关于新型冠状病毒肺炎的疾病名称,国内外许多学者对此有不同的看法,但是无论如何,缩写为“新冠肺炎”比较简洁、通俗易懂,其他名称有点拗口,本文暂用此简称。
新冠肺炎最初叫做“不明原因肺炎”,它的发现,并不是依靠影像学,而是提出不明原因肺炎的前辈高人。首先从临床上综合分析它是不明原因肺炎,然后一步步的追查原因,最后才知道是新冠肺炎。最后的最后,我们才知道,原来新冠肺炎在CT上是这副模样。
不明原因肺炎是个非常重要的概念,呼吸科医生必须要知道,指同时具备以下4条且不能做出明确诊断的肺炎病例:
- 发热(腋*体下**温≥38℃);
- 具有肺炎的影像学特征;
- 发病早期白细胞总数降低或正常,或淋巴细胞分类计数减少;
- 经规范抗菌药物治疗3~5天,病情无明显改善或呈进行性加重。
关于新冠肺炎影像学的文章特别多,很多小伙伴告诉我看不懂。所以应读者的要求,写一篇通俗易懂的新冠肺炎影像学入门读片知识。
1
新冠肺炎筛查大功臣——CT
胸片很难发现新冠肺炎的特点,甚至都发现不了病灶。下面这个新冠肺炎患者,CT上一小点磨玻璃,而从胸片上看容易漏诊。

图1
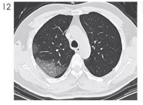
2
不典型CT的表现是怎样的?
不典型的CT,不要去研究,我们正常人甚至天才都不大可能通过不典型CT诊断新冠肺炎,那是鬼才的事情。

图2
入院时胸部CT显示右下叶内侧段少许实变阴影,毫无新冠肺炎的线索。假如患者说因为想吃泡菜,前一段时间去韩国参加了某组织,那么,立即隔离筛查,不要管胸部CT像不像新冠肺炎。假如没有流行病学史,只能动态观察病情。
3
新冠肺炎影像学的特点有哪些?
▎磨玻璃
病毒性肺炎经常出现磨玻璃阴影,普通的肺炎相对较少表现为磨玻璃阴影。发现片状、结节状磨玻璃阴影,则要警惕病毒性肺炎。

图3
▎细小的网格状阴影
细小的网格状阴影,其本质一般是小叶内间隔增厚,对诊断新冠肺炎价值很大。
间隔增厚,我觉得可以分为:小叶间隔增厚、小叶内间隔增厚。
比较大的间隔增厚,是小叶间隔增厚,如下图:

图4
比较小的间隔增厚,是小叶内间隔增厚,如下图:

图5
两者的示意图,如下图:

图6
小叶内间隔增厚的鉴别诊断,如下图:

图7
很多疾病都会引起小叶内间隔增厚,最常见的是各种间质性肺炎。间质性肺炎常有其他间质性改变,临床上大多数起病缓慢,不像新冠肺炎那么急骤,常无发热,鉴别一般不难。一般的肺炎很少有小叶内间隔增厚。所以,小叶内间隔增厚对诊断新冠肺炎价值较大。小叶内间隔增厚在CT上表现为细小的网格状阴影,甚至铺路石征。
仔细看CT,你会发现新冠肺炎的磨玻璃、斑片状阴影内常有细小的网格状阴影。
下面这个新冠肺炎患者,磨玻璃阴影内有细小的网格状阴影,图片清晰度略差,用意念看看,如果在电脑上把图像放大了看,可能就一清二楚了。

图8
再来看这个新冠肺炎患者,磨玻璃阴影内有清晰的网格状阴影,类似铺路石征。

图9
如何与肺泡蛋白沉积症鉴别?首先肺泡蛋白沉积症比较少见,另外这个病几乎不会像新冠肺炎那么很快出现发热、呼吸困难,也不会引起淋巴细胞下降等。

图10
猜猜看下面这个患者感染了哪个疾病?他是2003年的“非典”冠状病毒感染者,胸部CT显示磨玻璃阴影内非常明显的细小网格状阴影。

图11
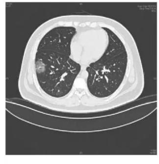
▎结节
很多疾病都会出现结节,但是此次的新冠肺炎常出现磨玻璃结节、混合磨玻璃结节、实变结节,这在普通的肺炎中并不常见。
下面这个是新冠肺炎的磨玻璃结节影。有学者说这是斑片状阴影,我看着更像结节。

图12
下面这个是新冠肺炎的多发结节影。普通的肺炎也会表现为结节,但是表现为双肺多发结节者不多见。

图13
▎晕征和反晕征
有学者看到下面这张CT说这是晕征,我没有看出来晕征,只看出头晕,我感觉我要去看眼科。

图14
下面这个才是晕征(看得见的那种),不过这个是肺曲霉病的晕征。

图15
下面这个有学者说这是反晕征,我没有看出来反晕征(正着、反着看都没有看出来),我又看出头晕了~有哪位高手可以指点?

图16
这个隐源性机化性肺炎患者的CT,才是典型的反晕征。

图17
很多疾病都会出现晕征和反晕征,但是有一点,普通的肺炎很少出现晕征和反晕征,这对鉴别新冠肺炎还是比较有价值的。
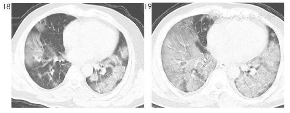
下面是新冠肺炎患者肺部晕征和反晕征的表现,如果不告诉你们能区分开吗?
第1张是新冠肺炎的晕征,普通的肺炎很少表现为这样。

图18
第2张是新冠肺炎的反晕征,普通的肺炎也很少有这样的表现。

图19
▎病灶分布
病灶主要分布在胸膜下,与胸膜几乎平行,是这次新冠肺炎最具特色的影像学表现。
片状磨玻璃阴影,以胸膜下分布为主。注意,病灶与胸膜大约平行。

图20
线条状病灶,以胸膜下分布为主。

图21
结节状病灶,也是以胸膜下分布为主。

图22
总之,不管什么病灶,都是以胸膜下分布为主。

图23
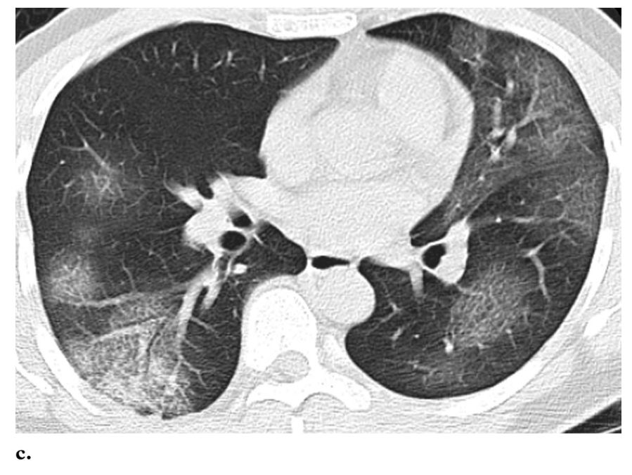
4
新冠肺炎影像表现进展
随着病情进展,病灶逐渐实变,影像学逐渐失去特异性,甚至成为“白肺”。我们正常人几乎可不能通过“白肺”看出来是新冠肺炎,普通的肺炎恶化都会形成“白肺”。
下面是影像学进展过程。
A.进展为实变。

图24
B.进展为白肺。

图25
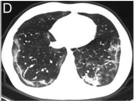
5
实战演习
胸部CT如下,先后4次咽拭子核酸检测均为阴性,要不要执着地考虑新冠肺炎?

图26
CT表现非常典型,不能轻易放弃!给予高渗盐雾化诱导排痰后,痰标本送检,结果显示新型冠状病毒核酸检测阳性,氧合指数为276 mmHg,最后确诊为新型冠状病毒肺炎重型。