胸腔积液俗称胸水,是指各种原因导致的胸膜腔内出现过量的液体。正常人的两层胸膜间有3-15ml的少量液体,在呼吸运动中起润滑作用。这些少量的润滑液是动态平衡的,生成的多,吸收的也多。由于某种原因导致润滑液生成增多或者吸收减少,就会导致液体在两层胸膜间集聚,就叫做胸腔积液。
胸腔积液有良恶性之分。恶性胸腔积液是指恶性肿瘤引起的液体积聚在胸膜腔内。病因可以是肿瘤细胞浸润胸膜表面使毛细血管通透性增加,也可以是淋巴管、静脉阻塞引起脉管内压力增高形成。引起恶性胸腔积液最常见的肿瘤是肺癌、乳腺癌,其他肿瘤有淋巴瘤、间皮瘤等。
对于肿瘤患者来说,出现胸腔积液该如何应对呢?
恶性胸腔积液的临床表现
患者可无症状或表现为呼吸困难、咳嗽、胸痛等症状。症状严重程度主要与积液产生的速度有关,与液体量关系不大。查体患侧胸部叩诊呈浊音,呼吸音减弱或消失。
恶性胸腔积液的检查手段
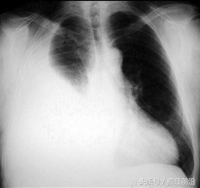
1、影像学检查
胸部X线检查可以明确胸腔积液量。CT可以了解大致胸腔积液量和胸腔积液引流后的占位病变。B超检查可了解胸腔积液量并对胸腔穿刺有定位作用。

胸腔积液影像检查图片
2、胸腔积液检查
半数以上的恶性胸腔积液为肉眼血性,多为渗出液。如胸腔积液CEA>20ng/ml,可诊断腺癌引起的积液,其敏感性91%,特异性92%。胸腔积液细胞学检查可以明确病理,但阳性率不高,有时需要多次送检。脱落细胞学检查阴性者,可行胸膜活检或胸腔镜病理组织学检查。
出现恶性胸腔积液提示病情加重
晚期肺癌患者出现胸腔积液,往往是因为癌细胞直接或者间接转移侵犯胸膜,此时被侵犯的胸膜就会增厚,并生出很多血管,局部形成肿块,当肿瘤细胞生长过快坏死时,会有血管破裂生成大量的血性胸水,这时候的颜色主要为红色或者洗肉水样,很多时候是浑浊的。
因此,出现胸腔积液时,提示癌细胞已侵犯了胸膜,胸腔积液的出现或增多往往提示病情加重。
胸腔积液的常规治疗
恶性胸腔积液常提示患者已属于肿瘤晚期,治疗的首要任务是控制胸水,但反复抽胸水不是好的治疗方法,作用不能持久,除给患者带来痛苦外还会导致大量体液和蛋白的丢失,因此要辅以全身或局部治疗。
1、全身治疗
恶性胸腔积液常是手术不能治愈的晚期恶性肿瘤的并发症。因此对恶性肿瘤有效的全身治疗是最佳治疗,尤其是对化疗敏感的肿瘤,首选全身化疗以控制原发肿瘤及胸腔积液。但对于全身治疗抗拒的肿瘤,以及既往多次全身治疗不再有效的患者,需局部对症治疗以缓解症状。
2、治疗性胸膜腔穿刺
治疗性胸膜腔穿刺,说白了就是穿刺放水。该方法能起到缓解症状的作用,但是对大多数有胸水的患者来说,抽吸胸水不是根治性疗法,很多人的胸水在穿刺排液后1个月内还会再长。另外,抽水后病人的大量蛋白质及营养物质丢失,免疫功能下降,还可能加重胸水的形成,形成一个恶性循环。
3、胸腔闭式引流
胸腔闭式引流是将引流管一端放入胸腔内,而另一端接入比其位置更低的水封瓶,以便排出胸腔内的液体,使得肺组织重新张开而恢复功能。胸腔闭式引流术可以置管数日或数周,注入细胞毒*药性**物或硬化剂疗效优于单用引流。

引流管和瓶子
4、胸腔内用药
局部化疗药物可选用*芥氮**、顺铂、多柔比星等。硬化剂或生物反应调节剂可选用短小棒杆菌、四环素、多西环素、阿的平、IL—2、干扰素、卡介苗等。博来霉素的作用机制不完全明确,一般认为其抗肿瘤活性对胸腔积液的治疗作用很小,以化学性粘连作用为主。大多数药物胸腔注射的不良反应有胸痛、发热、偶有低血压,多不严重,对症治疗可以控制。注意穿刺和局部用药过程中避免气体渗漏及肿瘤细胞种植,胸腔注射药物后应每隔10~15min变换体位,持续2~6h。
(1)博来霉素30~60mg+生理盐水20~40ml / 胸腔内注射
(2)顺铂40~60mg+ 生理盐水20~40ml/胸腔内注射
(3)胞必佳200~600ug+生理盐水20~40ml/胸腔内注射。
5、放疗
对于纵膈肿瘤或淋巴结肿大等原因引起的胸腔积液,尤其是对于放疗敏感的肿瘤如淋巴瘤等,可选用放疗。不良反应可有放射性肺炎等。
以上为您介绍了恶性胸腔积液的的临床症状、检查手段和应对方法,希望对您有所帮助。当然具体到单个患者,还需要请医生根据患者实际情况进行判断,并在此基础上制定相应的处置方案。
本文内容由美中嘉和医疗团队整理。