非比寻常的肺空洞!
一、病例简介
(一)性别:男年龄:59岁
(二)主诉:咳嗽、咳痰、气喘3天。
(三)现病史:患者3天前在田间施农药(具体农药名称不详)后出现恶心、呕吐、咳嗽、咳痰(痰中带血)、气促,在当地静点“抗感冒药物”病情无改善,遂来我院就诊。
(四)既往史:既往身体健康,否认冠心病、糖尿病、高血压病史。
二、体格检查
查体:T:36.3℃,P:76次/分,R:18次/分,BP:120/80mmHg,血氧饱和度88%(未吸氧),神志清醒,气促,皮肤巩膜无黄染,口唇轻度发绀,扁桃体无肿大,气管居中,双肺叩诊呈清音,双肺可及湿啰音,双下肢无明显浮肿。
三、辅助检查
(一)血常规:WBC:12.44×109/L,NE%:84.8%,LY%:6.50%,PLT:92×109/L;
(二)血气分析:PH 7.40,PCO2:31mmhg,PO2:38mmhg,BE(B)-5mmol/L;
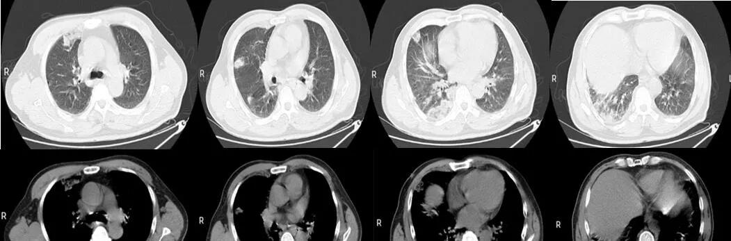
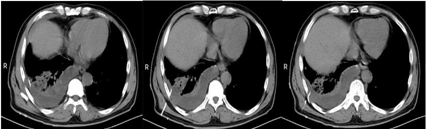
(三)胸部CT:双肺感染性病变,双肺多发高密度片状影(图一所示)。

入院时胸部CT(图一)
四、具体诊疗过程
患者起病急+病情重+呼吸困难症(症状)+双肺受累(胸部CT),考虑什么疾病呢?
诊疗思路:根据患者病史、症状、体征及实验室检查,我们首先要考虑的就是感染性疾病,但患者又有农药的接触史,故过敏性肺炎亦不除外,因患者病情不稳定,进展快,前期的抗生素治疗无明显好转,是抗生素未有效覆盖致病菌,还是有其他的原因呢?
表:诊疗过程(点击查看大图)



肺动脉CTA影像(图二)

肝脓肿引流(图三)

胸腔闭式引流术后(图四)
诊疗总结
疾病诊疗是曲折的,但结局是乐观的,经过充分治疗后患者病情得到了有效缓解,重温这个病例我们可以得出“克雷伯杆菌”是这个疾病的始作俑者,为什么它可以短期内导致疾病如此严重?进展如此迅猛?就让我们看看它的真实面目。
五、知识点回顾
(一)克雷伯杆菌相关知识
1.病原:克雷伯杆菌属于克雷伯菌族,革兰氏染色阴性,兼性厌氧,不活动。为人肠胃肠道正常寄生菌,在正常健康人中很少致病,通常为医院感染和机会性感染的重要病原菌。
2.流行病学:据报道,在临床标本中分离的革兰氏阴性杆菌中占第二位或第三位,仅次于大肠埃希菌和铜绿假单胞菌。痰液标本中最多,尿中次之。通过患者间传播或经人工呼吸器等医疗用具传播。常带有染色体介导的β内酰胺酶而对氨苄西林和哌拉西林耐药。
3.发病机制:据肺炎克雷伯杆菌常寄生在人体的上呼吸道和肠道。该菌具有荚膜,在肺泡内生长繁殖时,可引起组织坏死、液化,形成单个或多个脓肿,若病变累及胸膜或心包,可引起渗出性或脓性积液。当机体抵抗力降低时,该菌经呼吸道进入肺内引起大叶或小叶的病变,以上叶多见。另外,由于病灶中渗出液粘稠而重,常致叶间隙下坠。
4.临床表现:大多数起病突然,部分病前有上感症状。主要临床表现为寒战、发热、咳嗽、咳痰及呼吸困难等,早期全身衰弱较常见,痰液无臭、粘稠、量中等。由血液及黏液混合成砖红色被认为是肺炎克雷伯菌的一项特征,也有病人咳铁锈色痰液或痰带血丝或伴明显咯血。体格检查病人呈急性面容,常有呼吸困难甚至紫绀,严重者有全身衰竭、休克、黄疸。
多数患者体温波动在39.0℃上下,大叶性肺炎实变期肺部检查可于相应部位发现肺实变体征,触觉语颤增强,湿罗音常见。
5.实验室检查:血常规:WBC和NE增高,核左移,白细胞下降者预后差;痰培养:有肺炎克雷伯菌生长;血培养:据报道20%-60%的血培养可分离出肺炎克雷伯菌。
(二)高毒力肺炎克雷伯菌肝脓肿相关知识
1.高毒力肺炎克雷伯菌肝脓肿(KPLA):1986年,我国台湾首次报道了一种可引起多部位脓肿的肺炎克雷伯菌,定义为高毒力肺炎克雷伯菌(hypervirulent Klebsiellapneumoniae,hvKP)。此后,由肺炎克雷伯菌导致的细菌性肝脓肿(pyogenic liver abscess,PLA)已成为严重威胁患者健康的感染类型,特别是在亚洲地区具有较高的发病率,须引起足够重视。
2.KPLA临床特点:高热、寒战、肝肿大及肝区疼痛等全身脓毒性反应是其主要的临床症状,其中高热和寒战是最常见也是最早出现的症状,也有患者会出现厌食、腹泻、黄疸、右侧胸腔积液等症状,但这些表现都缺乏特异性。另外有25%左右的患者会出现恶心、呕吐。
3.KPLA基础疾病:糖尿病是hvKP肝脓肿最常见的基础疾病,胆道疾病也是另一个被公认的肝脓肿的基础疾病,尤其是肝内胆管结石、肝外胆管结石、胆肠吻合或者胆道支架等。
结论
(一)双肺多发病灶+肝脓肿+糖尿病——高度怀疑克雷伯菌感染;
(二)对于KPLA的治疗需要:充分的抗生素+及早的引流。
参考资料:
1.协和呼吸病学(第二版)蔡柏强、李龙芸主编
2.SiuLK,YeKM,LinJC,etal.Klebsiellapneumoniaeliverabscess:anewinvasivesyndrome[J].LancetIn-fectDis,2012,12(11):881-887
3.叶李铭,麦丽婷,黄静.高毒力肺炎克雷伯杆菌的临床特征和高毒力机制[J].国际呼吸杂志,2017,37(3):221-226.
4.陈曦1付春毅1张新超1.肺炎克雷伯菌肝脓肿侵袭性综合征10例临床分析[J].临床急诊杂志,2020,21(6):451-455.
本文来源:医学界呼吸频道
【版权声明】本平台属公益学习平台,转载系出于传递更多学习信息之目的,且已标明作者和出处,如不希望被传播的老师可与我们联系删除