大家好,我是一名从业多年的肾内科医师。说起肾脏B超,我想很多人都做过这个检查,不论是各种体检套餐还是住院常规检查多数都会涉及到这个项目。但有的人的彩超报告上会打上“肾囊肿”这个专业的医学名词,对于不懂医学的普通人来讲,不少人就会想,这是咋回事呢?我也没啥感觉啊,到底需不需要处理呢?针对这些常见的疑虑今天我就以此来为大家做一个简单的科普讲解。

什么是肾囊肿?
●大家不要紧张,这其实就是肾脏的囊性病变,多数的病人是不会有什么临床症状的,除非是个别囊肿比较大或者有多个相对比较大的囊肿压迫到了肾实质、肾盂肾盏的话就有可能会有腰部疼痛、酸胀以及血尿等不适。注意了,单纯性的肾囊肿并不是什么先天性或遗传性的肾脏病,它是后天形成的,是成年人肾脏最常见的一种结构异常。
●有的人可能会说,以前都从来没听过有这种情况,为什么现在听的越来越多?这其实和近年来健康体检的普及以及影像学检查技术的提高关系很大。正是基于此,单纯性肾囊肿的检出率自然就高了。一般而言,囊肿可以是单侧也可以是双侧,可以是一个也可以是多个,多数位于肾脏皮质深层或髓质中,而且它的发病率会随着年龄的增加而增多。

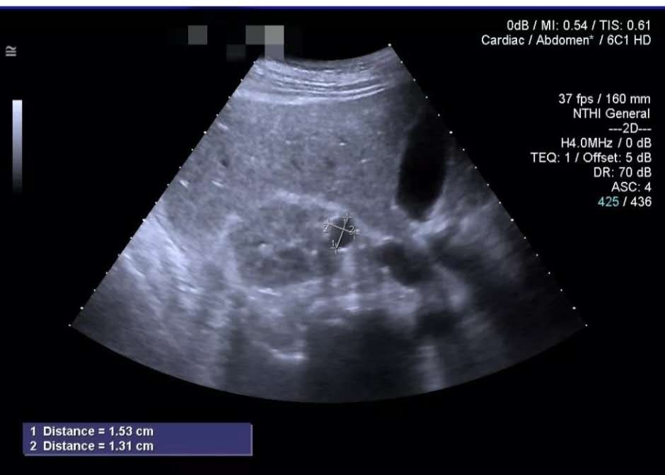
肾囊肿在B超下的特点介绍
●其实细心的朋友应该可以发现,一个彩超报告单其实可以分为三大部分。头上主要是病人的一些基本信息(如姓名、年龄、性别、就诊的科室、检查部位等)。而中间主要是“彩超所见”,多数是一些专业术语,没有专业知识是难以理解的。而下面则是“超声提示”,比如是单纯性肾囊肿就写单纯性肾囊肿,是慢性肾病就写慢性肾病图像。
●那么单纯性肾囊肿在B超下是怎么一个特点呢?如下:超声下肾脏内可见单个或多个无回声团块,较大时突像包膜外,壁薄,边界清楚,形态较规则,内部透声好,后方回声增强。如果是新鲜出血时,内部可见实质性稍强回声,时间较长时回声减弱。如果肾囊肿已经出现感染的话,一般会提示囊壁不同程度的增厚,囊内出现细弱点状回声等特点。

肾囊肿和多囊肾一样吗?
●答案是不一样,我科近段时间就收治了多个多囊肾的患者。这其实是一种遗传性的肾脏病。在彩超下和单纯性肾囊肿也不是一个概念,成人型多囊肾病常为双侧肾脏都有累及到,在这个基础上,肾脏的体积会增大,表面看起来不光滑,呈分叶状。肾实质内会有大小不等的无回声灶,类似于蜂窝,肾脏的集合系统回声消失,多数人同时会伴有肝囊肿或是胰腺、脾脏囊肿。
●如果是彩色多普勒超声下,多囊肾在各个囊壁间会有花色血流,但分布杂乱,而且还会有肾动脉血流下降、肾实质血供减少等并发症。多囊肾随着年龄的增长,肾功能的持续进展,很多人都会由慢性肾衰竭最终进入尿毒症而需接受透析治疗。所以它和单纯性肾囊肿比起来虽然听起来有点类似,但是完全不同的疾病,这点大家不要弄混淆了。

发现了单纯性肾囊肿怎么应对?
●上面我就讲到,单纯性肾囊肿多数是没有症状的,而且进展缓慢,愈合良好。对肾脏功能和周围组织的影响并不大,所以一般都无需治疗,只要做到每半年到1年随访即可(目的是看看囊肿对比之前有没有增大)。如果复查出来囊肿直径变大,超过5cm或者产生了周围组织的压迫症状、引起了尿路梗阻,那就需要及时进行临床干预了。干预的目的就是为了解除囊肿对我们肾实质的压迫,以减轻或解除症状。从而提高患者的生活质量,延缓肾功能的损害。
●如选择在B引导下经皮向囊肿穿刺注射无水乙醇硬化,凝固了囊壁内层上皮,使其不再分泌囊液,从而达到治愈的目的。由于局部皮肤麻醉,所以可以门诊实施,不需要住院。和腹腔镜手术相比,创伤更小。对小于8cm的囊肿,有效率接近 80%,应为首选治疗方法。硬化方法可用无水乙醇反复冲洗,开始冲洗液回抽混浊,表示含有乙醇凝固脱落的囊壁上皮细胞,待冲洗液回抽清澈,表示硬化完成。
●相比囊内保留乙醇的方法,乙醇浓度不受囊液稀释,因而疗效更好,治疗后也少有疼痛发热反应。对大于 8 cm 的囊肿,初次硬化治疗后,囊内留置导管,3 天后再硬化一次,同样能达到满意的效果。也可以选择腹腔镜下囊肿去顶术,这种方式的话患者需要全麻。腰腹部皮肤作三个小切口,腹腔镜和手术器械分别从切口进入腹腔,切除囊肿顶部囊壁。但是,囊肿去顶后,大部分囊腔还在,囊壁内层上皮还能分泌囊液,所以术后有复发的可能。


综合总结
所以当你B超检查发现有单纯性肾囊肿时不要紧张,无端给自己心理压力。相信有幸看到我这篇文章,并认真阅读理解了的话也就知道它就是这么一回事。本文章不构成医学治疗建议,也不具备医疗指导意见,仅为健康科普所用。不加入专栏,无偿、免费的让大家阅读。希望对大家有帮助。如果学到了,不要吝啬,点个赞,转发一下帮助更多人,感谢支持。

(此处已添加医疗卡片,请到*今条头日**客户端查看)