手术治疗腰椎间盘突出症、椎管狭窄症,MED微创治疗颈、腰椎退变性疾病,脊柱脊髓神经损伤手术治疗,发表SCI论文2篇(Spine1篇),专业论文40余篇。
上下滑动了解更多