
作者 | 吴岩峰、胡彦君、刘深龙、宋立刚、马宁
颅内动脉粥样硬化性狭窄多为偏心性狭窄分布于管腔某一壁。但我们也可见突出于管腔内的狭窄,造影显示狭窄轮廓不清,某些投造体位可见充盈缺损(图1,来自秦皇岛市第一医院,杨大为主任提供),类似“蜂巢样”改变,或者呈“夹层样”改变。本周我们汇报病例系一例基底动脉“蜂巢样”狭窄支架治疗的过程。

图1
病例详情
病情信息
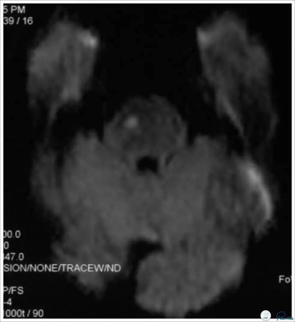
患者,男性,52岁,主因“反复头晕10月”入院。10个月前无明显诱因出现头晕,伴视物旋转,治疗后好转(具体不详)。7个月前头晕再次发作,伴视物旋转、视物成双、耳鸣、恶心呕吐,反复发作数周后好转(每周发作4-5次)。 5个月前上述症状再次反复,伴行走不稳。患者每次症状持续数分钟到数小时不等。至当地医院就诊,查头颅MR示右侧脑桥亚急性梗死(图2)。

图2
CTA示基底动脉重度狭窄(图3)。

图3
予波立维抗血小板聚集(患者因胃溃疡未服阿司匹林,单用波立维抗血小板治疗)、立普妥降脂等治疗,症状仍反复发作,每周发作1-2次。 现为进一步行血管内治疗来我院。
既往有高血压、高脂血症、胃溃疡病史、吸烟史。
入院神经系统查体无阳性定位体征。
入院后给予双联抗血小板(西洛他唑100mg 2/日+波立维 75mg 1/日)及降脂(阿托伐他汀钙 20mg 1/日)治疗。
入院查TCD示基底动脉流速>220cm/s。
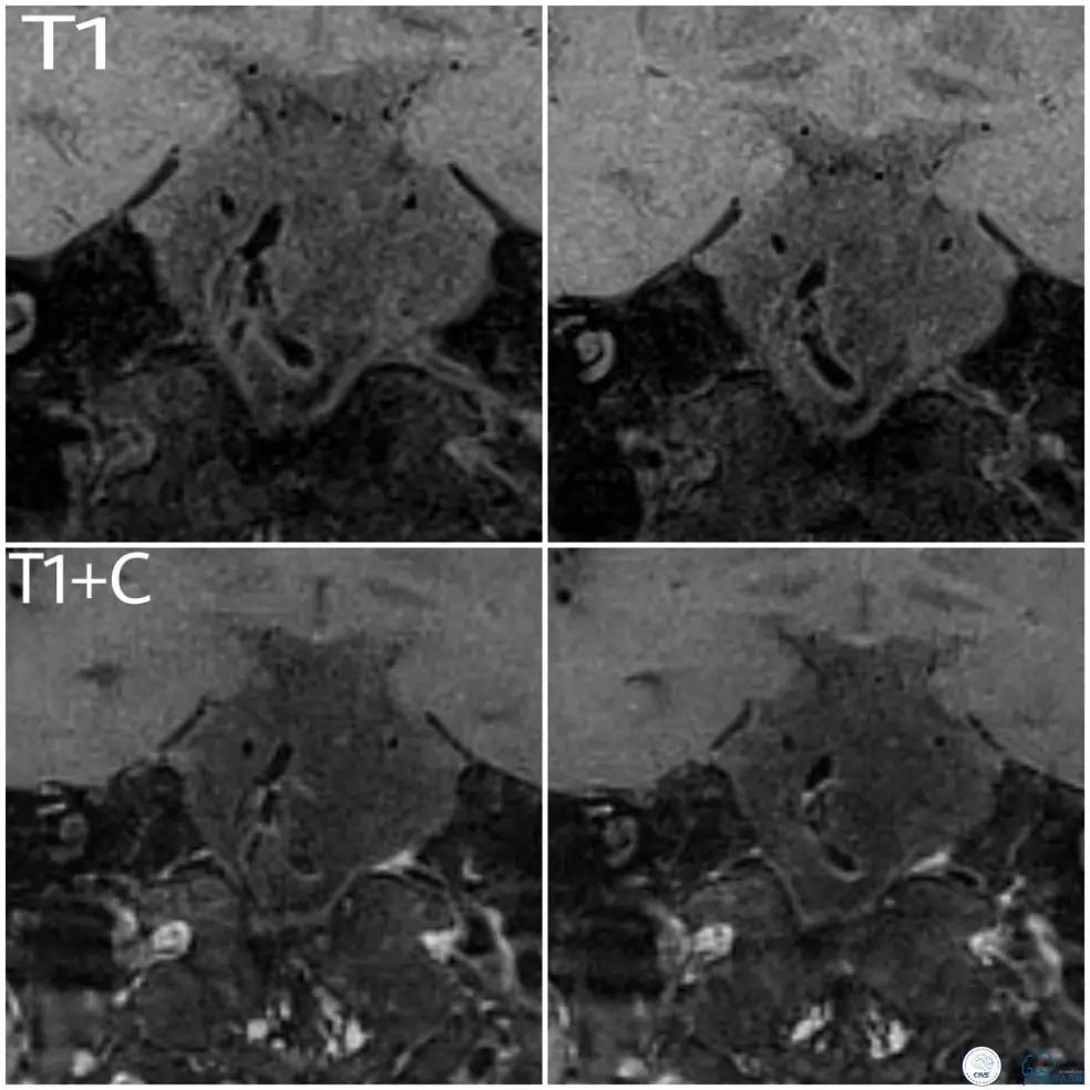
入院后查高分辨核磁提示(图4):基底动脉起始处管腔内壁环形增厚,斑块形成,内壁粗糙,形态不规则,斑块呈等T1信号,增强后斑块呈明显均匀强化。DWI序列上未见明显弥散受限病灶。考虑诊断基底动脉起始处管壁斑块形成,表面溃疡形成。

图4
术前造影(图5、6):基底动脉近段狭窄,局部管腔不规则,似有“充盈缺损样改变”,管壁不光滑,前向血流减慢。可见右后交通动脉开放,见双侧大脑后动脉,基底动脉尖和上段显影。

图5

图6
术前讨论
1. 患者基底动脉症状性狭窄,药物治疗后仍有症状反复。
2. 高分辨核磁提示基底动脉下段管腔内见斑块掀起,结合血管造影提示局部充盈缺损,考虑狭窄系不稳定斑块构成。
3. 狭窄段毗邻双侧小脑前下动脉及多个细小穿支动脉,其治疗风险主要是术后穿支卒中。
4. 狭窄段局部路径迂曲,估计通过病变亦有一定难度。
治疗过程简述
全麻下,右股动脉入路, 6F导引导管放至右椎动脉V2段远端,Transend微导丝(0.014″300cm)+Echelon-10微导管至基底动脉狭窄段近端,反复多次尝试不能通过狭窄段(图7)。

图7
遂换用Traxcess微导丝(0.014″200cm)+Echelon-10微导管越过狭窄段后,重新交换Transend微导丝至右大脑后动脉P2段,Gateway球囊(2.0mm×9mm)扩张后,放置Apollo支架(2.5 mm×13mm)至狭窄段,球扩释放后支架贴壁良好,残余狭窄约15%,前向血流TICI3级(图8)。

图8
总结
1.本例基底动脉“蜂巢样”狭窄形成与原重度狭窄的斑块内容物脱落有关,形成类似斑块掀起的改变,该狭窄如果对血流动力学存在影响,会产生低动力缺血症状。
2.本例治疗过程难点在于微导丝越过病变,导丝操控要轻柔,避免大幅度旋转动作,防止形成医源性夹层。
3.具体材料选择感觉Traxcess微导丝过类似病变能力更强一点。
4. 管腔内的充盈缺损征象,有时类似血管开窗,高分辨核磁可能有助于鉴别。
欢迎大家积极投稿!
中国卒中学会第三届学术年会(CSA)暨天坛国际脑血管病会议(TISC)’ 2017 是脑血管病领域最具影响力的学术盛会之一。希望大家积极发挥学术先锋作用,撰写高质量的学术论文,在中国脑血管病领域的大舞台上发出强有力的学术声音。