
病例资料
患者女性,53岁。主因右下腹无放射性疼痛就诊。既往有高血压和肾结石病史。
患者于此次就诊的前一天接受结肠镜筛查并通过冷圈套切除术切除盲肠内6mm无蒂息肉一枚。患者在结肠镜检查后12小时出现腹痛,并伴有恶心和发热。无便血或排便习惯改变。
体格检查:体温38.8℃,血流动力学稳定。腹部柔软,右下腹触诊压痛,无腹膜刺激征。
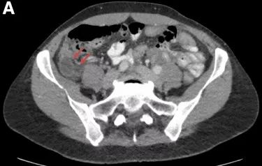
实验室检查发现白细胞计数升高,WBC 7.0 K/μL(参考范围4.5-11.0 K/μL)。腹部CT检查(图A)。

(图A 腹部CT检查)
诊断:结肠镜检查后阑尾炎
诊断过程
腹部CT检查发现阑尾增大且周围存在微量液体(图A),与急性阑尾炎表现一致。患者经阑尾切除术后症状缓解并经病理检查确诊(图B)。

(图B 病理检查)
分析讨论
结肠镜检查后阑尾炎临床罕见,之前的研究估计其发生的绝对风险为1/5.6万。结肠镜检查后腹痛最常与空气残留或结肠痉挛有关,如果在结肠镜检查过程中应用电灼,息肉切除术后电凝综合征也可出现腹痛、发热以及白细胞增多,与阑尾炎难以鉴别。
结肠镜检查后急性阑尾炎的病因尚不清楚,但可能是由于腹腔内压力增加导致的气压性损伤,其原因可能与空气注入或阑尾口阻塞以及粪便残留有关。
该例患者在结肠镜检查后出现症状,且在结肠镜检查时阑尾口周围未出现红斑或水肿,因此认为是由结肠镜检查导致的阑尾炎而不是偶发的阑尾炎。本例强调了急性阑尾炎在结肠镜检查后出现腹痛患者中进行鉴别诊断的重要性。
参考来源:Abhijeet Waghray, Caroline Jouhourian.An Unusual Cause of Abdominal Pain.Gastroenterology.2019.156(5):e6–e7.