-
韦格氏肉芽肿(Wegener’s granulomatosis,WG)是一种少见的以侵犯上、下呼吸道、肾脏、皮肤及眼眶为主的坏死性、炎性肉芽肿的全身性疾病,上呼吸道好发于鼻、鼻窦和鼻咽部,下呼吸道好发于气管、支气管和肺,而小血管炎和结节状凝固性坏死性肉芽肿是其主要病理特征,肺部是Wegener肉芽肿最常侵犯的位置,目前病因仍不完全明确,临床缺乏特异性的症状和体征,亦无较特异的实验室检查,影像学表现均无特异性,因此极易误诊。
-
Wegener 肉芽肿是一种全身性疾病,发病率为0.4/10万,任何年龄均可发病,男女均可发病。Wegener 肉芽肿的临床表现没有特异性,大多数患者先有上呼吸道症状,如发热、鼻塞、流鼻涕、咳嗽、咳痰、盗汗、胸痛,部分有咯血、呼吸困难等肺部症状,继有肾小球肾炎,典型者有上呼吸道、肺、肾三联症。林光武等报道Wegener 肉芽肿病例上呼吸道发病占53%、肺76%、泌尿道41%。因此,肺部是最常受累的器官之一,主要病变有间质纤维化、肺泡出血及支气管炎等。
-
Wegener肉芽肿属于少见病,目前病因尚不清楚,多数学者认为可能与免疫复合物引起的变态反应有关。WG是一种综合征,其临床症状复杂,大概可以分为三个演变阶段,即上呼吸道症状、下呼吸道症状和肾脏症状阶段。肺部病变是病程演变过程中的一个阶段,是WG主要特征之一,有作者提出WG肺部受累达75%~95%。朱贵卿把WG分为周身型和局限型两种,周身型或古典型WG即上述的上、下呼吸道和肾脏病变三联征,可伴有全身广泛的坏死性血管炎和肉芽肿病变,局限型WG较常见,其病变仅限于上、下呼吸道而无肾脏和周身表现,45 %的病例以肺部病变为首发症状。
肺Wegener肉芽肿的病理变化为坏死性肉芽肿和坏死性血管炎:
1. 上、下呼吸道的坏死性肉芽肿是最突出的病理变化。坏死性肉芽肿主要由炎性细胞构成,病灶常发生坏死,可形成空洞,也可表现为片状地图样嗜碱性凝固性坏死,内有大量坏死细胞核碎片及溶解性坏死形成囊腔,坏死灶周围有大量炎性细胞浸润,其中有上皮样细胞、巨细胞、淋巴细胞和浆细胞浸润,也可有中性粒细胞和嗜酸粒细胞浸润。
2. 坏死性血管炎主要累及小动脉及小静脉,主要位于坏死灶周围,以白细胞碎裂性血管炎多见,表现为血管壁发生纤维变性,肌层及弹力纤维破坏,并有炎性细胞浸润,血管腔内可形成血栓,并见梗死、出血及动脉瘤形成。本病肺脏受累机制为激活的嗜中性粒细胞释放出ANCA等抗体侵袭血管壁,造成血管壁纤维素样坏死和溶解,形成肺内坏死性肉芽肿,可有空洞形成。
实验室辅查:
血清抗白细胞胞浆抗体(AN-CA)是Wegener 肉芽肿的重要检测指标,其变化能反映疾病的恶化或缓解,并且其敏感性、特异性和准确性均较高;Lohrmann等研究发现胞浆型抗中性粒细胞抗体(C-ANCA)是本病的特异性抗体,活动期敏感性为70%~100%,特异性为86%;Pretorius等研究也显示C-ANCA可作为诊断和监测本病活动性的指标,活动期阳性率可达100%。血清免疫球蛋白(IgG)升高;部分病人有贫血。
肺Wegener肉芽肿影像表现:
-
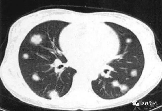
胸部CT检查有阳性发现者占97%,包括多发性肺结节、肿块、楔形病灶、片状浸润阴影、空洞、气道狭窄或溃疡、肺出血等。肺部Wegener肉芽肿CT征象多样,典型的影像学特点是“三多”,即多发性、多样性、多变性。多发性指肺内多处病变,散在双侧肺野,尤以双下肺好发。多样性指病变形态及新旧不一,病变形态多样,呈结节、实变、空洞及条索影等,结节及空洞较为常见。空洞形成是Wegener的重要影像特点,环形空洞是此病的特征。浸润、空洞及结节等多种形式常同时存在。多变性指病变部位、大小及形态处于动态变化之中。
-
肺内多发结节和肿块是肺Wegener肉芽肿最常见的影像征象,表现为两肺散在分布、多发大小不等类圆形结节或肿块影,以两肺中下野分布多见。部分结节和肿块内可见空洞,洞壁多较厚,内缘光滑或不规则,空洞呈边缘性强化。合并感染时空洞内可形成液-气平面。结节或肿块周围一般都有较短毛刺,部分病灶有长毛刺与邻近的胸膜相连,表现为胸膜凹陷征。这与病理上结节周围存在大量成纤维细胞以及以纤维化形式愈合有关。


-
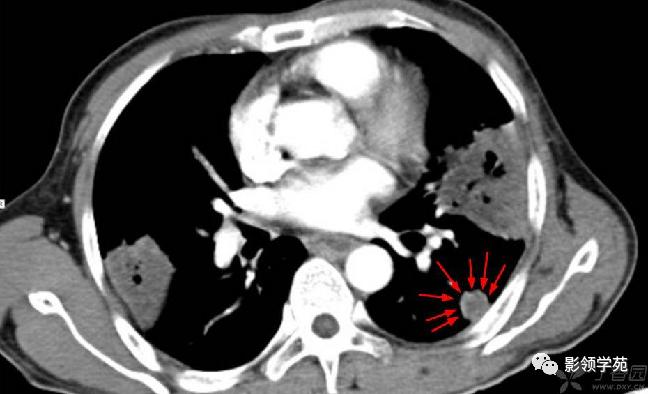
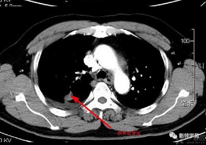
结节或肿块周围可见晕轮征、供养血管征。晕轮征提示肺结节或肿块出血,CT表现为结节或肿块周围磨玻璃密度影;供养血管征CT表现为血管影进入结节或肿块内,提示病变以血管为中心生长。


-
肺实变多由于肺泡出血所致,毛玻璃样密度影代表肺实变的早期阶段。楔形病灶是另一类较常见肺部CT 表现,肺梗死的病理基础是坏死性血管炎累及小动脉及小静脉引起的出血性肺梗死,CT表现为肺内楔形病灶,边缘清楚或不清楚,尖端指向肺门,宽基底位于胸膜面,可以看到血管进入征象及胸膜的增厚。
-
肺Wegener肉芽肿可并发支气管病变,包括支气管壁增厚、管腔狭窄、溃疡和广泛细支气管周围炎等,可并发肺不张。肺Wegener肉芽肿较少出现肺门和纵隔淋巴结肿大。还有一些其它表现,如胸腔积液,间质浸润,肺门、纵隔或锁骨下淋巴结肿大,有的病灶出现病灶钙化,钙化主要出现在治疗后肿块的边缘,相对较少见。还有的病灶出现自发性气胸等。
-
Pretorius等研究Wegener结节出现后一般不再增大,短期内大小无明显变化,或经激素和免疫*制剂抑**治疗后肺部病变可逐渐缩小、减少,大部分结节、实变可完全吸收,在逐渐缩小过程中边缘由模糊变清楚,较大结节边缘可出现针刺状突起,最后变为星芒状纤维灶;而结节性空洞的洞腔可由小变大,洞壁由厚变薄,经治疗后短期内洞腔逐渐缩小以至闭塞,最后变为星芒状纤维灶;动态影像观察还发现原结节愈合后,其他部位又可出现大小、形态、密度与原有病灶相似的新病灶,此即所谓“游走性”的特点。
肺部Wegener肉芽肿也存在多种不典型的影像学表现,较常见的有:
肺内孤立性结节、肺内单发肿块、肺内单发空洞、肺内渗出和间质性病变共存。Lohrmann等报道有25%Wegener表现为肺部孤立性结节,并认为它是Wegener演化过程的最早或最后阶段,病理上为炎性肉芽肿。肺内单发肿块占Wegener的5%,属于Wegener病变演化过程的早期阶段,病理为感染性肉芽肿。肺内单发空洞约占Wegener的7%,见于Wegener的活动期,病理上是坏死性肉芽肿。肺内渗出和间质性病变共存占Wegener的37%,是Wegener的另一较常见CT征象,实变和毛玻璃样改变常与其他征象同时存在。
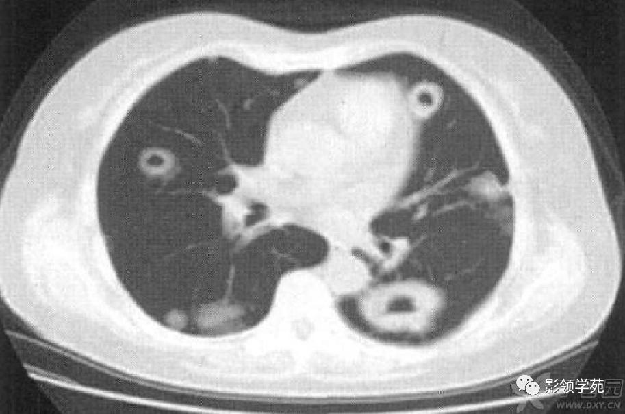
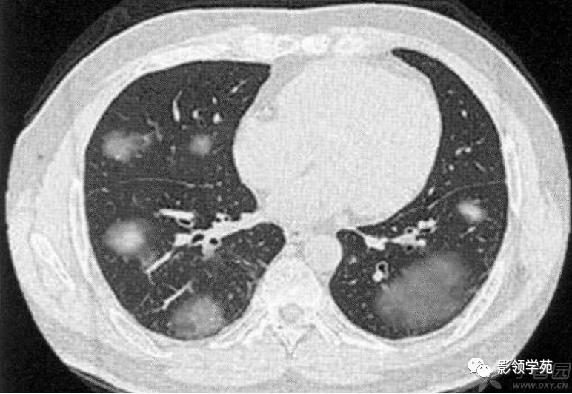
病例1:双肺多发大小不等结节,右肺中叶结节周围见晕轮征及供养血管征。

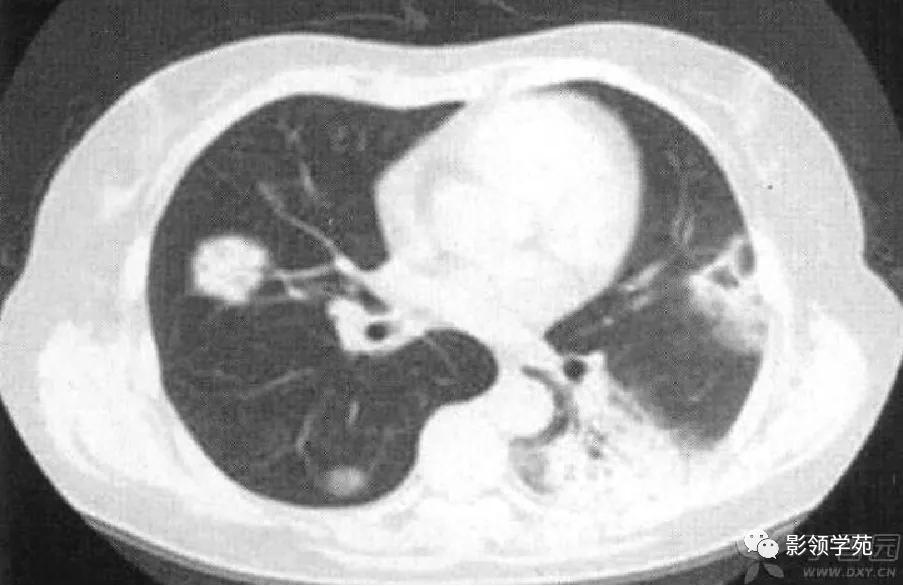
病例2:右肺下叶肿块周围见晕轮征

病例3:双肺多发结节伴空洞,部分空洞见气液平面。

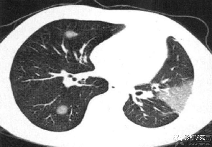
病例4:左肺斑片状实变,右肺中下叶结节灶,中叶结节见供养血管征。

病例5:左下叶肺梗死,左肺下叶楔形病灶,边缘清楚,宽基底位于胸膜面,尖端指向肺门。

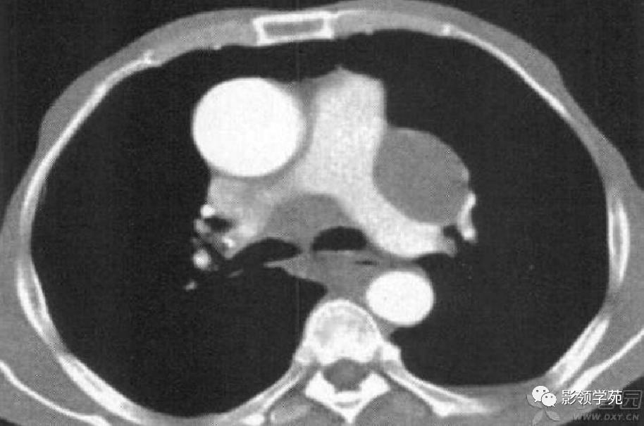
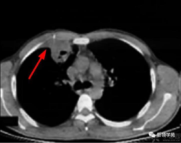
病例6:纵隔淋巴结增大。

病例7:经治疗CT随访:左肺下叶片状磨玻璃密度影,右肺下叶及左肺下叶多发结节灶。


病例8:右上肺胸膜下病灶,伴厚壁空洞,邻近胸膜楔形增厚。

病例9:右下肺结节,病灶后份可见结节状钙化,边缘光滑,周围无卫星病灶。(钙化主要出现在治疗后肿块的边缘,相对较少见)

WG鉴别诊断1——
肺结核:肺Wegener肉芽肿的浸润性病灶为斑片状、絮状和粟粒状或单发的结节空洞时,与肺结核二者之间难以鉴别诊断,但肺结核患者常同时有低热、盗汗等结核中毒的临床症状,病变具有多发、多形、多钙化,病灶吸收消散慢的特点。病变好发于两肺上叶和下叶的背段,而Wegener肉芽肿病变范围广泛,各个肺野均可出现,缺乏规律性,结核球的密度较高,内部常有钙化,可有空洞,一般较小,洞壁较厚,壁内常见斑点状钙化,结节周围多出现斑点状和条索状“卫星灶”,肺内可有浸润性病变,但极少出现楔形阴影,因此,多数情况下能与结核鉴别。
WG鉴别诊断2——
肺真菌病:
Wegener肉芽肿与霉菌性肉芽肿的CT表现极为相似,且二者均可出现“游走性”,即老结节愈合后,在肺内其他部位又出现与原结节相似的新结节,但霉菌性病变的空洞内多见霉菌球,因此空洞表现为“新月形”,且霉菌球位置变化,“新月征”的位置随之变化,且霉菌感染多发生于免疫力低下患者,据此可鉴别大部分病例。
WG鉴别诊断3——
癌性空洞:
结节空洞是病变的重要特点,约半数病例出现结节空洞,当为单发的偏心厚壁空洞时,须与癌性空洞进行鉴别,癌性空洞常见壁结节,且多见肺门和纵隔淋巴结肿大,据此两者可以鉴别。
WG鉴别诊断4——
肺转移瘤:转移瘤常有原发肿瘤病史,病灶多分布于肺野外带,边缘一般光滑锐利,结节进行性增大,很少形成空洞,如有空洞形成,空洞一般不随病程变化,极少伴发肺泡浸润性病变和楔形阴影。
WG鉴别诊断5——
肺脓肿:肺脓肿常伴有高热、脓臭痰等感染病史,且空洞内常有液气平面,血源性肺脓肿可伴有肺泡浸润性病变和楔形阴影,易出现空洞,但其结节大小短期内变化明显,且空洞内常有气液平面,空洞可在一至数日内明显增大,洞壁变薄,同时,临床上有高热、血白细胞计数升高等急性感染表现,出现空洞后,痰检多可确定致病菌,但如果临床大剂量抗生素治疗无效或同时合并鼻窦、眼的症状,就要考虑Wegener肉芽肿积极采取实验室检查,及早诊断、早期治疗可以阻止向全身发展。
WG鉴别诊断6——
结节病、变应性肉芽肿、血管炎及脓毒性肺栓塞:多发结节还要与结节病、变应性肉芽肿、血管炎及脓毒性肺栓塞鉴别。结节病临床症状轻,以两肺门纵隔淋巴结肿大为主,变应性肉芽肿和血管炎以一过性浸润性阴影为主。脓毒性肺栓塞不常见,有相关病因,如三尖瓣感染性心内膜炎、外周性脓毒性血栓静脉炎、中心静脉置管感染、Lemierre综合征、肝脓肿、肾周脓肿、牙源性感染、静脉应用**成瘾者、骨髓炎以及免疫机能受损等,两者均可表现为多发的胸膜下结节、楔形影及滋养血管征,但脓毒性肺栓塞的肺结节缺乏毛刺征及胸膜凹陷征。
此外,肺内多发实变与弥漫性间质性病变并存病例,诊断较难,临床表现和血清C-ANCA升高有助于诊断。
误诊原因分析:
1、缺乏相关的临床经验,对本病认识不足。由于Wegener肉芽肿比较少见,加上放射科医生临床经验不足,不能将影像学表现与患者的临床症状联系起来进行综合性分析,是造成误诊的主要原因。
2、影像表现多样性。Wegener肉芽肿的胸部X线与CT表现呈现多样性,与其他许多肺部疾病有着类似或相同的影像学表现。
综上所述,肺Wegener肉芽肿临床表现多样且无特异性,且部分病例为局限性Wegener肉芽肿,因此仅靠临床资料常不能确诊。两肺多发性结节及空洞形成、多发斑片或球形实变是韦格氏肉芽肿的典型胸部CT表现,肺内孤立性结节、单发肿块或空洞、肺内多发实变与间质性病变并存是Wegener肉芽肿的少见表现,结合血清C-ANCA增高,并进行动态胸部CT观察,可明显提高本病的诊断准确性。
来源:影领学苑
【版权声明】本平台属公益学习平台,转载系出于传递更多学习信息之目的,且已标明作者和出处,如不希望被传播的老师可与我们联系删除