图片可点击放大查看

脾功能总结

脾的脏面

脾后方的毗邻

肝内胆管引流的主要变异类型


脾的腹膜移行

脾的显微结构

脾结构的主要特征

肾上腺

胰腺的毗邻肾上腺MRI:T1WI轴位、T2WI冠状位

肾上腺的动脉血供和静脉回流

肾上腺微观结构、主要功能

肾上腺显微结构

泌尿生殖发育

男性和女性泌尿生殖系统发育的同源性

子宫阴道发育畸形

男性腹膜后肾和输尿管的毗邻关系

交叉异位肾:可能的排布关系

马蹄肾

肾筋膜的毗邻

肾和肾上腺后面观

肾CT断面

肾的表面(前后毗邻)

肾皮质和肾髓质的正常大体结构

CTU


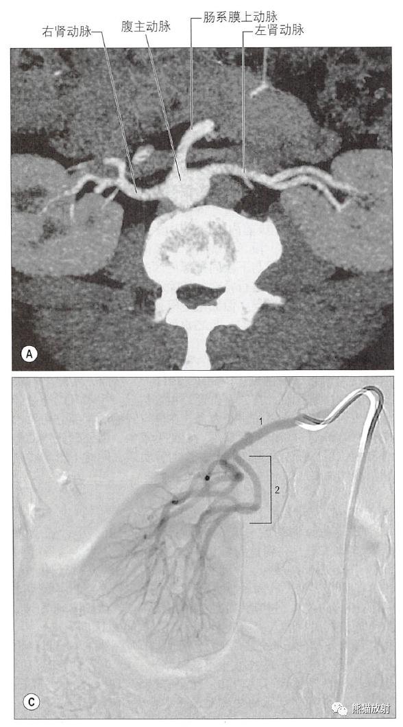
肾动脉CTA、肾动脉DSA、肾动脉分支数目和模式的变异

肾血管铸型
(肾动脉为红色,输尿管和肾盂、肾盏为黄色)

肾皮质和髓质的主要结构

右肾的节段动脉分布区

肾局部显微结构

肾动脉、肾静脉

下输尿管的毗邻(A.男性骨盆;B.女性骨盆)

男性右下输尿管的毗邻关系

下输尿管、输精管和精囊的毗邻关系

左输尿管的动脉供应

↓ 内容节选自:
《格氏解剖学:临床实践的解剖学基础》
丁自海,刘树伟 主译
来源:熊猫放射
【版权声明】本平台属公益学习平台,转载系出于传递更多学习信息之目的,且已标明作者和出处,如不希望被传播的老师可与我们联系删除
【版权声明】本平台属公益学习平台,转载系出于传递更多学习信息之目的,且已标明作者和出处,如不希望被传播的老师可与我们联系删除