#肾积水是一种什么病?#
什么是肾积水?
肾积水是指一侧或双侧肾脏扩张。肾脏是泌尿系统中生成尿液的器官,包含以下2个部分:
过滤血液并清除废物及多余的盐和水
收集尿液的部分
肾积水时,收集尿液的部分会蓄积过多的尿液,因此发生扩张、宽于正常.

左图: 女性泌尿道 右图: 男性泌尿道
肾积水的病因是什么?
肾积水见于泌尿道阻塞时,此时尿液无法排出并反流回肾脏。多种原因可引起泌尿道阻塞.
成人中最常见的阻塞原因是!
良性前列腺增生(简称BPH)-此时存在前列腺增大。前列腺是男性体内围绕尿道的一个器官。尿道是尿液排出体外所流经的管道。
前列腺癌或下腹部其他器官肿瘤-肿瘤组织可压迫泌尿道,从而阻断尿液流动
·泌尿道结石-尿液中正常含有的盐和矿物质可形成小“结石”,它们可阻塞泌尿道.
阻塞可为突发或逐渐缓慢发生,可累及一侧或双侧肾脏。
肾积水有何症状?
有时没有症状,尤其是逐渐缓慢发生的泌尿道阻塞,可能是在因其他问题而接受检查时偶然检出。有症状的患者通常会表现为:
·疼痛-下腹部、生殖区、侧腹部或腰部疼痛
·排尿改变-排尿量可能减少,但也有例外
患者也可出现其他症状,具体取决于梗阻原因。例如,若是BPH,症状可包括!
·需要经常排尿
难以启动排尿过程
·尿流细弱,或者漏尿或滴尿
排尿后感觉膀胱好像未排净
应就诊吗?
需要。若有上列症状,应寻求医生帮助。若完全无法排尿,应急诊就诊
需要接受检查吗?
需要。医生会询问症状并查体,还会安排检查来了解肾积水的原因,以及判断病情严重程度,这些检查可包括:
·血液检测
·尿液检测
不同类型的影像学检查-影像学检查能对身体内部成像
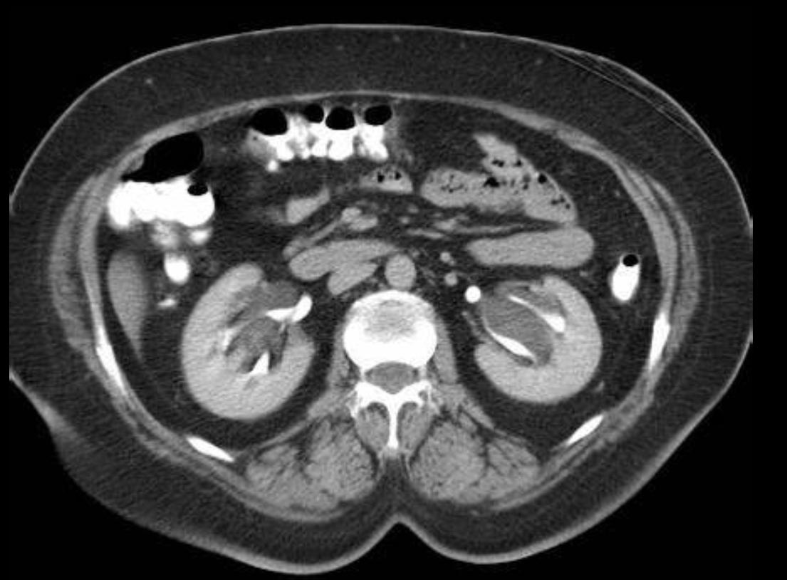
超声发现肾积水,做CT说没有肾积水咋回事?
有的时候超声发现集合系统分离,可能不能分辨肾积水或肾孟旁囊肿,增强CTU明确诊断后,可能没有肾积水。增强CTU能够更加准确区分肾孟旁囊肿和肾积水 (以CT为准)。


超声分辨肾积水和肾孟旁囊肿较困难
(A)左肾矢状面和(B)横断面显示肾孟区域低回声(白头)提示肾积水。横断面上,这些区域并不相连(黄色双头箭头);增强CTU (C 和 D) 显示肾孟旁肿 (白头) 与造影剂填充的集合系统 (黄色头)
如何治疗肾积水?
若无症状、血液检测结果正常且肾脏功能正常,则可能无需任何治疗治疗因人而异
医生可能会将导管置入泌尿道的某部分,以解除梗阻,帮助排出尿液若梗阻导致泌尿道感染,医生会给予抗菌药物治疗。
医生还会消除泌尿道梗阻,其方法因梗阻原因而异。例如,BPH导致肾积水时,治疗方式通常是手术去除部分前列腺或使其缩小。
若是癌症导致肾积水,医生会与您讨论治疗选择。肿瘤治疗方式因肿瘤不同而异泌尿道结石可采用下述方法治疗:
通过利用声波的机器碎石
手术取石
“输尿管镜术”操作,即由医生将一根细管置入患者的尿道,然后用其未端的特殊工具碎石或取石。

肾孟成形术
肾孟输尿管交界处狭窄做完肾孟成形手术,术后超声仍提示肾积水咋回事?
肾孟成形术后,肾孟可能比正常的宽,每3-6个月复查超声动态观察即可,如果“肾积水”没有加重,不需特殊处理。总之,只要肾孟没有越来越宽(“肾积水越来越重”)就不需担心。