大家好,今天想与各位读者分享一下本人吃了五年槟榔后带来了一些什么样致命的危害!

本人是地道的湖南人。很多人一说到湖南肯定第一个想法估计除了是毛*东泽**的家乡外就只剩“湖南人最爱吃槟榔了”。湖南人普遍爱吃槟榔没错一点,上到七八十的老人,下到三五岁的儿童。久而久之的出了一句谚语“槟榔配烟,法力无边”。本人也很“荣幸”在平常的生活中结交了“榔友”所以爱上了嚼槟榔!嚼槟榔五年有些什么致命的危害?以下说的内容都是我自己亲身体验的。没有半点浮夸和作假!请大家引以为鉴。
第一:口腔溃疡
我以前什么酸甜苦辣都可以吃,久而久之的口腔溃疡严重,有时候满嘴的泡还要去嚼槟榔。一包在手不吃完我不走,一个接一个的嚼。晚上睡不着,喝水也嘴巴疼。张嘴都不能张很大,张很大会拉着嘴疼。

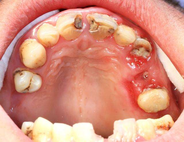
第二:牙齿受影响
犹记得很多朋友都夸过我有一口好牙。我也一直以这口牙齿为骄傲。但是因为槟榔的毒害,牙齿牙缝变大,发黑发黄,并且牙齿出现了缺胳膊少腿的现象。说话是一嘴的口气!每天不敢靠别人太近说话。

第三:肠胃的影响
我本来肠胃就不怎么好,有肠炎。加上每天嚼槟榔。更加严重,一天上厕所没有十次也有八次。关键有时候还便秘,让人有种更痛不欲生的感觉。肚子一疼起来立马就要去厕所。

第四:皮肤影响
每天面黄肌瘦的感觉,皮肤松弛。各种痘痘都挂在脸上,并且脸也变大。想想自己才三十岁出头。感觉跟个四十多岁的人一样。
总结
五年的嚼槟榔换来了不怎么好的身体。今天是戒槟榔的第二十天,没有什么难受。也没有什么难以戒掉。我在这里奉劝各位爱嚼槟榔的人士,生命只有一次,不要以为强迫自己做一件事很难,我算是很没有自制力的。我也强迫自己戒掉了。我很佩服自己,也很自豪和开心。送给希望想戒槟榔的所有人一句话“世上无难事,只怕有心人”大家都加油(ง •̀_•́)ง!为了身体和美好的明天。