今天分享的这个病例是一女性患者,30岁,姓陈。这个病名大家可能比较陌生,叫胡桃夹综合征。
正文:
自从2019年有了二胎之后,小陈发现自己的身材严重变样。主要是产后身体没有恢复过来,加上产后为了奶水充足,吃了几十只从老家拿来的土鸡,身体足足胖了一大圈。原来的瓜子脸,变成了苹果脸,肚子也挂了几个游泳圈, 衣柜里的一堆漂亮衣服,已经没有一件能扣的回来。
这是小陈不能够容忍的,她决定减肥。经朋友介绍她加入了当地的一个跑步团。
小陈跑步起来也真卖力,风雨无阻。这跑步减肥还真有效果,坚持一年下来,体重足足减掉了30多斤,身材比做姑娘时还要苗条。
但近来,她觉得身体有点不对劲,每次跑步下来,腰部总觉的隐隐作痛,疼痛主要以左侧腰部为甚。刚开始她觉得应该是运动有点过大,腰肌有点拉伤,休息了几天后,腰部疼痛症状果然消失了。可当她再次跑起来后,腰疼的症状又出现回来。运动的越激烈,症状就越明显。

她觉得她该去看看医生了。她听老人说过,如果腰部受伤不及时处理,会落下病根,以后到老了还会现出来。
她到医院挂了脊柱科的号。
医生听了她的病史,又给她做了体格检查。
医生在在她后背一顿敲敲打打下来,双眼里充满着疑惑。
按理说,如果是肌肉拉伤或筋膜炎(俗称腰肌劳损),那么相应腰肌应该是有压痛点的,但小陈整个腰背并没有明显的压痛点。
如果是腰椎间盘突出症,那么相应的腰椎及椎旁也是有压痛的,而且直腿提高及加强试验,也应该是阳性的,那么椎间盘突出症也基本可以排除了。
医生对小陈说,目前检查并没有发现明显的阳性体征,但没有阳性体征也并不意味着就没有问题,有些椎体小关节的小错位,通过体格检查也未必显示出来,腰椎及腰肌的问题应该不大,我开点外用药回去擦几天,再注意休息一下,应该就没事了。
问题不大就好。小陈最爱听的就是这句从医生嘴里蹦出来的话。当然,事后也证实,作为骨科医生,他的判断一点也没毛病。
可能外用药还是有点作用(起码小陈是这么想的),擦了几天药,又休息了几天,小陈的腰,一点事都没有了。
都说好了伤疤忘了痛。几天没有得运动,小陈感觉周身不自在。这几天她那些“跑友”正在组织一次远足登山活动,她就报名参加了。
这次登山运动,是当地一个国家森林公园,从进山、登山,来回差不多也有几十公里。好多天不运动,这次登山活动小陈也是过足了运动瘾。
可当晚回来,小陈的左侧腰部又隐隐作痛了。
医生说没什么大问题的,休息两天就好了,小陈心里想。
可她还发现了一个异样的现象,就是尿尿时,发现了尿的颜色不对头-—有点淡粉红色。
不对呀!在她印象里,尿都是白色的,偶尔有时喝水少了,尿也是黄色的样子呀!粉红色的尿,还是头一回看见。
她想到万能的头条,何不上去搜搜看!
乖乖,不看还好,一看吓一跳。上面写着,粉红色的尿可能是血尿, 就是尿里面含有血的成份,白色的尿液才变成我们所看见的粉红色,原因可能是输尿管结石、慢性肾炎、甚至是癌症。。。
小张吓得都不敢往下看了。
网上的东西,是不能全信的。小张自我安慰道,还是到正规医院去看看吧。
说走就走,小陈己等不到明天,拿好就诊卡,当晚就动身前往医院。
医院里晚上还能看病的,就只有急诊科了。
小陈直接来到急诊科,在急诊科里看见来就诊的大都是车(病床推车)进车出的病人,要不就是头痛、肚子痛之类的急病。 在看病的人流里,除了病人的家属,可能算她病情是最轻的了,但她也急——心急。
好不容易轮到她看病。医生问她除了解粉红色的尿,还有什么其它不舒服的地方吗?
小陈说,现在没有什么不舒服的地方。小陈说这句话时是对的,刚下山那会儿,腰是有点胀疼,但回家休息了一阵之后腰痛症状也已经消失了。她不觉得这腰痛跟解粉红色的尿有什么关系,所以也没有跟急诊科医生提到这个症状。
嗯!粉红色的尿,有可能是血尿,既然现在没有什么症状,那就先验一个尿常规,看是不是真的尿里面有血。

尿常规检查很简单,到检验科里拿一个装尿的塑料杯,然后去厕所拉半杯尿进去,再拿回给检验科就可以了。
但是也奇怪,小陈这一回拉出的尿,看着又不是粉红色的了,又有点接近白色了。检验结果半个小时就出来了,小陈不懂得看结果,直接拿回给急诊科给医生看。
尿常规里潜血是一个(+),提示尿里面真含有红细胞成分,是真的血尿。
尿里面含有血液成分,也就是我们说的血尿,引起血尿的原因可多了,可能需要进一步检查,医生说道。
小陈突然记起来,她正来着例假,是不是这个原因造成的血尿?她把这个情况告诉医生,她还告诉医生,刚才检查时,排出的尿液已经变成白色了。
排尿时,尿液里混进例假的血液成分而造成尿常规的潜血是阳性。有这个可能性,而且可能性非常大。既然现在也没有什么不舒服。那就等例假干净后5天再来院做一个尿常规复查吧!
医生说完,就把她打发走了,急诊科的医生都很忙的,她后面还排着一大帮伤筋断骨,头痛、肚子痛等真正急诊的病人等着看病呢!
不过临走前,医生还是提示她,下次来可以去泌尿内科看,她这个病应该归那里管。
虽然在医院里转了一晚上,小陈心里却如释重负,或许只是一场虚惊。
例假干净后第5天,小陈如约来到医院复查。当然,这回挂的号是泌尿内科。
医生听完她的大概陈述,那就查吧!前任医生都想好了的问题,他就不用再费脑了,眼前的姑娘,生龙活虎的。也不像有病的样子。
结果很快就回来了。内科医生一看,眉头有点皱。
不对呀!尿常规里那个潜血还是一个(+)。
医生再次向小陈确认,例假彻底干净了吗?有没有淋漓不尽?或还有没有一些尾声?
小陈向医生确定例假已经彻底干净了,没有一丝的淋漓不尽。她的心里也揪了起来:真的存在问题。
那就得考量考量了,看来想偷懒一次都不行。
尿里有血,那必定是先考虑泌尿系统的问题了。不可能考虑到消化系统、血液系统或神经系统去了,那思维也跳的太远了。
泌尿系统的结构其实很简单。就一个产生尿液的肾,还有一个收集尿液的膀胱,中间还有一条管子上下连接着肾脏与膀胱,叫输尿管。

血尿无非就是肾、输尿管、膀胱其中的一个环节出毛病了。
还得再捋一捋。
登山回来后,腰痛的很厉害吗?痛有多久?疼痛有没有放射到下腹部?有没有尿频,尿急的症状?医生问小陈。
医生显然是在考虑有没有输尿管结石。运动后出现腰痛,血尿,是个医生,都会想到这个问题。运动后,肾里的结石滑落到输尿管里,石头刮伤输尿管内膜,会引起腰痛及血尿,这是临床上最常见的了,也是目前最大的嫌疑。
腰痛不是很厉害,就是有点隐隐的胀痛,疼痛时间不长,休息了一下就好了。下腹部没有疼痛,也没有尿急尿频的症状。小陈一一作答。
按理说输尿管结石引起的疼痛又叫肾绞痛,疼痛是很激烈的,但和小陈的陈述,有点对不上号。但这并不影响医生的判断,因为临床上很多患者的症状并不是那么典型。
近段时间还有没有咽痛,发烧等症状?有没有晨起眼睛水肿、多尿或少尿及全身乏力的的现象。
医生这是在考虑有没有肾炎这个问题,血尿也是肾炎的主要表现,这个不能不考虑。
全身乏力,肯定没有。要不然还能远足、登山?其他症状小陈也一一否认。
肾炎的问题也不能排除,现实中患者的症状哪有像教科书里说的那么标准。
还有一个可能,那就是膀胱肿瘤,膀胱肿瘤早期症状也是无痛性血尿。医生怕小陈太紧张而没有跟她说这个问题。还有膀胱炎也是可以引起血尿的。
那就检查吧。医生开了一个泌尿系统的彩超,还有肾功能和血常规检查。
泌尿系统的彩超需要尿急,才能看的清楚膀胱及下段输尿管,你现在多喝点水,等尿急了再检查。医生嘱咐小陈。
小陈一一照办。
检查结果很快反馈回来。医生看着结果,眉头又皱了。
都在医生的意料之外啊!
彩超提示,双肾、膀胱好好的。输尿管也没有扩张,结石,肿瘤什么的都没有。
肾功能也是正常的。关键的肌酐,尿素氮没有升高,尿蛋白也是阴性的。那么肾炎、肾病综合征什么的,暂时可以排除了。
血常规也是正常的。血红蛋白,红细胞没有下降,白细胞没有上升。说明没有贫血,没有炎症。
找不到病因,就不能对症下药,医生有点头疼。
医生告诉小陈,目前的检查,没有发现什么问题。就目前来看,有可能是激烈运动后红细胞一过性渗出,有可能是膀胱炎造成红细胞渗出。临床上也经常碰到这种症状跟体征都不典型的膀胱炎。所以建议小陈先观察一段时间或吃几天消炎药,看看效果如何。
这个也可能,那个也可能,小陈有点失望,难道都不能够确定下来吗?
医生说没办法,要是还持续血尿,可能需要做一个膀胱镜,看看膀胱内有没有实质性病变。必要时,还需要做一个肾穿刺,看看是不是肾小球的病变。
在了解了膀胱镜及肾穿刺的操作手法后,小陈马上一票否决。还是先观察一段时间先吧。
就这样,小陈每半个月就来做一次尿常规,几个月下来,潜血有时是(十),有时又是弱阳性(士),有时还是阴性的(一),期间还尝试吃过一个星期的抗生素。但结果还是那样子。
虽然说身体上没有什么感觉,也不影响到工作,生活,但老是这样子,找不到原因,小陈还是感到焦虑不安。
这期间,给小陈看病的医生,在一次院内大会诊中,跟坐在身旁的泌尿外科主任聊起这个病例的情况,说是打算收她进泌尿外科做个膀胱镜检查。外科主任提示有没有考虑到胡桃夹综合征可能,前段时间,他就接诊到一个40岁的胡桃夹综合征的患者,这名患者是因为减肥而出现此症状的。
医生一拍大腿,这个患者也是减肥而出现的症状呀!当时这个诊断也有在大脑一闪而过,但胡桃夹综合征发病年龄多为青少年,成年人比较少见。所以这个病,就给过滤掉了。
事不余迟, 散会后,他马上打电话给小陈来医院做一个检查。
这个检查只需做一个彩超,就可以了。
小陈如约而至。
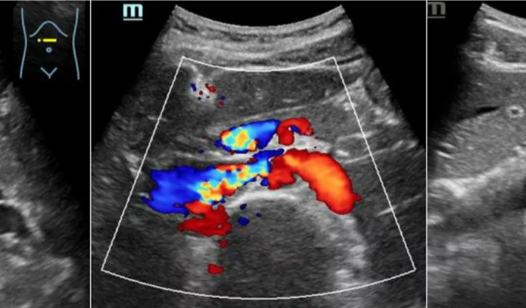
彩超检查提示:胡桃夹综合征。
真相大白于天下。
那么什么是胡桃夹综合征呢?这名字是不是很拗口,先看这个图。

吃过胡桃的人都知道,要想吃到胡桃肉,就要用一个胡桃夹把胡桃夹破。你没看错,当初取这个病名的灵感就是来源于这样一个图。其实,夹子的两个把手、胡桃分别代表着三条血管。
再看下面这张图:

人体腹主动脉就像一根树枝一样,在腹部分出一条分支,叫肠系膜上动脉,这样子,腹主动脉与肠系膜上动脉就形成了一个夹角,而左肾静脉刚好从这个夹角通过。腹主动脉和肠系膜上动脉就像胡桃夹的两个手把一样,左肾静脉就有如那个胡桃。
正常人这个夹角在40度~60度间,夹角里除了左肾静脉,期间还充以肠系膜、脂肪、淋巴结及腹膜等支撑着,所以走行于此期间的左肾静脉不至于受压。
当这个角度小15度时,穿过这个夹角的左肾静脉就有受压的可能了,从而导至左肾静脉回流受阻,静脉压增高,静脉中的红细胞渗出增多,而出现镜下血尿或肉眼血尿, 同时由于左肾静脉瘀积充血,造成右腰胀痛感觉。

胡桃夹的超声影像图
这个病经常见于13~16岁的青少年,主要是由于青春期生长迅速,椎体过度伸展,体形发生急剧变化,而导致夹角变窄。
听完医生的介绍,小陈似懂非懂。但有一点她是听懂了,就是左边肾的静脉被压了,才造成她腰痛、血尿的情况。
那以前都没有被压,怎么现在突然被压了呢?小陈不明白的问医生。
这就是问题的关键所在。医生答,你不是减肥减了三十多斤吗?要知道,脂肪作为这个夹角的重要支撑物,你现在突然把它搬走了,那条动脉分支肯定就会塌下来,而造成夹角变窄,左肾静脉受压。
那怎么治疗,用不用手术呀?小陈开始有点后悔,她减肥竟减出这么个奇怪的病出来。
如果症状比较轻,没有严重的损害,则无需特殊处理。只有持续出现严重的血尿、蛋白尿、贫血等症状,才考虑手术治疗。
那我就可以不用管它了吗?但是如果一直有血尿,那也不是事啊。小陈继续问。
不是不管,夹角里的那个脂肪垫怎么拿走的,你就怎么放回去就行了。医生答。
就是不要太瘦,增加点脂肪,Ok,明白了。#健康明星计划##谣零零计划#
(完)
科普小课堂
1、腰痛常见于什么疾病
1)腰肌劳损 常见于年轻人,主要原因是久坐、久蹲、久站或长期的躯体姿势不正确造成。
2)椎间盘突出 由于神经根受压,除了腰痛的症状,相应的臀部、腿部还经常有放射痛。
3)腰椎滑脱、骨质疏松症 常见于老年人,疼痛的特点是改变体位时,会引发强烈的腰痛。
4)输尿管结石、胡桃夹综合征也可以引起腰痛。
2、肾、输尿管结石有什么症状体征?
很多人觉得腰痛是由肾结石引起的,其实肾结石一般是没有任何症状的,很多都是在检查中无意发现有肾结石的。只有肾里的结石,滑落到输尿管里,并在输尿管里移动下行,才会造成激烈的疼痛,又叫肾绞痛。
3、无痛性血尿常见于什么病?
血尿分为镜下血尿和肉眼血尿。镜下血尿出血量比较少,眼睛看不见。肉眼血尿出血量比较多,眼睛能看得见,一般是洗肉水样颜色。
出现无痛性血尿,一定要引起重视,首先要重点排除泌尿系恶性肿瘤的可能性,尤其是膀胱肿瘤。各种肾炎、肾血管畸形、前列腺炎、膀胱炎、胡桃夹综合征等也可以引起无痛性血尿。
讲医院故事,传播医学知识,您的阅读,是我前进的动力,如果我讲的故事对您有帮助,请不吝点个赞、转发、关注