【临床表现】
新生儿,4月,运动明显迟缓,对光、声音反射迟钝,睡眠差,饮奶呛咳。余未见异常。
【MR影像表现】
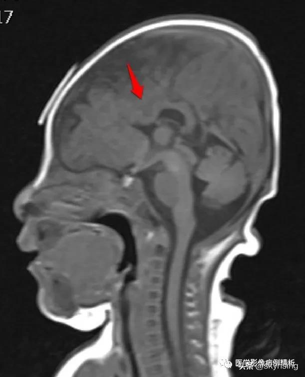
T1WI矢状位:红色箭头所示胼胝体嘴部、膝部、体前部缺如,正常扣带沟形态消失,双侧额叶延伸至侧脑室内。

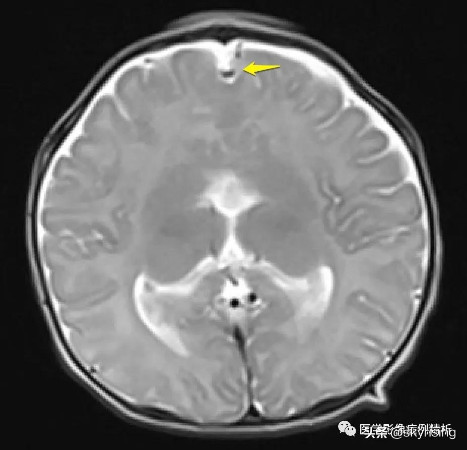
T1WI轴位像:黄色箭头所示可见大脑前纵裂缺如,双侧额叶脑实质融合,胼胝体膝部未见显示。透明隔缺如,双侧侧脑室融合呈蝙蝠翼样改变。侧脑室额角未见显示,体部平行于矢状线,后角失去张力、变尖。


黄色箭头所示为大脑前动脉单支血管影,被推移至融合脑实质前。枕角形态尚可。双侧额部蛛网膜下腔增宽,见细带状液体信号,提示硬膜下积液。

红色箭头所示为融合额叶脑实质,大脑纵裂不完全。白色箭头所示为双侧视神经,形态对称、大小、信号未见异常,提示视神经发育正常。

【影像诊断】
半脑叶型前脑无裂畸形
胼胝体发育不良
透明隔缺如
双侧硬膜下积液
【MR正常影像】
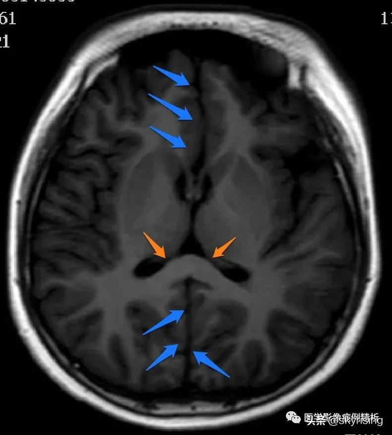
下图为正常成人基底节、侧脑室水平轴位T1WI图像。蓝色箭头为大脑纵裂,中间分离对称双侧大脑半球,黄色箭头为胼胝体膝部和压部,边缘为扣带回前后缘。


下图为2岁婴儿脑矢状位T1WI图像,清晰显示完整的胼胝体,红色箭头为嘴部,黄色箭头为膝部,蓝色箭头为体部,白色箭头为压部,注意棕色箭头所示胼胝体体部后缘略变扁,是一种正常的变异现象,不是发育异常,非常常见。因小儿脑发育未完全,扫描角度有偏差,绿色箭头显示正常的扣带沟,基本形态存在,但不完全。注意与后图中示意图胼胝体及扣带回对比。

前脑无裂畸形
前脑无裂畸形(HPE, holoprosencephaly )是一种神经管嘴侧末端的大脑部分和颜面前颌骨的发育不全或发育停滞。DeMyer分型包括无脑叶型、半脑叶型、全脑叶型及变异分型背侧脑叶型。 临床好发于女性,男女比例1:2,无脑叶型最常见,占比45%左右。本病90%合并颜面部畸形,按照发生率包括眼部畸形、鼻部畸形、耳廓畸形和上颌骨畸形,10%颜面发育可无异常。本病死亡率很高,1年死亡%率约54%。
临床症状主要包括嗅觉减退、痉挛状态、垂体功能紊乱,伴有突发感情不稳定、声音嘶哑、生长发育延迟,可见呼吸困难、吞咽困难和体温波动等脑干功能紊乱表现。
分子遗传学显示本病伴有常染色体显性遗传,外显率82-88%,最重要的基因定位点包括HPE1(21q22.3)、HPE2(2p21)、HPE3(7q36)、HPE4(18p),其中引起突变的基因包括SNH(7q36 HPE3)、ZIC2(13q32 HPE5)和SIX3(2p21 HPE2)。
影像学表现MR比较典型,不同类型的大脑半球分离,脑室分离,嗅球和嗅束缺如,下丘脑、神经垂体和腺垂体发育不全、功能低下,伴有大脑中动脉、大脑前动脉走行异常。
一、无脑叶型前脑无裂畸形
本型为最严重的一种表现形式。患者面部颌骨前部缺如或发育不全,通畅合并严重的中线面部畸形,包括独眼畸形、单眼球、前额长鼻和猴头畸胎等。
MR影像表现:双侧大脑半球完全融合,或仅表现一个团块状软组织。半球间裂和大脑镰缺如,无胼胝体,仅表现一个未发育的胼胝板。巨大全脑室,无透明隔。如下图所示。右侧尸体标本可见脑组织呈团块软组织改变。

二、半脑叶型前脑无裂畸形
本型严重程度较轻,通常面部正常,轻微面部畸形,主要是嘴唇和上颚裂。
MR影像表现,双侧额叶呈实质融合,大脑前纵裂缺如,后纵裂存在,胼胝体嘴部、膝部、体前部缺如,体后部及压部存在。本例即此型。
三、脑叶型前脑无裂畸形
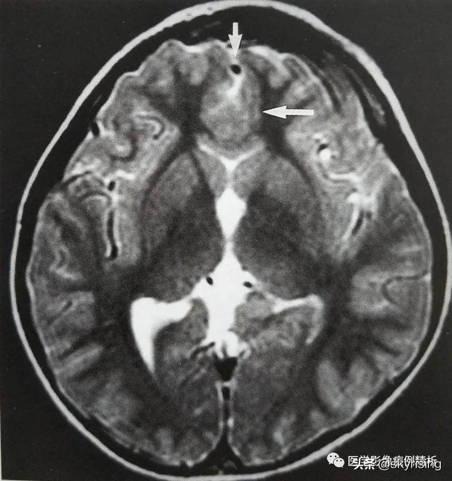
本型是前脑无裂畸形中发育最好、畸形最少的一个分型。双侧额叶靠近胼胝体嘴部和体前部部分实质融合,大脑前纵裂几乎完全存在,大脑镰发育不全,胼胝体前部发育不良,透明隔缺如,侧脑室额角发育正常或轻微变异,大脑后纵裂显示正常。如下图所示,双侧额叶部分脑实质融合,双侧额角略纤细,形态尚正常,注意短箭头所示大脑前动脉走行于前缘,本例偏于脑叶型和半脑叶型中间状态。

四、背侧脑叶型前脑无裂畸形
本型为脑叶型前脑无裂畸形中的一个变异分型,主要特点在大脑半球融合不在嘴侧,通过半球凸面,还有具有胼胝体区灰质异位。本例合并胼胝体发育不全、透明隔缺如。如下图所示,箭头所示胼胝体体部缺如,可见灰质结节状信号影,提示胼胝体体部发育不良并灰质异位;下排图像可见大脑半球通过凸面脑实质融合,透明隔缺如,脑室融合,后角宽大、圆钝。


五、视隔发育不良
视隔发育不良特指视神经及透明隔发育不良,视神经细小、发育不良,透明隔缺如。临床可有眼球震颤和失明等症状,视觉功能正常。眼科检查见视盘发育不全,因此确诊。本例透明隔缺如,视神经未见异常。
胼胝体发育异常
胼胝体是连接双侧大脑半球神经纤维的重要组织,主要包括嘴部、膝部、体部、压部如图所示,其矢状面周围主要由扣带回包围,绿色箭头所示为扣带回内翻形成的扣带沟,额顶叶受此结构阻挡无法延伸至胼胝体旁。
胼胝体主要在妊娠第8-20周发育,同时大脑其他组织快速生长,因此当胼胝体发育出现异常,多合并多样脑发育异常。胼胝体形成是双向的,即膝部和体前部、体后部和压部为中心同时生长形成的,有理论认为嘴部的背侧最先形成,腹侧最后形成。
胼胝体发育异常可分为胼胝体发育不良、畸形和破坏性改变。如果膝部和体前部存在而体后部和压部较小,判断正常生长过程中受阻,是真正的发育不良。体后部和压部存在,而膝部和体前部缺如或细小,考虑继发于胼胝体的破坏性损伤,并非真正的发育不良。

胼胝体发育中,正常轴索应该在胼胝体内侧跨过半球间裂,而胼胝体畸形患者形成的轴索纤维沿侧脑室侧壁向下方走行,平行于半球间裂,被称为胼胝体纵束或Probst束。如线图所示,虚线为正常发育走行的胼胝体和轴索,跨过大脑纵裂而成完整的结构;实线代表胼胝体缺如,轴索无法跨过大脑间裂,只能汇聚沿侧脑室向下发走行形成Probst束。

胼胝体缺如
胼胝体是脑内最集中的轴索束,结构致密紧凑,有助于脑室保持正常的结构。胼胝体缺如时,侧脑室体后部、三角区、枕角和颞角只有少量发育的脑白质,侧脑室平行于大脑纵裂,形成向后方、外侧扩张形态改变,被称为“阴道脑”。因扣带回正常内翻形成扣带沟可以阻挡额顶叶向下延伸,当胼胝体缺如时,额顶叶脑沟直接呈放射状延伸至脑室旁,影像特征明显。
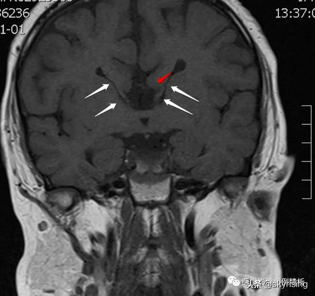
T1WI冠状位如下图所示,红色箭头为扣带回外翻,未能形成扣带沟;白色箭头可见Probst束,沿侧脑室壁向下走行。

T1WI矢状位如下图所示,本例患者确诊为垂体柄阻断综合征并胼胝体缺如、垂体后叶异位。两图为相邻的矢状位正中图像,可以清晰显示缺如的胼胝体,如红色箭头所示区域,未能看到正常的扣带回内翻形成扣带沟,第三脑室上抬、侧脑室正常形态消失。绿色箭头为视交叉,黄色箭头结节状高信号为异位的垂体后叶,白色箭头所示为垂体前叶,正常鞍区后方的垂体后叶上移至黄色箭头区域。


胼胝体发育不良
胼胝体发育不良包括体部细小、部分缺如合并脂肪瘤等等不同形态的异常影像。
本例即胼胝体发育不良,不再赘述。
本文部分文字、图片感谢
《中枢神经系统磁共振成像》第三版 斯考特-W-阿特拉斯 李坤城主译
《奈特人体解剖学图谱》第六版