本文分为以下三部分
1、第一次入院时影像学资料
2、第二次入院时影像及临床资料
3、文章中涉及的相关知识及健康科普
第一部分 首次入院时影像学资料
患者,男,49岁,8月前因头晕就诊于外院,入院常规腹部彩超发现肝内占位,然后就诊于我院,于1月22日行磁共振肝细胞特异性对比剂Gd-EOB-DTPA增强扫描。部分图像如下:

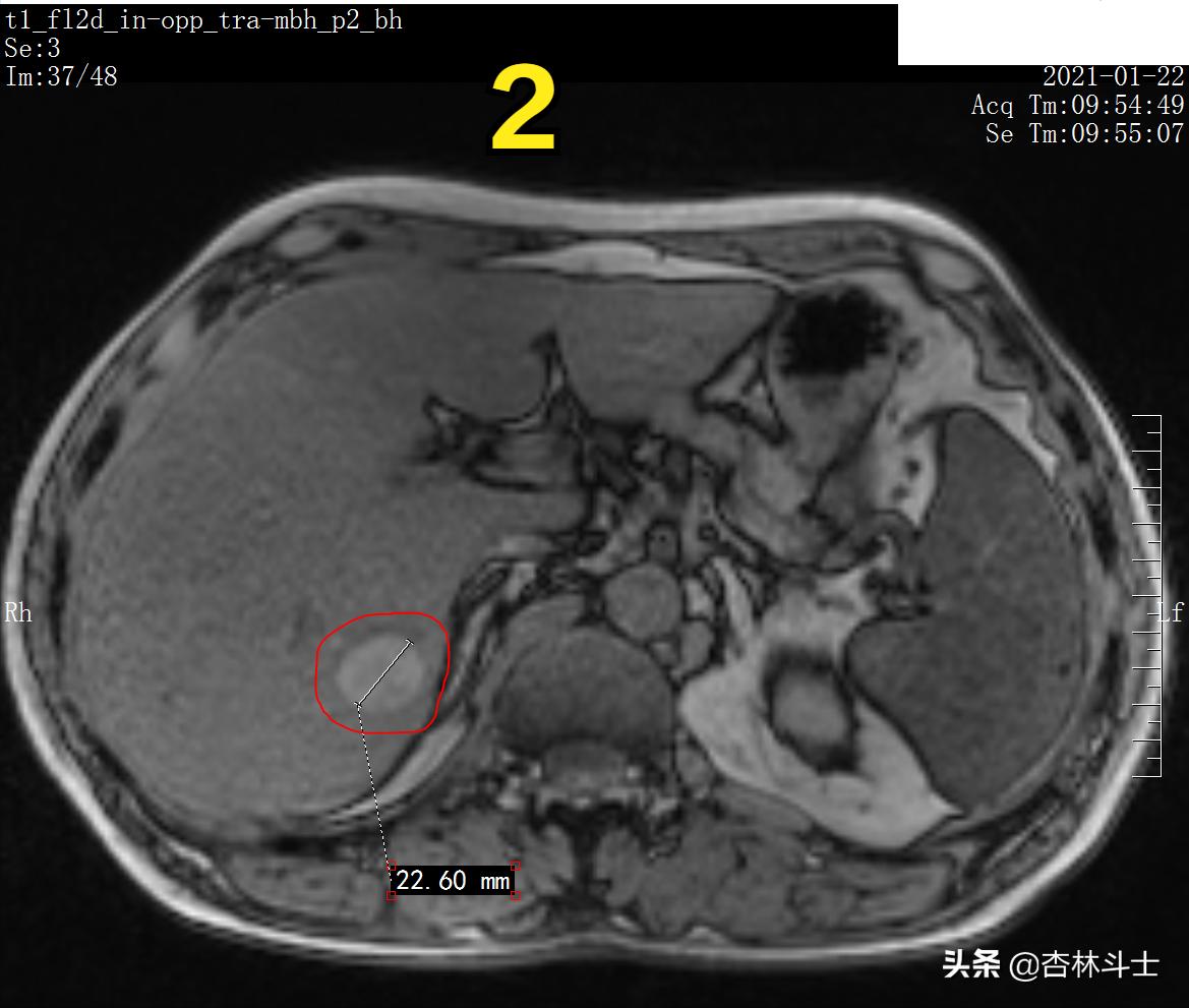
图1 T1加权同相位
图1 T1加权同相位可见肝脏右后叶近肝包膜处类圆形不均匀稍高信号影,边界清晰,边缘尚光滑。

图2 T1加权像反相位
图2 T1加权像反相位上,病灶未见明显信号减低。病灶直径约22.6㎜

图3 T1加权压脂像
图3 T1加权压脂像可见病灶信号降低,说明病灶里面存在脂肪沉积。

图4 T2加权像
图4 T2加权像 病灶呈稍高信号影,余肝实质内未见明显肝硬化再生结节,从磁共振图像上分析患者肝硬化程度不重。

图5 T2加权压脂像
图5 T2加权压脂像,病灶呈稍高信号影,压脂像目的是调整成像参数,将脂肪的高信号压下去,呈低信号,突出显示炎症、水肿、积液等高信号影。图中1、为腹主动脉,其内血液呈极低信号原因为磁共振“流空效应” 2、胃腔,高信号为胃腔内的水 3、椎管 高信号为脑脊液,中等信号的为脊髓。

图6 DWI b50
图6 为低b值弥散加权图像(DWI)

图7 DWI b800
图7 为高b值弥散加权图像(DWI),病灶呈高信号。此序列目的为了解人体内水分子“布朗运动”情况,肿瘤病灶内细胞密度高,肿瘤细胞代谢旺盛,细胞内细胞器多,细胞核大,种种原因,限制了肿瘤组织内的水分子运动,使得肿瘤病灶在DWI上呈高信号。
b值越高,越凸显身体内水分子弥散受限程度。

图8 T1压脂动脉期

图9 T1压脂动脉期
图8、9为T1压脂动脉期,可见病灶呈不均匀明显强化。

图10 T1压脂门静脉期

图11 T1压脂门静脉期
图10、11病灶相对肝脏实质呈高信号。 图11中 1、为肝门静脉右支 2、为腹主动脉。

图12 T1加权压脂平衡期

图13 T1加权压脂平衡期

图14 T1加权压脂 肝胆特异期

图15 T1加权压脂肝胆特异期冠状位
图15中 1、肝脏 2、双肾 3、增大的脾脏 4、双侧膈肌 5、椎体 6、椎间盘 7、胸主动脉

图16 T1加权压脂肝胆特异期
图12-16 持续20余分钟,病灶内仍有特异性对比剂。
总结:病灶呈类圆形,直径约22㎜(体积约5575立方毫米)( 5角硬币:直径为20.5mm )T1上呈不均匀高信号内部可见等信号,T1同反相位,病灶信号无明显变化,T1压脂病灶信号略减低;T2呈不均匀高信号;动脉期明显不均匀强化;门静脉期强化未见减退且与周围肝实质相比仍呈高信号;平衡期及肝胆特异期,病灶仍呈高信号。
根据患者影像学特点并结合患者临床资料,当时影像科大夫给的影像诊断是 肝血管平滑肌脂肪瘤, 其他疾病不排除,建议定期随诊。
让你分析,你会给出什么诊断呢,欢迎评论区讨论。
第二部分 第二次入院相关资料
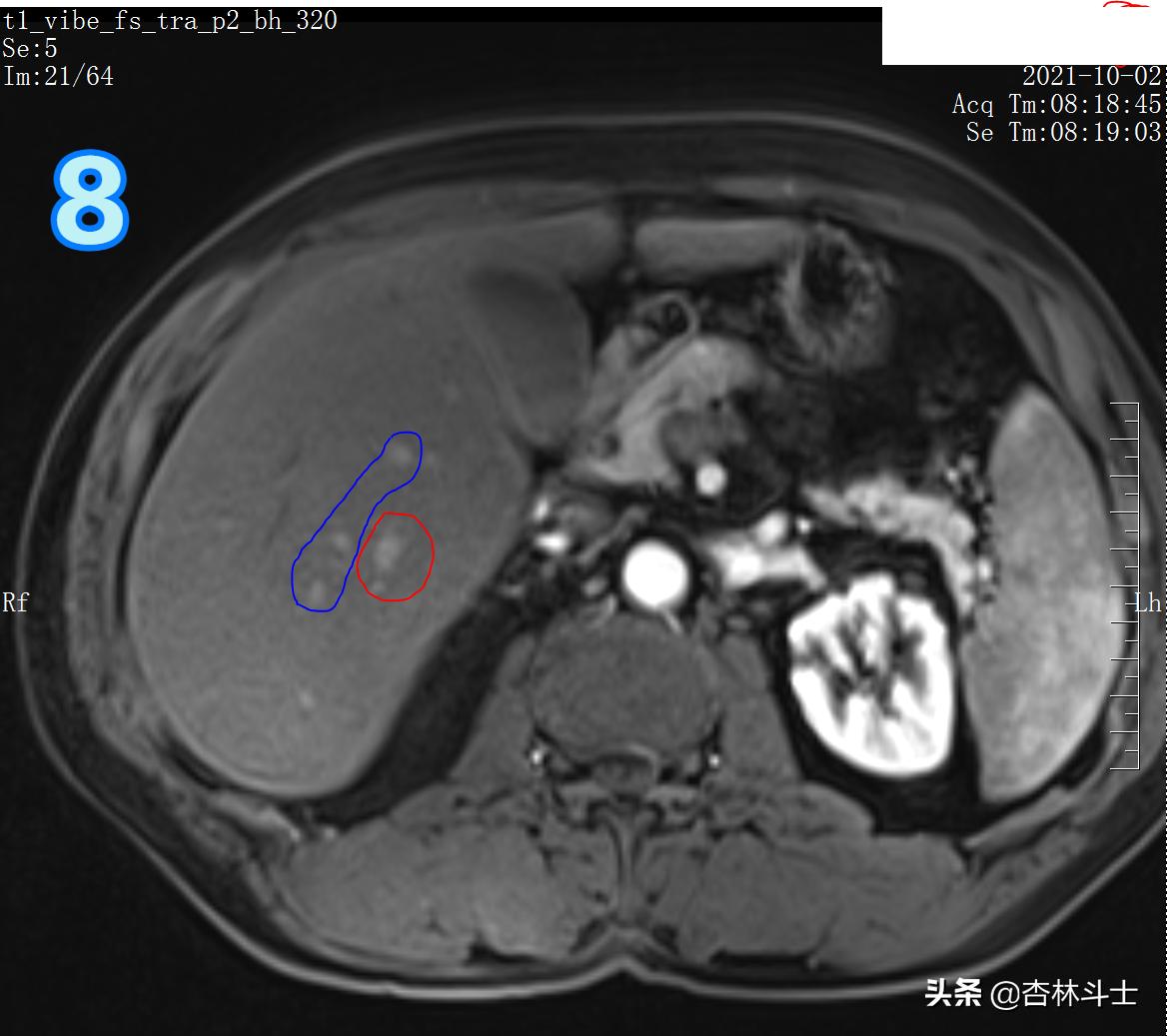
10月2日肝细胞特异性对比剂Gd-EOB-DTPA磁共振增强扫描

图1 T1加权同相位,同一个3T磁共振机器,与01月22日的信号明显不同

图2 T1加权反相位

图3 T1加权压脂序列
图3 中 1、皮下脂肪 2、肝脏 3、腹主动脉 4、胃腔 5、脾脏
图1-3为T1加权图像,同一台3T磁共振机器上做的,与1月22日的信号明显不同,说明病灶里面的成分有所变化。

图4 T2加权像
图4 蓝色框为三支肝内血管 红框内为新发病灶呈高信号。1、胆囊 2、下腔静脉 3、腹主动脉 4、腹部器官间脂肪组织 5、皮下脂肪

T2压脂像
图5为T2压脂像,蓝框内为三根血管,红框内为新发病灶。

图中1、椎管 2、左肾

图6、7为弥散加权像,新发病灶在弥散加权上弥散受限,呈高信号。

T1压脂动脉期
图8 蓝框为三根血管 ,红框为新发病灶,在T1压脂动脉期呈明显强化。

T1加权压脂
图9 蓝框为血管 红框为病灶,病灶在门静脉期呈等略低信号。蓝框血管目的为方便定位新发病灶。

T1加权压脂平衡期
图10 红框病灶对比剂进一步廓清,呈略低信号。图中1、皮下脂肪 2、胆囊 3、胃腔 4、左肾 5、脾脏 6、脊柱 7、腹主动脉 8、下腔静脉 9、胰头 10、背部肌肉(竖脊肌)11、腰大肌 12、腹壁肌肉(腹外斜肌、腹内斜肌、腹横肌)

肝胆特异期
图11中 1、胆囊 2、胃腔 3、腹主动脉 4、脊柱椎体

肝胆特异期
图12 中 1、胆总管 2、肾盂肾盏 3、胆囊 4、十二指肠球

肝胆特异期 冠状位
图13 中1、肝静脉 2、下腔静脉 3、腹主动脉 4、双肾 5、脾脏 6、心脏 7、门静脉肝内分支
图11-13为肝胆特异期,新发病灶未见肝细胞特异性对比剂摄取,呈低信号。

T2冠状位

T2冠状位
图14中 1、肝脏 2、双肾 3、脾 4、胸椎椎体 5、椎间盘 6、皮下脂肪 7、胸主动脉 8、膈肌

T2加权像
图16 1、胃腔 2、腹腔及腹膜后脂肪组织 3、皮下脂肪 4、左肾 5、腰椎椎体 蓝框为病灶。

T2
图17 1、胃 2、脾 3、左肾肾周脂肪 4、双侧膈肌脚 5、椎间盘 6、椎管

T2压脂
图18 1、皮下脂肪 2、肝内胆管 3、肝内门静脉分支 4、胃 5、腹主动脉 6、下腔静脉 7 椎体 8、椎管 9、脊髓 10 脾

DWI

DWI
图19、20 病灶弥散明显受限。

T1压脂动脉期 1、门静脉右支 2、胰腺 3、脾

T1压脂动脉期
图21、22 动脉期病灶明显强化

T1压脂 门静脉期
图23 1、肝静脉分支 2、门静脉分支 3、门静脉右支 4、门静脉主干 5、腹主动脉 6、下腔静脉 7 、左肾 8、肠系膜上动脉 9、胰腺 10、脾

T1压脂门静脉期
图24 1、门静脉主干 2、下腔静脉 3、腹主动脉 4、腹腔干 5、脊柱 6、脾脏
图23-24 门静脉期,病灶强化程度略减低,但较周围的肝实质仍呈高信号。

T1压脂平衡期

T1压脂平衡期
图25-26 T1压脂平衡期,对比剂出现廓清,病灶与周围肝实质相比,呈等或低信号。

T1压脂肝胆特异期

T1压脂肝胆特异期

T1压脂肝胆特异期冠状位
图29 1、椎间盘 2、椎体 3、胸主动脉 4、脾脏 、肾盂肾盏 6、腰大肌

T1压脂肝胆特异期
图30 1、左肝管 2、右肝管 3、门静脉主干

T1压脂肝胆特异期
图31 1、右肝管 2、左肝管

T1压脂肝胆特异期
图32 1右肝管 2、门静脉右支 3、肝总管 4、门静脉主干
总结:10月份复查,肝右后叶下段新发一个直径约1㎝的结节,T1呈等信号,T2呈稍高信号,弥散加权序列可见弥散明显受限,增强动脉期明显均匀强化,门静脉期出现对比剂廓清,呈略低信号,平衡期信号进一步减低,肝胆特异期未见特异性对比剂摄取呈低信号。增强特征为典型的“快进快出”,影像学上典型的肝细胞癌表现。
原来那个病灶经过8个月,病灶直径明显增加(直径平均为38㎜,体积28730立方毫米,28730/5575=5.153363229)体积增加了5倍多。病灶在T1上信号略减低,强化模式未见明确改变。肝胆特异期仍显示高摄取,摄取程度较8个月前有所降低。说明病灶内OATP8表达逐渐减少。
患者实验室检查提示存在乙型及丙型病毒性肝炎,年轻时因为外伤做过大手术,推测可能是在那个输血管理混乱年代,术中输血感染的肝炎病毒。
结合影像学检查及肝炎病史,两个病灶均考虑肝癌。
遂行外科手术切除。术后病理结果如图

病理结果高分化肝细胞癌
患者新发病灶与原有病灶强化方式明显不同,说明分化程度不同,分化病灶并不是原有病灶转移过去的,而是原地突变生长出来的。这个病例也说明了肝癌有多原发性,可以在肝内多个部位同时或者先后长出来。所以即使是外科切除后,也需要定期监测。及时发现新病灶。
第三部分 相关知识及科普
1、磁共振肝细胞特异性对比剂Gd-EOB-DTPA特异性示踪肝细胞的原理。正常肝细胞细胞膜表面表达OATP8,而OATP8是Gd-EOB-DTPA转运入肝细胞的媒介,肝胆特异期正常肝细胞摄取对比剂,信号相应增高,而肿瘤组织内没有正常肝细胞,无法摄取对比剂,而显示低信号。原理如图

不过有文献报道,约5-12%的中高分化肝癌细胞表面可出现OATP8的过表达,影像上表现为肝胆期病灶反常摄取。本例就是这种情况。
2、分化是指从胚胎时的幼稚细胞逐步向成熟的正常细胞发育的过程。简单说来就是一个细胞的成熟程度。
肿瘤诊断报告常常有未分化癌、低分化癌、中分化癌、高分化癌字样,这是肿瘤病理学上的常用术语,病理学家根据显微镜下肿瘤细胞的差异性进行判断。按照肿瘤分化的程度,病理学家通常将肿瘤细胞分为3-4个病理等级,用来表示肿瘤的恶性程度。
所谓肿瘤细胞分化程度就是指肿瘤细胞接近于正常细胞的程度,分化得越好(称为“高分化”)就意味着肿瘤细胞越接近相应的正常发源组织;而分化较低的细胞(称为“低分化”或“未分化”)和相应的正常发源组织区别就越大。胃癌细胞分化程度越高,长得就越像胃组织的细胞,其特点就越接近正常的胃组织中的细胞;肺癌细胞分化程度越高,长得就越像肺组织的细胞,同样也具有正常肺组织中的细胞的一部分功能。
高分化癌及肿瘤组织与正常组织相似,成熟度高,恶性度低。低分化癌与未分化癌肿瘤组织与正常组织相差很大,成熟度差,恶性度高。高分化癌通常转移少,发展慢,预后良好。低分化癌往往转移多,发展快,预后差。未分化癌更差。低分化癌与未分化癌对放疗、化疗较敏感,治疗时肿块较快地缩小或消失,但总的预后并不佳。
通俗一点的比喻就是低分化癌相当于幼儿园的小孩子,幼稚不成熟,不好管控,特点就是善变,说哭就哭,说笑就笑,因此治疗管控方面有着相当困难;
而高分化癌就类似于成人,成熟有序,做事有规律,有着一定的特点,不会轻易改变,遵守着一定的行为准则,可控性强,因此治疗上也是有迹可循。