
一、房室瓣口
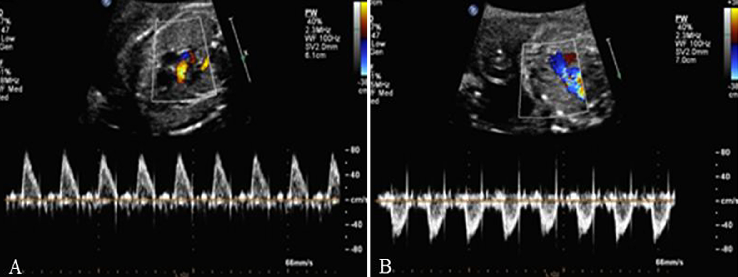
CDFI检查胎儿二尖瓣口(MVO)显示为稍细的红色血流,三尖瓣口(TVO)的红色血流较MVO稍粗;TVO的血流速度较MVO快。在瓣口远端取样,可以获得MVO和TVO的血流频谱,舒张期显示E峰和A峰。E峰由心室舒张的快速充盈血流形成,A峰由缓慢充盈期心房收缩、血流加速而形成,双峰特点在MVO显示的更为明显(图1)。瓣口血流速度随着孕龄的增加而增加,但38孕周后血流速度有所下降。

图1 MVO(A)和TVO(B)流速曲线,E峰<A峰
胎儿心室充盈的最大血流速度出现在心房射血期,由此导致MVO和TVO显示E峰小于A峰,提示心房收缩在胎儿心室充盈中起了重要作用;随着孕周增加E/A比例增大,说明心室舒张能力逐渐增加。出生24h后E/A即可升至1.17。TVO流速>MVO流速,显示胎儿循环为右心室(RV)优势;这种右室优势在早孕期即开始,直到在孕晚期才逐渐转为左室优势。
除MVO和TVO外,胎儿心房间还可显示卵圆孔的血流,血流束直径多小于6mm;血流显示为低阻力型频谱,舒张期血流速度明显大于收张期血流速度。
二、心室流出道
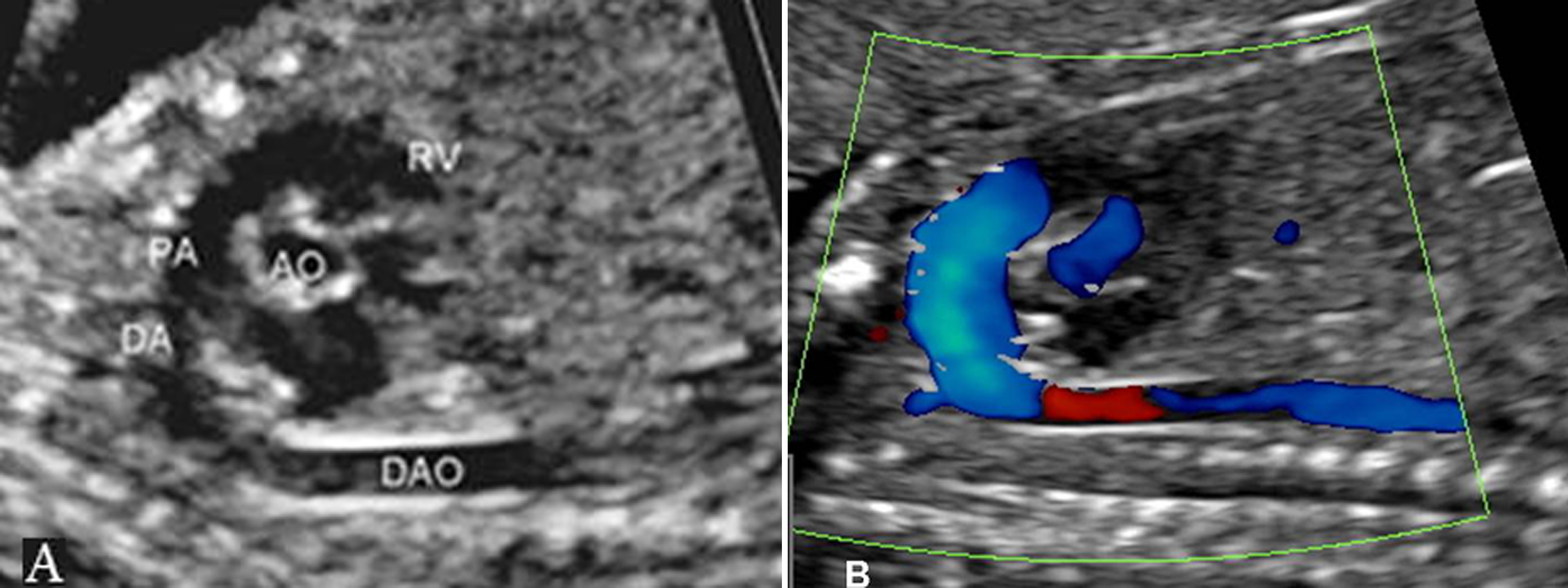
1.主动脉(AO)瓣及AO根部 多个切面都可显示AO根部和LV相连的情况,血流显示清楚。在色彩上,AO要比肺动脉(PA)鲜艳,血流速度比PA内的血流速度快,其原因可能与AO内径较细、远端血流阻力较PA的阻力小有关(图2、图3)。

图2 左室流出道切面观(A)及血流(B)

图3 主动脉(A)及肺动脉(B)血流时间流速曲线
AO的血流频谱为窄带单峰,上升支较下降支快。由于升主动脉和主动脉弓的血液主要来自胎儿的LV,在心室的舒张期可以发现血流中断,形成有空窗的基线。
2.肺动脉瓣及PA 显示相对困难,有报道认为胎儿PA的血流显示率不足一半,并且血流速度最快的部位在动脉导管处。PA的频谱显示为非对称性的三角形,上升速度大于下降速度(图3、图4)。

图4 右室流出道切面观(A)及血流(B)
三、动脉导管
主动脉弓长轴和PA之间可以显示动脉导管(DA)及其血流(图5、图6)。正常DV显示为单向、单峰性搏动性频谱,PI>2.0。

图5 动脉导管切面观(脊柱前位)(A)及对应血流(B)

图6 动脉导管切面(脊柱后位)(A)及对应血流(B)
由于胎肺血管没有形成正常的充盈状态,RVO流出的血液绝大多数经DA进入降主动脉,PA的阻力明显大于AO。在AO和PA的起始部,AO的血流速度明显大于PA,速度比为1.3:1,而在PA远端,由于较大的DA两端压差而使其内部的血流速度达到140cm/s。胎儿出生后,随着呼吸的开始和肺的充气,肺循环阻力迅速下降,尤其是在胎儿出生6小时以后,肺充气的面积迅速扩大,肺循环阻力下降尤为明显,但血流速度一直小于AO。
在不同妊娠期动脉导管的血流有一定的变化。收缩期血流峰值速度SV=3.34×孕龄-4.59,与心率没有明显的相关性,与PA瓣口的血流速度比值为1.35;舒张期血流峰值速度DV=0.57×孕龄-0.31,与胎儿心率没有明显的关系,但胎儿心率的增加可以提高舒张末期血流速度;加速时间AT=2.11×孕龄+19.2。
动脉导管和卵圆孔的存在确保了高氧血流进入冠状动脉及脑循环。
四、血流量
测量瓣口血流频谱的血流速度积分(VTI)和血流截面积(A)后可以获得心排血量(Q)。
心排血量与心率的乘积为心输出量(CO)。
面积的计算是影响血流量计算准确性的首要因素。声束与瓣口的相对关系、超声仪器的分辨能力、操作者的操作技巧和熟练程度以及多普勒的增益水平等均可影响瓣口面积测量的准确性。常规增益条件下,超声显像、彩色多普勒血流束和多普勒频谱计算的瓣口面积的差异在10%~30%之间。国内一组313例20~40孕周胎儿资料的研究报道了正常胎儿LV排血量、RV排血量、联合心输出量、AO峡部流量和动脉导管流量随着孕周的增加逐渐增加,与孕周呈线性正相关;胎儿CO随妊娠的进展增加,但QR/QL相对恒定,在20~40孕周之间维持在1.35±0.31。
随着胎儿的生长发育,胎心泵血功能逐渐加强,血流量随胎儿体重的增加而增多,血流速度随之加快。所不同的是虽然血流速度加快、血流量增多随孕龄的增加呈线性改变,但血流量和胎儿体重的关系则维持在比较恒定的状态。以胎儿体重计算,胎儿心输出量基本处于比较恒定的状态。
五、胎儿心脏功能的超声多普勒评价
由于胎儿肺处于不扩张状态及卵圆孔和动脉导管的存在,心脏功能的评估与成人有显著的不同;右心优势维持在整个妊娠期直至出生。但出生后的常用的超声检查心脏功能的方法也可以在胎儿心脏功能评估中使用,如在成人二维超声检查和M型超声检查中常用射血分数、LV短轴缩短率,以及时间-空间关联成像(STIC)技术等。
1. 胎儿心脏收缩功能评估
(1)心室输出量:包括心脏每搏输出量和心脏输出量。
(2)心输出量/胎儿体重比值:自16孕周到足月妊娠中,胎儿的胎儿体重(kg)/心输出量比值稳定在400~600 (ml·min)/kg之间。
(3)AO、PA射血指标:包括收缩期峰值速度(PV)、加速时间(AT)、速度时间积分(TVI)、射血时间(ET)等。随孕周的增加,AO、PA瓣口收缩期血流峰值速度逐渐增加。
2.胎儿心脏舒张功能的评价 常用的胎儿心室舒张功能评价的方法有:MVO和TVO血流速度、组织多普勒(TDI)技术等。
(1)E峰和E/A比值:MVO和TVOE峰和E/A的值是最常用的评价心室舒张功能的参数,可用它来反映心脏的顺应性和舒张期负荷状态。将多普勒取样门放在房室瓣口远侧,可以记录到双峰的心室充盈血流。第一个波峰由心室舒张、房室瓣开放、心室的负压吸引形成,称为E峰。E峰的高低与心室壁的舒张能力、舒张末期心室内残余血量有关。第二个波峰由心房收缩引发,称为A峰。有报道最早在第9孕周就可以记录到房室瓣口的双峰波。从第10周开始就可以记录到A峰大于E峰,E/A<1,随着妊娠的继续,E/A不断升高,由于心室的顺应能力的增加,E峰增加的更为明显。在第16孕周时,E峰的峰值速度约为16cm/s,到足月妊娠是可以达到45~50cm/s,而同期A峰仅由30cm/s增加到45~50cm/s。到足月妊娠时E/A可达到0.8以上,提示胎儿期心房的收缩在心室的充盈中发挥重要的作用,并随着孕周的增加胎儿的心脏舒张功能日趋完善。胎儿出生后E峰即升高超过A峰,E/A>1,但心房收缩在心室充盈过程中仍发挥着重要的作用。慢性缺氧可能因为影响心室的收缩能力、心脏负荷增加引起心室残余血流增加、心室腔舒张期压力增加而降低E / A比值。
(2)组织多普勒检查技术:组织多普勒检查是滤去血流产生的高频多普勒信息,记录组织运动产生的多普勒信息,形成组织多普勒成像(DTI)技术。DTI可直接测量心肌组织的舒张速度从而评价心室舒张功能,并且不受到心室负荷状况的影响。可以使用频谱TDI和彩色TDI模式对心肌的舒张能力进行评价。
1)频谱TDI:检查时显示并放大胎心四腔观,保持声束与心室壁及室间隔的夹角<20º,在心室基底部或瓣环处取样,可以获得心室壁及瓣环处的组织多普勒频谱,显示Ea(舒张早期瓣环迟缓速度)、Aa(舒张晚期、心房收缩期瓣环速度)和Sa(心室收缩期瓣环速度)(图7)。同MVO血流E/A一样,说明在胎儿心脏舒张功能加强的过程中,心室主动松弛的作用在逐渐加强,而心房的代偿作用则相对减小,心脏的舒张功能逐渐成熟。
STDI检查可以通过等容收缩时间(ICT)、射血时间(ET)和等容舒张时间(IRT)计算心肌做功指数(MPI, Tei指数),并且通过STDI获得MPI较使用频谱多普勒检查获得MPI更可靠。

图7 房室瓣瓣环纵向运动速度频谱
2)彩色TDI:检查仍需要减小声束与心室壁及室间隔的夹角,为获取高帧频(FR>200 f/s)的图像,常需要尽量缩小彩色显示区域,在多个部位进行取样,可同时记录多个感兴趣区域的心肌运动速度曲线,评估局部心肌的运动异常;常用指标包括心肌长度的变化(S)及其随时间发生的变化(SR),用以区分心肌运动中的主动性运动和被动性运动,与速度指标比较,可以更为敏感地评估胎儿心脏功能。在进行胎儿心脏CTDI检查时至少记录5秒的图像资料,离线分析3~5个心动周期。
与出生后TDI检查比较:一是胎位及胎儿的活动的影响。进行CTDI检查时需要获取清晰的心尖四腔观。但胎位或检查过程中胎儿运动可能影响该四腔观的显示或显示角度不理想而影响CTDI的检查或影响评估的准确性;其次图像FR的影响。显示高FR图像是进行CTDI的基础。进行成人CTDI的FR至少要在140FPS,由于胎儿心率超过成人近一倍(均值的倍数,MoM),进行胎儿CTDI检查时需要的图像FR应当在200FPS以上。三是在成人CTDI检查时需要同步记录心电图以对时相进行确认,但胎儿心电图的记录困难比较,影响了CTDI时域确认的准确性。有研究者提出使用虚拟心电图可以部分解决这个问题。另外,现在所用于胎儿CTDI检查的仪器均是为成人CTDI检查设计,没有专门用于胎儿的仪器,但胎儿心脏很小,心肌运动速度及力量远不及成人甚至儿童,所获得的参数可能或影响其准确性。
3)胎儿TDI检查的意义:使用TDI技术或结合应用频谱多普勒、二维多普勒血流显像技术对胎儿心脏功能异常进行评估。研究发现胎儿发育迟缓与胎儿心脏功能异常有关。发生发育迟缓时,STDI检查和CTDI检查可以发现PAV和E/E’降低,E’/A’和PMI增加,心脏的收缩期峰值速度的降低常常与胎儿发育迟缓围产儿的死亡和脐动脉的血流异常有关。有一些小于孕龄儿的脐带动脉血流正常,与常规胎儿超声心动图检查比较,TDI检查也会有所发现,因此,TDI可能有助于更早地提示胎儿的心脏功能问题。同样的情况也在糖尿病孕妇的胎儿心脏检查中发现。很明显,TDI在胎儿心脏功能异常以及胎儿心力衰竭的发现和评估中有重要的意义。此外,TDI还有可能对胎儿心律失常的发现、解释等有一定的价值。PTDI和CTDI在评估胎儿心脏时具有同样的价值,但其参考值会有一定的差异。
3.胎儿心脏功能的综合评价 MPI(Tei指数)可以对胎儿心脏功能作出综合评估。使用PTDI或频谱多普勒检查均可获得MPI。
(1)MPI计算:①频谱多普勒检查心脏时,显示胎儿心脏五腔观,取样门放置在二尖瓣前叶远端和LV流出道结合部位,可以同时获得MVO血流和LV流出道血流,测量二尖瓣血流频谱前一心动周期A峰结束到下一心动周期E峰开始的时间间期,记为A,测量LV流出道血流时间为B,MPI = (A - B) / B;也有作者采取分别在MVO远端和AO瓣口获取血流频谱计算MPI的方法。②胎儿心脏TDI检查时测量显示Ea峰起点至Aa结束的时间(a)以及Sa持续时间(b),通过(a-b)/b获得MPI(图8、图9)。

图8 血流频谱法测量Tei指数

图9 改良的血流频谱法测量Tei指数
(2)注意事项:采用(a - b)/b的方法计算MPI简单方便,但不能区分等容收缩期和等容舒张期,二者还是有一定的不同的;在频谱多普勒检查采用不同的心动周期分别获取等容收缩期/等容舒张期和射血时间会由于心率的差异影响MPI计算的准确性。采取单一心动周期可以在一个屏幕上同时显示心室充盈及其射血时间可以避免心率对计算结果的影响。由于解剖结构的特点,该方法尤其适用于胎儿LV。在胎儿心脏四腔观上,采取3~4mm的取样门宽,多可以在同一幅图像上获得理想的LV流入道和流出道血流频谱,或还可获得RV流入道和流出道血流频谱;适当调节仪器增益条件和显示屏显示条件,准确、清晰地显示血流速度曲线或瓣环活动曲线可以准确地确定心脏活动时相,以确保MPI计算的准确性。
(3)MPI的临床应用:MPI的重要意义在于可以比较早地对胎儿心脏功能进行评估,评估的准确性优于其他的超声评估方法。在胎儿发育迟缓时,脐带动脉血流改变尚不明显时MPI就可能有异常,反映了心脏早期的适应性改变;结合其他异常如静脉导管血流可以评估胎儿发育迟缓的严重程度。此外,MPI还可用于糖尿病孕妇、双胎输血综合征等胎儿心脏功能的评估。