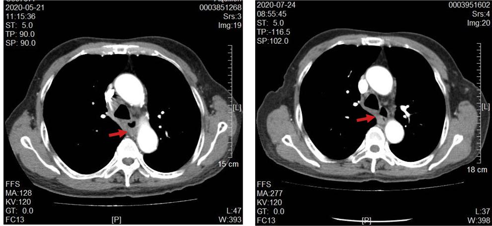
林老师在2月个半月因吞咽困难,进食固体食物时明显,半流质尚可,后进行性加重伴右侧颈部淋巴结肿大,淋巴结自行触摸有鸡蛋大小。电子胃镜:食管占位,病理提示是个鳞状细胞癌。螺旋CT直接增强(肺部):扫及食管中下段壁增厚,考虑恶性肿瘤;左肺上叶占位并周围少量阻塞性炎症,考虑肺癌;纵隔内、肝胃间隙及腹膜后多发肿大淋巴结。根据CT情况又做了左肺占位穿刺活检提示:"左肺穿刺活检组织"鳞状细胞癌。结合其影像学及病理学情况,考虑不排除肺、食管双源发肿瘤。经病例讨论后,给予了免疫+抗肿瘤血管生产靶向药+单药化疗药。1个周期后,林老师自觉吞咽困难情况明显改善,并且脖子上淋巴结渐渐摸不到了。2个周期后复查,肺部的肿块接近消失,食管肿块明显缩小。不得不感叹,肿瘤治疗的神奇之处。在传统观念里手术、放化疗常用*器武**,再加上现代新治疗方案靶向及免疫治疗,确实取得非常不错的效果。

肺部肿瘤接近消失

食管碧明显变薄
除了传统的放化疗、手术,目前靶向、免疫在基于肿瘤分子生物学的不断研究,层出不穷的新药上市,不仅给患者带来了生存获益,还提高了患者的生存质量。但是同时也要了解靶向治疗就是精准治疗,针对基因突变的靶点进行射击,相对于肿瘤的全身性细胞损害,明显降低了药物副作用,提高治疗效果和生活治疗,主要副作用是皮疹、肝功能损害等,但几乎所有靶向药物治疗一段时间后会出现耐药的问题,这是目前尚未解决的科学问题。
而免疫治疗,通俗来讲主要是激活身体的安防系统,防止破坏分子肿瘤细胞的侵袭,提高安防的*伤杀**能力,就是要把我们自己搞得好一点,让肿瘤细胞的生存环境变得恶劣一点,使它们生存的机会也相对比较小一点。提高免疫系统的识别和*伤杀**能力,最终*伤杀**肿瘤细胞。但目前免疫治疗存在费用高,治疗周期长,有效人群不多等缺点,而且同样会带来垂体炎、肺炎、胃肠炎等副反应。
另外还有一种抗肿瘤血管生成靶向药物安罗替尼、阿帕替尼、贝伐珠单抗、恩度。抑制血管新生因子的活性,从而抑制肿瘤新生血管的形成,减少肿瘤的氧气和营养物质供应,抑制其生长。但是该类药物容易导致高血压、出血、蛋白尿等副反应。
随着医学水平的突飞猛进,肿瘤治疗药物不断更新,如何进行选择最合理的用药,如何进行多种治疗方法的结合,以期达到1+1大于2的效果,同时最大限度减少药物毒副作用,是我们需要不断探索研究的问题。
我是@华笙医生 ,分享身边抗癌故事,科普科学防癌抗癌#我上头条# #福州头条# #肿瘤科普排位#