病例分享 | 从无力行走到重新奔跑,针灸治疗给予猫咪力量

9月,瑞派苏州曹浪峰宠物医院收到一则来自宠主的视频。视频中,一只活泼可爱的猫咪迈着流畅的步伐迎着镜头跑了过来。它是“弟弟”,一只美短矮脚猫。
而这个生龙活虎的小家伙,在刚送来医院的时候双后腿完全无法行走,只能瘫软在地,身体的不适使它看起来精神不振,缺少活力。

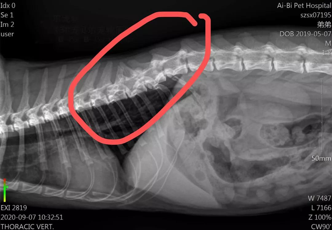
弟弟的病情十分突然,短短三天便无法走路,让人猝不及防。弟弟的主人心急如焚,在网上了解到曹浪峰宠物医院的针灸疗法,立即将弟弟转诊过来。经过X光片诊断,弟弟的腰椎先天性错位,导致双后腿急性瘫痪。


曹浪峰医生第一时间确定了治疗方案:针灸电疗结合激光镭射治疗,加以氧疗作为辅助方式,同时配合药物,对猫咪进行康复治疗。


针灸电疗
针灸是我国特有的民族医疗方法,是中医学的精华。早在20世纪50年代前,中兽医针灸就已经应用于大小不同的动物了。在小动物临床上,针灸成功应用于肌肉骨骼性疾病、神经性疾病、皮肤性疾病、心血管疾病、生殖系统疾病及镇痛。
针灸可以对穴位产生强烈连续的刺激,经过经络的传导作用产生相应的生理效应。猫咪似乎知道这位手持长针的医生是为了它的康复在治疗,扎针时,猫咪一改平时的淘气,被固定在针灸架上也没有丝毫挣扎,乖乖地配合医生诊治。


激光镭射治疗
激光治疗本身是无痛的,也是非侵入性的。激光镭射仪照到的地方仅仅会让皮肤表面有轻微发热,不会让猫咪感到不适。可以用于减少炎症反应、肿胀、肌肉痉挛、僵直和疼痛的发生。


激光镭射仪
高浓度氧疗
高氧治疗可应用于小动物的神经系统疾病、组织修复优化等内外科疾病。作为弟弟治疗方案的辅助方法之一,可以帮助提高疗效。氧疗在一台恒温恒湿高浓度氧舱里进行,弟弟乖巧又好奇地注视着四周,大家希望小家伙早日康复的心情也更加迫切了。

恒温恒湿高浓度氧舱

第一天、第二天、第三天……在曹医生与白燕医生的合力诊治下,猫咪的状态肉眼可见地好转起来。连续6天、每次持续4小时的疗程,加上不间断的药物辅助,小家伙终于从针灸架上解放了!原本瘫软无力的双后腿已经能够站直,支撑身体行走。
因为弟弟的配合,治疗过程很顺利。它一定能感受到,主人和医院的医生护士们都在为了它能够重新站立而努力。恭喜小家伙又能活蹦乱跳了!
视频加载中...
出院后,猫咪的康复治疗还在继续,每个星期来院针灸两次,进行巩固治疗。通过主人不时传来的反馈,可以看到现在的弟弟步步生风,终于可以和其他的小猫咪一起愉快地玩耍了!

瘫痪的宠物就像被折断了翅膀,曹浪峰医生帮助它们重新获得了奔跑的自由。曹院长专业从事宠物诊疗工作20多年,现任瑞派东华公司副总经理、江苏省宠物诊疗行业副会长,擅长眼科、骨科、软组织外科、神经学、影像学等。同时,曹院长也精研中兽医学,通过针灸解决的病例不胜枚举。
和曹院长丰富的诊疗经验一样,曹浪峰宠物医院也历经了23年。医院不仅吸纳了如曹医生、白医生这样的杰出医师,还在硬件上快速发展,拥有包括眼科超声乳化仪、小动物专用彩超等多种小动物专用检查设备。完备的医疗条件为小动物的康复保驾护航,此次为弟弟诊疗,便应用到了激光镭射仪、高浓度氧舱等仪器。
正是这样,曹浪峰宠物医院才有了现在每年接诊病例数上万次、解决各种疑难杂症的能力。
无论中医还是西医,瑞派在专业学科和医疗设备上的注重与精进,都是为了宠物的健康服务。随着现代兽医学发展,中兽医成为世界动物医疗新风尚。瑞派的许多宠物医生,也在中兽医学不断探索,钻研让身患病痛的小动物们减轻痛苦、更快康复的治疗方式。