今天在知乎看到一个提问:

很多朋友在没有做过阴超之前都是对阴超非常疑惑,甚至恐惧,今天门墩er就来给准备做阴超的小伙伴们科普一下阴道超声检查。
阴道超声检查是什么样的检查方式?为什么要做阴超?哪些人可以做?做之前都要做哪些准备?会痛吗?是一种什么样的体验?接下来我们一起了解下吧。
1、什么是阴道超声检查?
阴道超声检查的是将腔道探头经阴道直接接触子宫及附件的一种超声检查(当然会对探头套个保护套,避免不卫生)。
阴超检查方式

图源网络
经腹超声检查方式

2、为什么要做阴超?哪些人可以做?
阴道超声与经腹部妇科超声的最大的区别就是阴道超声看得更清楚。
举个栗子:经腹超声就像透过纱窗看窗外,而阴道超声就是直接拉开窗户看外面。
下图就是分别经腹部及经阴道超声的检查对比图。


可以看出经腹部的超声不能看清较小的卵泡及卵巢的细微结构,而经阴道超声就能看得清清楚楚。
那为什么会有这么大的区别呢?
因阴道超声的频率更高,因此分辨率更高,而经腹部超声频率低,因此分辨率就略差一筹,看起来更模糊些。
除了频率的差别以外,经腹超声更容易受以下因素影响,导致看不清楚:
- 体胖:腹壁较厚的脂肪会造成声波衰减,从而更看不清楚;
- 腹腔气体:便秘或不能憋足尿量,腹腔气体易挡在子宫前方,经腹部就看得模模糊糊;
而阴超可以直接接触子宫,尽可能的避免这两项影响因素,从而清楚的看清子宫及卵巢的情况。

哪些人可以做?
有*生活性**且经腹部无法达到诊断目的的都可以做阴超。

主要包括以下几种情况:
1、监测排卵及内膜情况;
2、子宫病变的观察(如:子宫肌瘤、腺肌症、息肉、内膜癌等;
3、卵巢非赘生性囊肿或肿瘤诊断;
4、明确诊断早期妊娠(经腹无法观察的早孕);
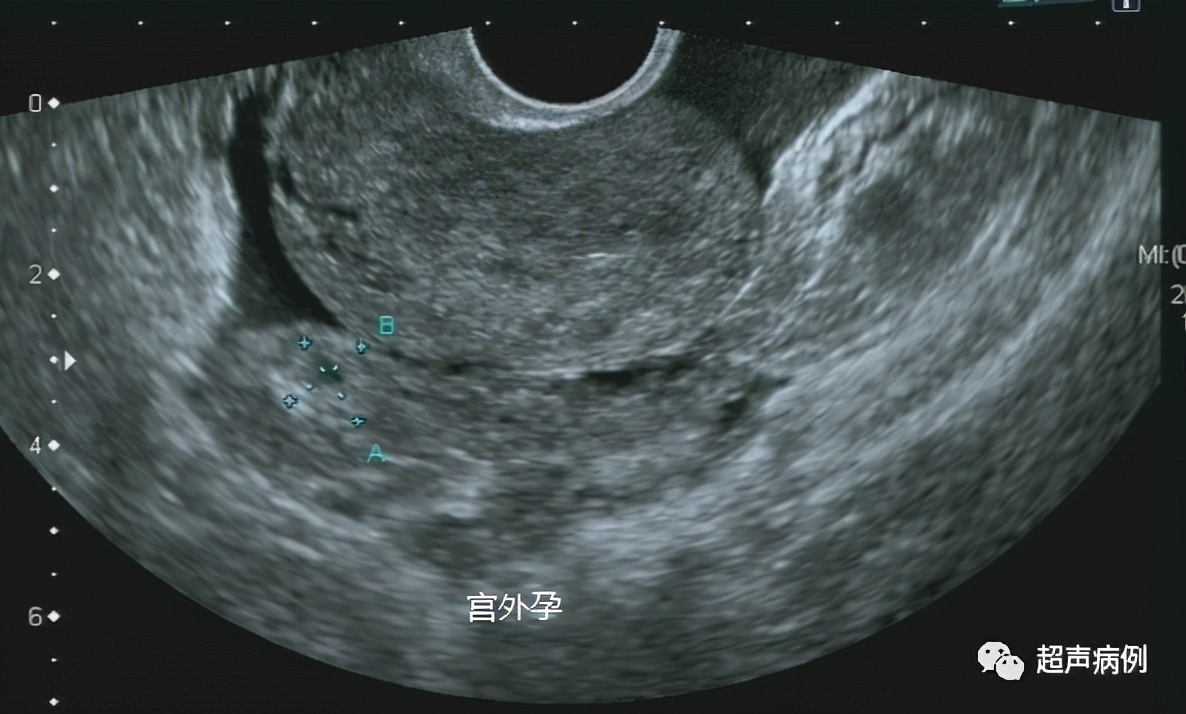
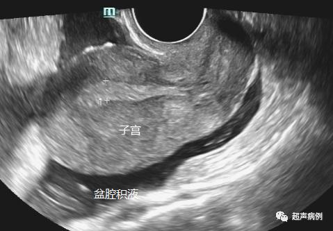
5、排除有无宫外孕等情况。


3、做之前都要做哪些准备?
首先放松心情,在做检查前需要排空小便(如有大便也可排空),这样的话探头可以更直接地接触子宫,避免膀胱及腹腔气体的干扰。
4、会痛吗?是一种什么样的体验?
这个因人而异,一般不会有特别的疼痛(有阴道炎除外,因本身有炎症,探头进入时会有不适感)。
门墩er每次在做检查时都会在检查前告知受检者放轻松,如果有不舒服随时告诉我。
然后给探头套上保护套,并挤一点无菌耦合剂,这样可以减少阻力,从而减少不适感。
在检查过程中会有不适的是在检查卵巢。

因每个人的卵巢位置不同,所以在找卵巢时可能会因轻微不适,此时需要受检者做的就是,双手握拳,垫在屁股下方,这样可以更好的显示卵巢,也不会有特别的疼痛感。
因此为了减少不适或疼痛感需要医患双方共同合作。
医生需要轻柔的操作,而患者也需要放松,并将屁股垫起,这样才能减少检查过程中的不适。
说到最后,做阴超到底是种什么体验?
对于受检者来说:羞涩是最主要的,因为大多人还是觉得非常尴尬;但绝大部分人是不会有疼痛感的,少部分有轻微疼痛。
对于医生来说:想快速并准确做完检查是最主要的,还有就是希望患者能够放松,这样检查会更顺利。
最后门墩er希望在准备做阴超的小伙伴们不要太紧张,阴超并没有网上流传的那么可怕,阴超只是一种普通的检查方式而已,无需畏惧。