众所周知,在肺癌里, EGFR“黄金突变”和ALK“钻石突变”等常见突变靶点,能够让患者轻松活过5年。参考: 基因中藏着钥匙:肺癌患者如何轻松度过8年?
但肺癌里也有一些罕见突变,空有靶点,没有药物。 NRG1融合 就是这样一个罕见的靶点。目前,NRG1融合还没有针对性的靶向新药获批。但随着医药的进步和科学家的努力,这个罕见靶点有了“新药”- 阿法替尼。
近日,《The Oncologist》发文,报道了6例转移性NRG1融合阳性肿瘤患者,接受阿法替尼治疗的结果。其中,2例患者达到SD,4例患者达到PR。有1例患者PR已超过 27个月 ,目前仍服用阿法替尼,并持续PR中。

6例NRG1突变患者治疗情况
非粘性肺腺癌患者经超多线治疗后,阿法替尼治疗达PR超过24个月
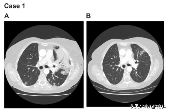
案例1
患者1为56岁女性,白人,从不吸烟,2004年被诊断为非粘液性肺腺癌。很遗憾,这位患者没有常见的KRAS、EGFR、ALK、ROS1、或ERRB2突变,无法选择对应的靶向治疗。
医生只能先后给患者进行了包括化疗在内的多种治疗尝试 (超过14线的治疗) ,在医生和患者的努力下,每种治疗方案都有短时间的疗效。但患者最终还是不幸发生了左肺转移,医生采取了姑息疗法,先后用吉西他滨和培美曲塞控制住病情。
但随后的治疗中,患者对紫杉醇不耐受,患者出现咳嗽,发烧,缺氧和弥漫性肺纤维化等情况,病情难以控制。

患者1的治疗时间线
命悬一线之下,患者于2015年2月尝试使用 阿法替尼 (30毫克/天) ,神奇的是,这名患者竟在短短的 2.5个月 使用时间里,迅速达到 部分缓解 (PR) 。且PR时间长达 24个月 。

A:2015年2月阿法替尼治疗前评估;B:2015年4月评估
病情控制以后,医生继续给予培美曲塞和吉西他滨治疗,但病情出现持续进展。
考虑到患者之前使用阿法替尼的效果,在检测后发现患者有 NRG1融合突变,因而重新引入阿法替尼 (30毫克/天) 治疗,患者咳嗽的症状明显减轻。随后提高剂量至40毫克/天,直至2018年8月患者显示进展,才停止阿法替尼使用。
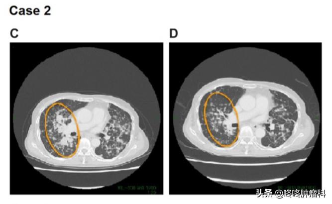
案例2
患者2是62岁亚洲女性,从不吸烟,2015年被诊断为转移性非粘液性肺腺癌,确诊时已有多处肺和淋巴结转移。在用阿法替尼治疗前,患者接受过 4线治疗 ,对使用过的治疗方案的最佳反应都是达到病情稳定 (SD) 。

患者2的治疗时间线
在各治疗手段治疗都出现进展下,通过测序检测,发现患者有 CD74-NRG1融合 。患者因此使用上了阿法替尼,在接受阿法替尼治疗11个月后,患者于2018年11月 达到PR 。截止到2020年2月统计时,患者仍在使用阿法替尼,持续PR中。

C:2017年12月阿法替尼治疗前评估;D:阿法替尼治疗后于2018年11月评估
总体而言,上述两例报告中,我们均观察到多线治疗后的肺腺癌患者,通过阿法替尼的治疗,有 超过24个月 的持续治疗效果,比前期报道的PR持续时间长达12个月还要好。
侵袭性非粘液性肺腺癌患者,用阿法替尼治疗也有奇效
案例3
患者3为68岁男性,白人,有吸烟史,于2016年1月被诊断为侵袭性非粘液性肺腺癌。患者在接受1线和2线治疗后,出现进展。
通过RNA测序结果发现患者有 SDC4-NRG1融合 ,在用阿法替尼治疗时,患者有4个月的病情稳定期,但随后患者选择不继续接受进一步治疗。

患者3的治疗时间线
案例4
患者4为43岁女性,白人,无吸烟史,于2016年1月被诊断为侵袭性非粘液性肺腺癌。基因检测发现有野生型ALK、ROS1、EGFR、BRAF、KRAS、MET和HER2突变,没有PD-L1表达,经过1线和2线治疗后出现进展。
检测发现患者有 CD74-NRG1融合 ,医生给患者使用阿法替尼后,患者竟意外收获了长达18个月的PR时间,最终在 24个月后 ,因出现进展而停药。患者目前仍在接受其他治疗。

患者4的治疗时间线
案例5
患者5为34岁女性,非洲人,从不吸烟,于2016年12月被诊断为侵袭性粘液性肺腺癌。 肿瘤突变负荷极低 (1.26 mutations/mb) ,没有PD-L1表达,双侧肺转移。
检测结果显示患者有 SDC4-NRG1融合 。患者直接使用阿法替尼40毫克/天作为1线治疗,使用6周后,评估为PR。
5个月后肺部出现进展,但治疗并未就此结束,医生选择给患者增加阿法替尼剂量为50毫克/天,惊喜地再次观察到PR,持续6个月。随后患者接受了其他疗法。

患者5的治疗时间线

I:2018年1月治疗前的评估;J:2018年5月,阿法替尼治疗达PR的评估;K:2018年6月,疾病进展的评估;L:2018年8月提高剂量到50毫克/天达PR的评估
从侵袭性非粘液性肺腺癌患者中的结果来看,无论患者是否有吸烟史,阿法替尼在1线或3线使用,均有疗效。
值得注意的是,患者4无吸烟史,其PR时间长达18个月。另一个有趣的点是,患者5使用阿法替尼PR持续5个月后,出现进展,增加阿法替尼剂量,患者又继续PR长达6个月,即患者前后PR达到了11个月的时间。
阿法替尼二线治疗转移性结直肠癌,患者病情稳定首次长达16个月
案例6
患者6为69岁男性,有过吸烟史,2017年因胃肠道出血就诊,诊断为KRAS突变 (G12D) ,IVb期右侧结直肠癌,并伴有肝、肺转移。
患者接受1线治疗,因病肺部情未控制住和药物不耐受而停止治疗。在选用2线治疗方案时,发现患者肺和肝脏转移灶有 POMK-NRG1融合 ,最终2线使用阿法替尼,使用4个月病情稳定,因癌胚抗原 (CEA) 升高,对肝脏转移病灶使用SBRT控制病情。随后在其他疗法的结合下,患者使用阿法替尼治疗,控制病情长达 16个月 ,于2020年1月进入其他药物的Ⅰ期临床试验。

据报道,NRG1基因融合在胃肠道中突变率只有0.1%-0.5%,极其少见,与该突变相对应的治疗方法也非常匮乏。阿法替尼作为多靶点*制剂抑**,竟意外地的给这些患者带来了治疗新选择。
对于亟需药物治疗的许多癌症患者而言,“老药“作用于新靶点是非常不错的治疗策略。不仅给临床医生提供了治疗创新的思路,也给患者赢得更多的生存机会。
参考文献:
[1]. Cadranel J, Liu SV, Duruisseaux M, etal. Therapeutic Potential of Afatinib in NRG1 Fusion-Driven Solid Tumors: ACase Series [published online ahead of print, 2020 Aug 27]. Oncologist.2020;10.1634/theoncologist.2020-0379. doi:10.1634/theoncologist.2020-0379.
封面图来源:摄图网