又到了秋风起蟹脚痒的时候,
很多人已经在摩拳擦掌等待大闸蟹上市了,
但要注意的是,螃蟹这个美味,
吃不对,那可是要肺里、脑子里长虫子的,
重则一辈子留下后遗症!

仙居4小伙生吃螃蟹全部中招

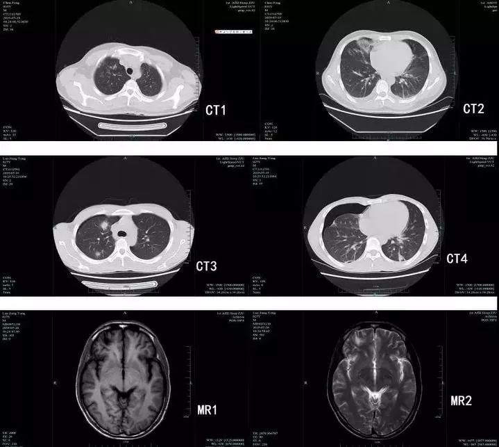
肺吸虫感染后的肺部团块影和颅内软化灶
果然,经过寄生虫检测,两人均为卫氏肺吸虫抗体阳性,均在腹部和肺部发现肺吸虫,骆某更是在脑子里发现肺吸虫囊性灶,比较严重。幸好两人发现及时,并且就医及时,经过药物治疗后康复出院,没有留下后遗症。
肺吸虫的百科全书
虫卵期:在水里
婴幼儿期(毛蚴):侵入川卷螺中发育
青少年期(囊蚴):侵入淡水蟹和蝲蛄
成年期(肺吸虫):寄生在犬、猫、猪和野生动物
肺吸虫的感染途径
其实,真正有危害的是囊蚴,就是青少年期的肺吸虫,人在进食未经煮熟的带有囊蚴的淡水蟹或蝲蛄,或食用半熟的被囊蚴感染的野生动物肉,或生饮被囊蚴污染的溪水后,囊蚴通过口感染,在胃和十二指肠内囊蚴破裂,幼虫脱出并穿过肠壁进入腹腔,穿过横膈入胸腔和肺,在肺内发育为成虫,还可寄生于多种组织器官,如脑、脊髓、胃肠道、腹腔和皮下组织等,产生相应症状,严重时会造成不可逆的后遗症。

人体寄生的肺吸虫,在国内主要有卫氏肺吸虫和斯氏肺吸虫两种。卫氏肺吸虫病分布于浙江、台湾、辽宁、吉林、黑龙江等省。斯氏肺吸虫病分布于四川、江西、云南、福建、广东、贵州、陕西等省。
感染肺吸虫的症状
肺吸虫病是以肺部病变为主的全身性疾病,临床表现复杂,症状轻重与入侵虫种、受累器官、感染程度、机体反应等多种因素有关。起病多缓慢,肺吸虫病潜伏期多在6个月左右,也可短至数日或迟至2年。
患者可有低热、咳嗽、咳烂桃样痰和血痰、乏力、盗汗、食欲不振、腹痛、腹泻或*麻疹荨**等临床表现。
按其侵犯的主要器官不同,临床上可分为4型:胸肺型、腹型、皮肤型、脑型。肺脏为卫氏肺吸虫最常寄生的部位,斯氏肺吸虫常引起皮下结节,部分有游走性。
改变生食习惯
远离肺吸虫病
看完骆某四兄弟的遭遇,很多人会暗自庆幸还好没吃过生螃蟹,但注意了!醉蟹也是生食,经过酒泡一下根本就不能杀死肺吸虫,所以吃醉蟹有感染风险。另外,还有别乱喝看似清澈的溪水,说不定被感染过,也有感染可能性。但也不要害怕,经过高温煮沸后,肺吸虫可以被完全杀死。

征集70名睡眠障碍困扰者
美好睡眠,放飞梦想。人的三分之一时间,是在睡眠中度过。睡眠质量不好,直接影响另外三分之二的人生。
现代社会,睡不着、睡不醒、睡不好的市民不少。
台州第一个睡眠医学中心、心理咨询中心即将在9月28日开业,现向全市征集70名受睡眠障碍困扰的市民。
中心将提供免费的睡眠心理评估和物理治疗体验,免费项目包括:睡眠呼吸初筛仪器检查、睡眠质量评估、焦虑抑郁自评、症状自评量表、艾森克人格量表、睡眠呼吸暂停评估、脑功能检测、精神压力分析仪、植物神经功能检测。
检测后,睡眠专家与心理专家将面对面,帮助分析评估制定治疗方案。
对适合的市民,还赠送物理治疗体验项目,包括重复经颅磁刺激、经颅微电流刺激、慢性小脑电刺激、穴位调控疗法以及中药泡脚汤和中药穴位贴等。
如果你有“睡不着、睡不醒和睡不好”的症状,想得到专业的治疗和良好的改善,可以拨打晚报热线 电话报名:88516110,88516112。
来源:浙大一院
版权归原作者所有