流感疫苗应不应该打?要打的话,几月份合适?很多人关注这个问题。
我们先一起看个简单病例,3分钟后相信大家就心里有数了,顺便学习一下怎样用CT片检查肺炎。
受凉后,他继发了金葡菌肺炎
这是一位34岁的已婚男,受凉以后发热、咳嗽3天,体温最高39℃,伴有咽喉疼、气短,在家吃莲花清瘟胶囊和罗红霉素效果不明显,过来做了肺部CT,双侧肺炎(右侧重):

此时属于肺炎初期,CT片上以支气管周围炎为主,沿着支气管分布的白色斑片影,提示吸入性感染,但此时CT表现缺乏特征性,比如支原体肺炎、细菌感染、真菌或者病毒性肺炎都可以有这种初期表现,以支原体肺炎最常见,需要结合化验检查和病原学检测来判定致病菌,不同病菌需要不同的抗菌药物。
但有时化验检查缺乏特征性,比如很多病毒感染白细胞可以正常,细菌感染也可以白细胞不高;而病原学检测又需要一定时间。这个时候怎么办呢?呼吸科医生会根据病菌的流行病学、汇总化验结果等,进行经验性抗炎治疗,选用的抗生素会覆盖常见的致病菌(或者是近期流行的致病菌)。
很多病菌感染进展很快,如果等到病原菌培养成功再使用抗生素治疗,会错过治疗机会。
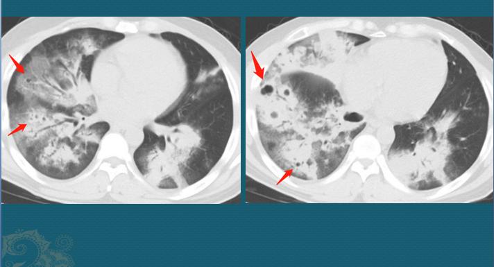
经过3天经验性治疗,这位病人症状没有缓解,复查了第二次CT:

白色病变区出现多发小空洞和小气囊(黑色)
CT片显示病灶进展、扩大,双肺多发斑片状影(重症肺炎),并且出现很多黑色小空洞和小气囊。这个时候CT就有了一定的特点,要考虑金黄色葡萄球菌肺炎。
金葡菌肺炎简介
金黄色葡萄球菌是一种化脓性细菌,一次性吸入较多病菌,或者菌株毒力较强,就会引起肺部化脓性炎症,并且这种炎症进展速度可以很快。

经过24的培养,金葡菌就能形成3mm的金黄色菌落,而我们人类的小气道<2mm,可以轻易被脓液堵塞。脓液比较黏稠,所以这种小气道堵塞常常是不完全性的,呈活瓣样,气体易进难出,就会发生远侧肺气囊,像气球一样吹大了。
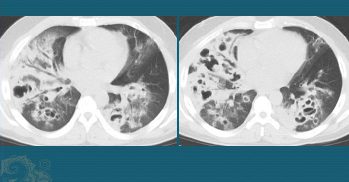
而粘稠脓液是液态的,会随气压变化在小气管里缓慢移动,变换堵塞部位和堵塞程度,加上病变区肺组织受脓液腐蚀失去弹性(容易塌陷),这些气囊形态可以多变。所以金葡菌肺炎进展期的CT征象可以在短期内快速变化。下图是这位病人第三次复查,肺气囊和空洞进一步增多、增大:

这位病人重症肺炎,在鬼门关前转了一圈,经过20多天治疗才脱离危险。
读到这里,估计有人要产生疑惑了,上面这些跟流感病毒有啥关系?跟疫苗有啥关系?下面听豪大夫详细解释。
我们要知道,很多吸入性的金葡菌肺炎不会很严重,尤其是年轻力壮的人群,但这位病人肺炎进展迅猛,还差点丧命,原因是他受凉感冒,先感染了甲型流感病毒,之后继发金葡菌感染,两种病原体二合一,威力大增了。

流感病毒相关性细菌肺炎,常常很猛
流感病毒分甲、乙、丙三型,甲型流感又分为很多亚型,比如H1N1、H3N2、H5N1和H7N9等。其中H5N1和H7N9禽流感病毒感染更严重,因此被称为高致病性禽流感病毒。
得了流感之后,如果出现症状加重,尤其是伴有呼吸困难,要警惕合并了流感病毒肺炎,流感病毒会破坏呼吸道黏膜,并分泌利于细菌繁殖的蛋白酶和细胞因子,从而继发流感病毒相关性细菌肺炎,病人会出现咳黄色脓性痰、白细胞升高(以中性粒细胞为主)、气短和呼吸困难。而金黄色葡萄球菌又能促进流感病毒的活化和复制,增强其致病能力,发展为重症肺炎,如果不及时治疗,死亡率甚至高达42%。
流感病毒相关性细菌肺炎,常见的病原菌为金葡菌、肺炎链球菌和流感嗜血杆菌,以金葡菌发展最快。

如何防范流感病毒?
流感病毒与不同感冒不同,常常突然爆发并迅速扩散,造成不同程度的流行,除了能引起病毒性和细菌性肺炎之外,还能引起脑炎、心肌炎、急性心肌梗死等严重并发症。所以每次流感病毒大流行的死亡人数,都是灾难性的(人类历史上曾经发生过4次大流行)。
不过与新冠病毒不同的是,流感病毒是有疫苗的。接种流感疫苗是防控流感和流感病毒肺炎的有效措施之一,可以减少感染机会,减轻症状,尤其是儿童和老年人。很多身患糖尿病、慢阻肺等慢性疾病的老人,感染流感后更容易出现上述并发症,甚至导致死亡。
除了注射疫苗之外,合理添减衣物、饮食多样化、不熬夜、经常开窗通风或者增加一点室外活动都是有益的,比如每天走步1万步就是很好的有氧运动方式。还有,感冒后如果症状持续不缓解,尤其是出现反复发热或高热、气短和呼吸困难,要及时看医生!
每年几月份打流感疫苗更科学?
流感疫苗的最佳接种时机,是每年的流感季节开始之前。在我国,尤其是北方地区,冬、春季是流感流行季节,因此每年的9、10月份是最佳接种时机。当然流感开始以后接种也是有预防效果的,流感病毒的抗体产生比较快,而疫苗的安全问题最近这两年监管部门也很重视!

也许有人会问,流感疫苗为什么不是终身免疫呢?
这是因为流感病毒的抗原性变异较快,人类无法获得持久的免疫力,人群对流感病毒普遍易感,不分男女老幼。
我是影像科豪大夫,分享小病例,传递正能量,欢迎关注!
#健康出行节# #湖南医疗超能团#