
冠状动脉粥样硬化性心脏病是冠状动脉血管发生动脉粥样硬化病变而引起血管腔狭窄或阻塞,造成心肌缺血、缺氧或坏死而导致的心脏病,常常被称为“冠心病”。

冠心病是当前最常见的心脏病,虽然介入治疗因其创伤小、可重复、效果好等特点,已成为应用最广泛的治疗手段。但是,复杂冠状动脉病变,如左主干病变、慢性闭塞病变、严重钙化病变等因操作复杂、风险高,仍然是冠心病介入治疗的一大难题。近期,北京大学国际医院心血管内科开展多项冠脉介入新术式,成功化解多例复杂冠脉病变难题,引领医院冠心病介入治疗水平迈上了新的台阶。
冠状动脉旋磨术处理严重钙化病变

“一动就胸闷气短,爬楼梯更是举步维艰!”
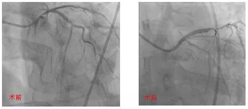
家住西二旗的张大爷这一年来过得很辛苦,他多次到各大医院进行诊治,冠脉造影发现三支血管均狭窄,其中前降支严重钙化狭窄,虽然尝试介入治疗但并未成功。张大爷考虑自己年事已高并不愿意做冠脉搭桥手术。
近日,张大爷慕名来到北京大学国际医院心血管内科就诊时,杨胜利主任医师表示冠状动脉钙化斑块有些像石头一样坚硬,传统的球囊扩张常常难以奏效,强行扩张还可能导致血管撕裂或穿孔,只有尝试旋磨术来解决这一难题。
冠脉旋磨术,是使用一个头端布满微钻石的磨头,高速旋转下反复打磨钙化病变,以期达到钙化变薄、易于扩张的目的。因为技术要求高,国内仅少数中心可开展。
在与张大爷进行详细说明后,杨胜利主任医师和陈学智副主任医师为张大爷进行了手术,在反复的旋磨、扩张后,成功地在前降支病变处植入了两枚支架,开通了冠脉血流。
血管内超声引导下处理高危分叉病变

近日,72岁的那大妈因突发胸痛被送至北京大学国际医院急诊科,经急诊绿色通道,由心血管内科曲华清主任医师、杨泉主治医师迅速为她进行了冠脉造影,结果发现左主干、前降支、回旋支分叉处严重狭窄,回旋支血栓病变。因为病变复杂,且血流已恢复,医生建议择期进行手术。
冠脉左主干前三叉病变是介入治疗的深水区,术中稍有不慎可导致主干或分支闭塞,引发灾难性后果。目前国内国际介入专家对于此类病变的处理尚有争议,没有统一方案,手术的成功与否取决于术者的经验和操作技术。
曲华清主任医师凭借丰富的冠脉介入手术经验,术中应用血管内超声检查(IVUS)明确病变位置及各分叉斑块负荷,在IVUS的指导下,采用Crush技术在左主干-前降支和回旋支各植入1枚支架,使血流恢复通畅。手术圆满成功,那大妈恢复了以往的笑容。
技艺精湛处理无保护左主干病变

来自黑龙江的李先生患有糖尿病、高血压多年,6年前因为冠心病、三支血管堵塞做了冠脉搭桥手术,但手术后未能按时服药,最近半年来再次出现活动后胸痛。外院复查冠脉CT,发现搭桥的血管闭塞,自身的血管状况较差,左主干狭窄70%,前降支及回旋支狭窄80-90%,右冠状动脉闭塞。
左主干严重狭窄,桥血管及右冠全部闭塞,这是最危险的无保护左主干病变,冠脉介入治疗是目前唯一的希望。
李先生通过朋友打听到北京大学国际医院,满怀希望地来到了心血管内科就诊。经过完善的术前准备后,银鹏飞主任医师、张文超副主任医师一起为李先生进行了手术,但手术过程比预想的更艰难,右冠状动脉闭塞时间太长,经过反复尝试仍然不能开通。为了开通维持生命的血管,银鹏飞主任医师选择了风险更高的策略:直接处理左主干病变。
通过精确定位,采用Crossover技术在左主干-前降支植入1枚支架,回旋支应用新技术-药物球囊扩张处理。手术后李先生症状明显缓解。

北京大学国际医院心血管内科拥有完善的心血管疾病诊疗体系,具有一流的医疗团队,顶级的硬件设备,立足北京,面向国内外。全体医护人员秉承“博爱、尊重、精勤、卓越”的核心价值观,志在为每一位患者提供最合理、最有效的治疗方案,在减轻患者病痛的同时挽救更多的生命。