
做健康的传播者,一路同行,一起成长


又是一年春风暖
三月八日女神节
在这特别的日子
上海市医学会妇产科分会
组织撰写系列科普文章
为女神们送上暖心健康呵护
什么是切口妊娠?
切口妊娠,医学上称作剖宫产瘢痕妊娠(cesarean scar pregnancy,CSP)即受精卵着床在子宫既往剖宫产术的瘢痕处,仅限于早孕期(≤12周);孕12周以后的中孕期CSP则诊断为“宫内中孕,剖宫产术后子宫瘢痕妊娠,胎盘植入,胎盘前置状态”,到了中晚孕期则为胎盘植入及前置胎盘,即形成所谓的凶险性前置胎盘。

这种妊娠有什么风险呢?
目前仍提倡积极终止妊娠,同时尽最大努力保留患者的生育功能。做到有备无患,才能减少并发症的发生,提高治疗成功率。对于患者有强烈继续妊娠意愿的CSP则需要根据临床症状、孕周、胚胎情况、子宫肌层厚度及患者依从性进行综合判断,严密监护,权衡利弊,适时终止妊娠。

所以患者的月经周期,末次月经,既往生育史,剖宫产次数,尤其剖宫产分娩史,剖宫产术中异常情况,前次剖宫产与此次妊娠间隔时间,本次妊娠过程中有无阴道出血史,保胎史等。这些重要病史就显得外重要了。
临床上怎么辨别呢?
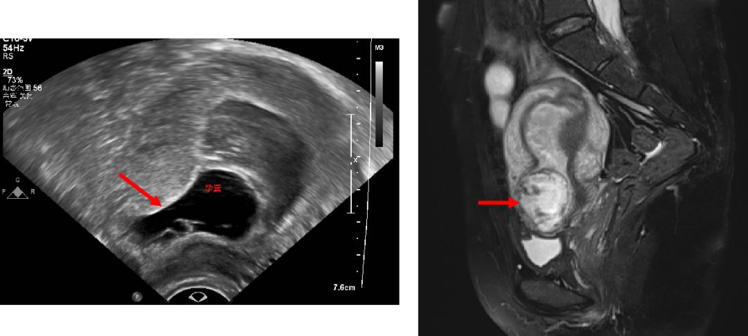
超声常用作一线筛查手段,典型图像为:
(1)宫腔内、子宫颈管内空虚,未见妊娠囊,子宫内膜清晰可见;
(2)妊娠囊着床于子宫前壁下段剖宫产切口部位肌层,部分妊娠囊内可见胎芽或胎心搏动;
(3)子宫前壁肌层连续性中断,妊娠囊与膀胱之间的子宫肌层明显变薄,甚至消失;
(4)彩色多普勒血流显像(color Doppler flow imaging,CDFI)显示妊娠囊周边高速低阻血流信号。
当超声检查无法明确妊娠囊与子宫及其周围器官的关系时,可进行MRI检查。但因MRI费用较昂贵,且检查时间相对较长,所以不作为首选的检查方法。

根据妊娠囊着床部位、妊娠囊形状、妊娠囊与膀胱间子宫肌层厚度、瘢痕处血流信号(CDFI)将CSP分为3型。医生根据分型结合患者生育意愿个体化给予治疗。
切口妊娠的我该怎麽办?
治疗原则:
早期诊断、早期处理,预防子宫破裂、大出血等严重并发症的发生是关键。
治疗目的:
主要是杀死胚胎、排出孕囊、保留生育功能;
治疗方案的选择:
(1)药物治疗
药物治疗在CSP中通常用作术前预处理及术后补充治疗,若不宜手术、生命体征平稳且孕周较小的患者可尝试药物治疗,一般不优先推荐,相关药物主要有甲氨蝶呤(Methotrexate,MTX)、米非司酮、5-氟尿嘧啶、天花粉等,其中前两者较为常用。
(2)手术治疗
1)刮宫术
刮宫术可以直接清除妊娠囊,但有子宫破裂、穿孔的风险,临床上多数在超声监护下进行,为减少患者出血,术前也可预防性行子宫动脉栓塞术(Uterine artery embolism,UAE),为有生育要求的患者尽量保留生育功能。
2)宫腔镜
宫腔镜最大优势在于能直视瘢痕处孕囊的形态、位置及大小,对CSP的类型作出准确判断,同时宫腔镜下能更精准地清除孕囊,并且做到及时有效地电凝止血,从而降低创面因盲目刮宫而导致大出血、子宫破裂等风险。但是,若生命体征不稳定、阴道已有大出血或瘢痕组织过于薄弱的患者不适合宫腔镜手术。
3)腹腔镜
Ⅲ型CSP或病灶远离子宫腔向腹腔内生长的患者相对适合腹腔镜下处理。腹腔镜能彻底清除病灶,缝合切口,有利于修复缺损、组织重建、及时止血。为避免术中大出血,影响手术操作,可加用垂体后叶素等药物或行双侧子宫动脉结扎术。必要时联合宫腔镜最大可能地切除组织物、修复瘢痕缺损,保留患者生育功能。
4)经阴道手术
经阴道妊娠物清除术+子宫瘢痕修补术:可通过经阴道途径,打开膀胱腹膜反折进入腹腔,清除妊娠物的同时,切除子宫瘢痕组织,并行子宫前壁的修补术,修复薄弱的前壁肌层,恢复正常的解剖结构。
5)子宫切除术
经腹全子宫或次全子宫切除术,适合于凶险性CSP病例在紧急情况下为挽救患者生命或患者无生育要求时的选择。
术后也不该掉以轻心喔~
要接受医生密切的相关随访...
有研究报道,CSP治疗后再发CSP概率约为5%-25%,因此患者术后随访至关重要,确保患者血HCG降至正常、超声监测宫内病灶清除干净以及恢复月经周期是必要的。目前对于CSP术后再次成功妊娠的研究资料有限,但也有不少成功妊娠的病例报道,一般建议至少治愈半年至1年后再妊娠,并告知患者再次CSP的风险。
若CSP后再次妊娠,加强监测胎盘粘连/植入、胎盘早剥及子宫破裂的风险。
对于无妊娠意愿者,需落实长期高效的避孕措施如:宫内节育器、皮埋等,或者根据患者意愿行绝育术。

(图片来源:临床工作以及网路)
参考文献:剖宫产术后子宫瘢痕妊娠诊治专家共识(2016)-中华医学会妇产科学分会计划生育学组
供稿:上海市医学会妇产科专科分会
作者:
- 柯伊玲(上海交通大学医学院附属国际和平妇幼保健院计划生育科)
- 何晓英(副主任医师,上海市医学会妇产科分会青年委员会副主任委员,上海交通大学医学院附属国际和平妇幼保健院计划生育科)
上海市医学会是一个有着百年历史的社会团体,以促进医学科技发展、医学知识普及为己任,一直以来坚持科普惠民的理念,所属各专科分会积极响应学会号召,集中全市最优秀的医学专家,开展多种形式科普活动,全方位推进医学科普宣传。上海市医学会于2018年获得上海市卫生健康委员会首批“上海市健康科普文化基地”称号,将担负起更大的责任和义务,继续着力于向人民群众传播正确的医学健康知识,提升全民健康素质,实现人民对美好生活的向往,将基地建设成更为优质、更受欢迎的医学健康科普家园。