幼儿园高年级和小学低年级的父母们,这个桥段是不是经常碰到?
为什么会发生这种事情呢?
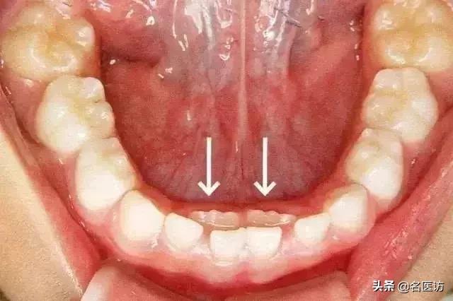
孩子这是乳牙还没脱落,新牙就长出来了,表现为”双排牙“现象。这种情况就是我们所说的“乳牙滞留”。

乳牙滞留
乳牙滞留有以下两种情况:
1、 继承恒牙已萌出,而乳牙未脱落,称早期滞留;
2、恒牙未萌出,但已超正常换牙年龄极限仍未脱落的乳牙,称晚期滞留;
乳牙滞留的原因有很多,比较常见的原因是现在的小朋友饮食过于精细,牙弓长度发育不足,继承恒牙没地儿长造成萌出方向异常,乳牙牙根吸收不完全,所以不能自行脱落。
遇到乳牙滞留形成的“双排牙”,家长应该尽快带孩子到牙科医院拔除滞留乳牙,为恒牙的发育腾出空间让出位置。
把挡到萌出恒牙的乳牙拔掉!!!
对恒牙已萌出而乳牙仍未脱落的滞留牙,应尽快拔除,以免影响恒牙在正常位置上萌出。
但是超过换牙年龄而乳牙未脱落,恒牙又未萌出者,则不要轻易拔掉,若是恒牙先天性缺失,应尽量保持乳牙。

乳牙拔掉
食物太精细,牙齿龋齿患病率偏高
现在市面上的儿童食品越来越多以高糖、精细、质软为主。而进食这些食物容易导致两大问题。
首先,糖类食品(尤其是蔗糖)与龋齿的发生有非常密切的关系,是主要的致龋因素。而小宝宝尤其喜食糖类食品,频繁进食这类食品又不及时刷牙,糖液就易沉积在牙齿的小窝里、裂沟及缝隙等不易清洁的地方,在致龋菌的参与下大量产酸,这些酸与牙面长期接触,再加上细菌代谢产物的作用,就会产生龋齿。

龋齿
其次,过频地进食精细、质软及黏稠性强的食品,使正处在发育阶段的颅、颌、面、牙齿及牙齿周围组织得不到应有的生理性刺激,使得颌骨发育不足,使将要萌出的恒牙的牙量与骨量不成正比,而导致替换恒牙萌出排列不齐,发生牙列拥挤畸形。恒牙的拥挤不齐又容易使新生的恒牙发生龋齿。
想想看,自己家里有没有各种料理机,研磨机器,经常各种糊啊汁啊,给宝宝加餐?
还没有到换牙期的爸爸妈妈们,你们还有机会避免这种情况哟。
俗话说得好,“粗茶淡饭好养人”,食品对乳牙的刺激作用能促使乳牙正常脱落,鼓励孩子多吃些硬质粗纤维食物,比如豆类、甘蔗、玉米等等,啃起来!

替换恒牙萌出排列不齐
养成早晚刷牙、饭后漱口,尤其是吃甜食后认真漱口的卫生习惯。
正在发育期间的儿童家长应该监督孩子纠正不良的习惯:咬唇、咬舌、吹口哨、咬铅笔等。
今天的科普就到这里啦,如果大家有牙齿问题,也可以在评论区留言哦~牙齿有问题,那就关注「名医访」吧!好了,我是小美,有任何牙齿问题都可以撩我【mingyikanyahao】