今年45岁的王女士每次“大姨妈”驾到犹如排山倒海,量大惊人,而且还久久不肯离去,淋沥不净半月余。6年前王女士月经量过多曾去医院检查发现子宫肌瘤(大小约4cm*5cm*6cm),医生建议手术治疗,王女士及家属未采纳医生建议。随后王女士月经量越来越多,持续时间逐渐延长,淋沥不净,贫血逐渐加重,常有久坐后站立时眼前发黑(黑蒙)几秒钟,并出现尿频、便秘,大便不畅、排便后不适感,来医院超声检查时发现子宫肌瘤较6年前明显增大(大小约12cm*10cm*8cm),医生建议手术切除子宫治疗,因良性的子宫肌瘤就没有了子宫(从此与大姨妈无缘),实在难以接受,则王女士未接受子宫切除治疗,医生则建议王女士至介入科就诊,了解能否通过微创介入子宫动脉栓塞治疗,因为该方法可以保留子宫的情况下治疗子宫肌瘤,适合拒绝子宫切除外科手术治疗的患者。王女士来到广东省第二人民医院介入科就诊,门诊磁共振检查如下:
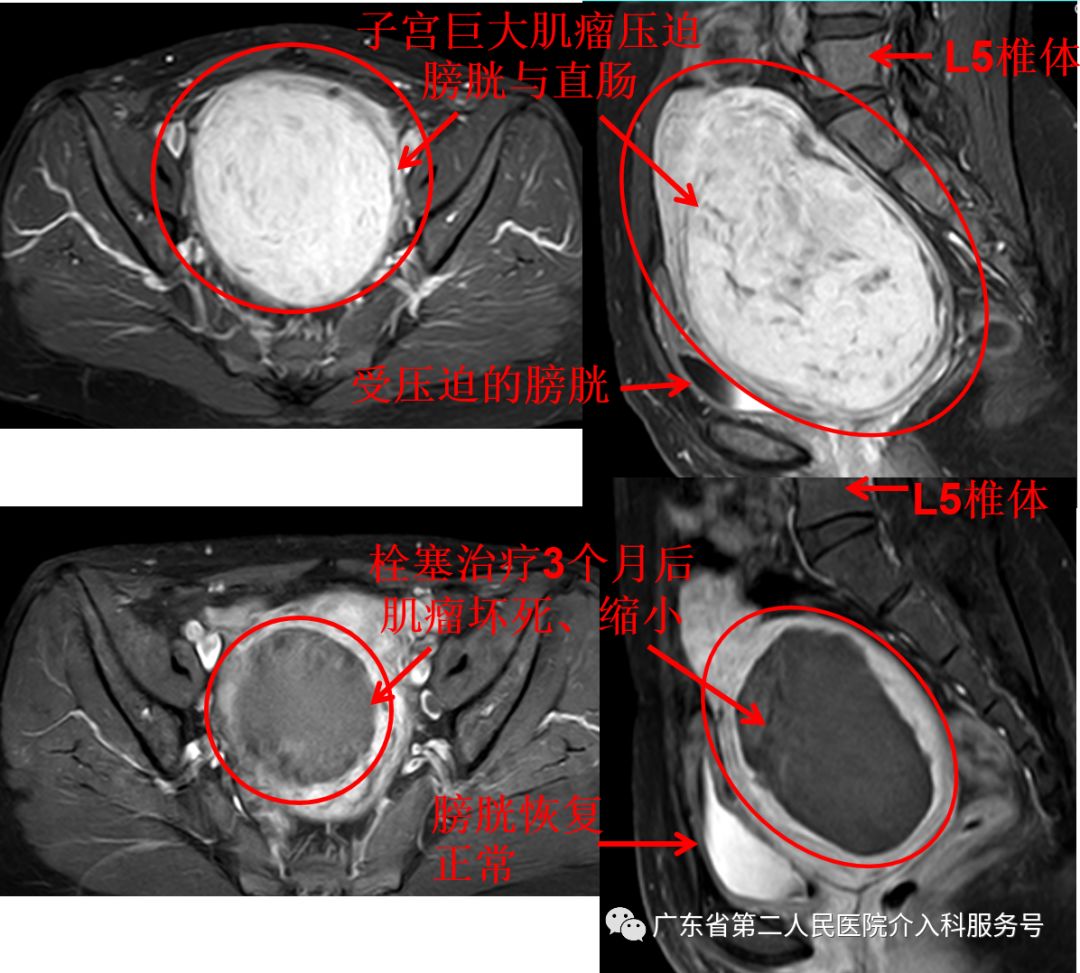
下图为王女士的磁共振检查:宫颈管巨大子宫肌瘤(国际妇产科联盟(FIGO)子宫肌瘤Ⅷ型,大小约13m*11cm*10cm)

下图为正常的子宫与王女士巨大子宫肌瘤磁共振对比图

王女士住院完善相关检查后,适合做子宫动脉栓塞治疗,则在广东省第二人民医院介入科给予王女士局部麻醉下行子宫动脉超选择栓塞治疗子宫肌瘤。子宫动脉超选择栓塞治疗是经右大腿根部的股动脉在机器的监视下送入小小导管找到子宫肌瘤的供血动脉,然后将子宫肌瘤的供血动脉栓塞,最后拔除导管结束治疗。
下图为王女士的子宫肌瘤血供丰富(肌瘤血液供应充足,生长旺盛),微创栓塞治疗后子宫肌瘤血供消失(肌瘤缺乏生长的血液后则坏死、吸收、缩小)。

治疗后第1天,王女士即可正常下床活动,在大腿根部只有2毫米(约米粒大小)的微创针眼已愈合并无疤痕,3天后出院。
治疗后差不多1个月,王女士的“大姨妈”驾到,量正常,第6天即干净,再也没有淋沥不净的尴尬。3个月后,王女士例假依然正常,已没有贫血貌,现在久坐后站立时再也没有出现眼前发黑(黑蒙)的现象,腹部平坦,大小便正常。王女士高兴的说:终于摆脱“大姨妈”来时排山倒海,淋沥不净的烦恼,关键是可以和其他女性一样保留子宫,正常来月经,没有血块,不会淋沥不净,生活也舒坦了。门诊复查血红蛋白在正常范围,磁共振如下(子宫肌瘤已坏死、吸收、缩小(8cm*7cm*5cm),随后还是的肌瘤还会继续吸收、缩小)。

哪些子宫肌瘤适合做微创介入治疗(子宫动脉栓塞)?让我们来看看国内与国际上的标准。
子宫肌瘤做微创介入治疗(子宫动脉栓塞)的适应证基本同手术治疗的适应证:a.子宫肌瘤合并月经过多或 异常出血甚至导致贫血;或压迫泌尿系统、消化系统、神经系统等出现相关症状,经药物治疗无效;b.子宫肌瘤合并不孕;c.子宫肌瘤患者准备妊娠时若肌瘤直径≥4 cm 建议剔除;d.绝经后未行激素补充治疗但肌瘤仍生长。
子宫肌瘤做微创介入治疗(子宫动脉栓塞)更适用于要求保留子宫者,尤其适合于子宫肌瘤剔除术后复发、有多次腹部手术史、不能耐受或不愿意手术治疗者。子宫大量急性出血时可行急诊栓塞。禁忌证同血管造影,无绝对禁忌证。……《子宫肌瘤的诊治中国专家共识》,子宫肌瘤的诊治中国专家共识专家组,中华妇产科杂志 2017 年12月第 52 卷第12期 Chin J Obstet Gynecol,December 2017, Vol. 52, No. 12 ;《子宫肌瘤及子宫腺肌病子宫动脉栓塞术治疗专家共识》,中华妇产科杂志、2018年第53卷第5期289—293页

上图为国际妇产科联盟(FIGO)子宫肌瘤 9 型分类方法示意图0型:有蒂黏膜下肌瘤;Ⅰ型:无蒂黏膜下肌瘤,向肌层扩展≤50%;Ⅱ型:无蒂黏膜下肌瘤,向肌层扩展>50%;Ⅲ型:肌壁间肌瘤,位置靠近宫腔,瘤体外缘距子宫浆膜层≥5 mm;Ⅳ型:肌壁间肌瘤,位置靠近子宫浆膜层,瘤体外缘距子宫浆膜层<5 mm;Ⅴ型:肌瘤贯穿全部子宫肌层;Ⅵ型:肌瘤突向浆膜;Ⅶ型:肌瘤完全位于浆膜下(有蒂);Ⅷ型:其他特殊类型或部位的肌瘤(子宫颈、宫角、阔韧带肌瘤)。
ACR Appropriateness Criteria® on Treatment of Uterine Leiomyomas.Journal of the American College of Radiology/Vol. 8 No. 4 April 2011 (2011年美国放射学会子宫肌瘤的治疗指南)

29岁女性,多发黏膜下和壁间肌瘤,月经过多和盆腔疼痛;大部分的肌瘤小于4厘米,有两个肌瘤大于6厘米;病人不希望将来怀孕,但担心子宫切除术后的女性缺失。最适合的治疗方案是子宫动脉栓塞(微创介入治疗)。

45岁女性,多发巨大子宫肌瘤(如怀孕20周大小子宫)和月经过多;病人最近一次血清妊娠试验阴性。对未来没有生育愿望。最适合的治疗方案是子宫动脉栓塞(微创介入治疗)和子宫切除,主要看病人选择哪种治疗方法。

43岁女性便秘;磁共振显示12 cm浆膜下平滑肌瘤压迫直肠。最适合的治疗方案是子宫肌瘤剔除。

36岁女性,月经过多,磁共振上有3个主要平滑肌瘤,在大小从6到8厘米和校内位置,她目前没有计划怀孕,但希望在将来有怀孕的机会。最适合的治疗方案是子宫动脉栓塞(微创介入治疗)和子宫肌瘤剔除。

41岁女性,月经过多;磁共振显示单个3cm壁间子宫肌瘤和弥漫性子宫腺肌病。最适合的治疗方案是子宫动脉栓塞(微创介入治疗)和子宫切除,主要看病人选择哪种治疗方法。
子宫肌瘤的微创介入治疗(子宫动脉栓塞)的原理是什么?
子宫肌瘤微创介入治疗(子宫动脉栓塞)的治疗原理:(1)可以直接切断子宫肌瘤的血液供应,瘤体缺血坏死,逐渐萎缩变小,并改善由于肌瘤占位所引起的压迫症状。(2)子宫肌瘤具有性激素依赖性,雌激素能促进肌瘤生长。切断肌瘤供血能阻雌激素经血流进入肌瘤内,瘤体雌激素水平显著下降,肌瘤进一步萎缩。(3)子宫动脉栓塞后,异常生长的子宫内膜受到抑制,月经量与经期恢复正常。贫血逐渐得到改善和恢复。
子宫肌瘤介入治疗(子宫动脉栓塞)的安全性如何?
子宫肌瘤介入治疗因为创伤很小,没有伤口和出血,对人体的伤害非常小,而且微创的针眼在大腿根部只有2毫米的米粒大小而已,术后第一天愈合后无疤痕。大家普遍关心的是,子宫动脉栓塞是否会影响卵巢功能引起早衰,根据国外文献报道,子宫肌瘤栓塞术与子宫切除术及子宫肌瘤摘除术后的激素水平没有显著差异。另外一个大家比较关心的是,子宫肌瘤栓塞术后会不会影响怀孕,子宫肌瘤本身会导致继发性不孕、不育,子宫肌瘤栓塞术后肌瘤缩小反而增加怀孕的几率,所以说子宫肌瘤栓塞术是一种非常安全的治疗手段。它的术后并发症的发生几率和严重程度均远远低于子宫切除术、子宫肌瘤剔除术等传统治疗手段。

子宫肌瘤微创介入治疗(子宫动脉栓塞)的优势?
子宫动脉栓塞治疗在症状子宫肌瘤的治疗上表现出极大的潜力和独特的优势:
1.最大的优点在于能完好地保留子宫及其功能,如正常月经,妊娠及分娩;子宫肌瘤导致继发性不孕、不育的,子宫肌瘤栓塞术后肌瘤缩小反而增加怀孕的几率;它避免了手术的创伤打击及术后的一系列并发症,在症状改善上的效果可以同手术相媲美。
2.因创伤小,恢复快,住院时间短使病人易于接受。
3.较传统手术治疗简便且经济,节省费用。一般不用输血。
4.最后这种疗法的优点是给自己留下相当大的余地,即使栓塞失败,仍可应用手术及药物治疗等手段。
子宫肌瘤微创介入治疗(子宫动脉栓塞)后有哪些术后反应?如何处理?
子宫肌瘤微创介入治疗因为创伤极小,无需麻醉,在术中及术后一般没有特别严重的不良反应,可能出现的反应有以下几点:
1.缺血性疼痛:是最常见的不良反应,88.66%患者在治疗后会出现不同程度的下腹胀、坠痛,持续时间不等,短侧5-6小时,长则3天,给予止痛对症处理即可缓解,对疼痛比较敏感的患者建议术前埋置镇痛泵,可以明显减轻痛感。
2.发热:25%患者,尤其肌瘤较大的患者,栓塞后一周内可出现低热体温在38°C左右。一般无需特殊处理,持续一周后,自行消退。
3.下肢酸胀无力:60%患者栓塞后,感双下肢酸胀乏力,约持续20天后自然消失。
4.不规则阴道出血:少部分病人栓塞后可出现阴道少量不规则流血,同时还伴有内膜脱落,可能是栓塞后子宫血供不足以维持内膜生长有关。
5.肌瘤经阴道脱出:见于粘膜下子宫肌瘤患者,肌瘤缺血后脱落可从阴道排出,如遇肌瘤较大阻塞阴道口,可到妇产科就诊经阴道取出,能将肌瘤从阴道排出可以达到子宫肌瘤的彻底治疗。