有哪些肿瘤适宜介入治疗?
看过我的系列文章后,相信各位会有些印象,即无论是良性肿瘤、恶性肿瘤,还是他们所引起的一些并发症,都有介入的适应证。
因为,介入有多种不同的方式,如局部灌注、栓塞化疗、射频消融、微波消融、冷冻、无水酒精消融、化疗药盒植入、放射粒子植入等方式方法针对肿瘤本身,也还有引流、支架植入等方式来处理并发症。

肝血管瘤介入治疗
对于良好肿瘤(包括肿瘤样病变),如子宫肌瘤、腺肌症、肝血管瘤、肝肾囊肿等,介入治疗疗效确切,可以免除开刀切除的创伤。而对于恶性肿瘤特别是早期肿瘤来说,结合化疗栓塞、局部消融、粒子植入等方式也有很多病例可以实现治愈的目的。更多的中晚期肿瘤,通过上述方法并结合全身系统性治疗(免疫、靶向、中医药等)也能取得长期“带瘤生存”的效果。

肝癌射频消融治疗
然而,在实际情况下,并不是每一种肿瘤都被首先推荐进行介入治疗。对于不同部位、不同性质的肿瘤,处理的次序或关注的程度会有所区别。
肿瘤的介入治疗是怎样进行的?
前面提到,介入治疗的具体方法众多,程序会有不同。各位可以参阅我以前的文章,或继续关注以后的文章来了解。在这里,我想以经典的TACE(经动脉化疗栓塞术)为例来说一说。
经过知情同意确定要做TACE后,介入医生会首先选择一条动脉相对表浅的较大血管(通常是股动脉)作为治疗通路,常规消毒铺巾局麻后,将穿刺针插入动脉腔内,看到血液喷出时,随即迅速将导丝从穿刺针尾引入到动脉的深处,拔出穿刺针后,再将导管沿着导丝插入动脉。这几个步骤就是所谓的“Seldinger技术”。

改良Seldinger技术示意图
然后,我们就要在电视透视的监视下,利用娴熟的技巧控制导管前进,通过导丝的配合和导管前端的形状特点,将导管一直插到“靶器官”的动脉内。这就是关键的“选择性插管”。插管成功后,即进行动脉造影以进一步明确诊断并观察肿瘤的供血情况,从而确定最后的治疗方案。

各式选择性导管
如果说,前面的操作只是为局部治疗所作的必要铺垫,那么,后面的操作将决定治疗的成败。
选择性动脉造影之后,我们就要根据造影的情况,遵循治疗方案的意图,进一步控制导管进行“超选择性插管”,即将导管直接插到肿瘤的供血动脉分支内,以保证治疗用药只对肿瘤起作用,而不影响周围的正常组织细胞。
最后,我们要配制“化疗栓塞剂”并将其通过导管向肿瘤内进行缓慢的注射,争取将肿瘤的供血动脉完全栓塞住,让其因缺血而坏死吸收。上述的化疗栓塞剂可以是由超液化碘油与抗癌药物的混合物,也可以是载药微球,其配制方案要根据具体的肿瘤进行必要的调整。
为什么肝癌的介入治疗这么受欢迎?
记得我创作过这么一首打油诗:“经典介入数肝癌,化疗栓塞首位排,结合消融可根治,微创疗效最牛掰。”虽是顺口而出,但却是有事实依据的。
根据统计,发病率最高的癌肿,男的为肺癌,女的为乳腺癌;而肝癌在男性中占第3位,在女性中仅为第5位。然而,如果以接受介入治疗的人次来统计,无论男女,却均以肝癌为最多。

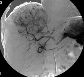
肝动脉造影显示肝内的肝癌病灶血供丰富
这是为什么呢?首先,肝癌被发现时,多数已经失去了手术切除的机会。其次,肝癌对全身化疗、放疗敏感性都不高。当然最重要的是,肝癌的介入疗效好。
肝癌的介入疗效好,与肝脏的解剖结构很有关系:肝内的血管分布与其他器官不同,它有两套血管系统,即肝动脉系统和门静脉系统。正常的肝组织主要是由门静脉供血,肝动脉供血的比例很小;而一旦发生癌变,这种供血模式就完全逆转了。肝癌组织几乎全部由肝动脉供血,门静脉不参与供血或仅有极少的供血。

肝的血供模式图,红色代表肝动脉,蓝色为门静脉(黄色为胆道)
因此,肝癌介入时,将混有化疗药的栓塞剂把供应癌肿的肝动脉分支完全栓塞,肝癌组织缺血缺氧,又遭受高浓度的化疗药物“浸泡”,自然就容易坏死;而正常肝组织并没有受到多少化疗药物的影响,而且由于有门静脉供血,正常肝组织也不至于缺血。因此,肝癌的“化疗栓塞”(TACE)就相当于用导弹定点打击敌人,所以才会疗效高、副作用小,自然就特别受欢迎。
肝癌TACE后,肿块缩小,病情好转,还可能再次获得手术机会。也可结合介入消融术,将TACE后的残余病灶彻底毁损,同样有可能实现根治的目的。介入将不可能转变为可能,是不是很“牛掰”呀?!