卵巢、输卵管疾病常使用超声作为筛查及影像学检查的主要手段。部分复杂的病灶,超声难以判断其来源及病变性质时,常使用磁共振作为进一步检查的方式。今天,我们带大家一起回顾一个病例,看看磁共振在女性盆腔中的临床应用。
患者,女,30岁,因“超声发现双侧卵巢囊性病变,建议进一步检查明确病灶性质。”就诊,后行磁共振检查。
![[飞利浦磁共振技术]磁共振扫描下的“女性输卵管成像”,看视频吧](https://cdn.hadbssjbava.workers.dev/origin/pgc-image/d75d713e040a436095f0f2675e5693be.jpg)
图1.T2WI_SPAIR_TRA
![[飞利浦磁共振技术]磁共振扫描下的“女性输卵管成像”,看视频吧](https://cdn.mendezhlauren156.workers.dev/origin/pgc-image/be090e2ece324d17aba22fd170113823.jpg)
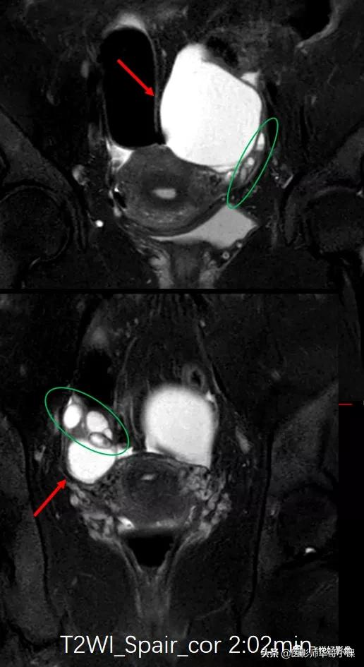
图2.T2WI_SPAIR_COR
T2W_SPAIR横断位及冠状位图像(图1&图2)可以看到,盆腔双侧附件区见两个类圆形占位性病变,T2WI压脂高信号,边界清晰,边缘光滑,其内信号均匀,未见明确实性信号,病变与卵巢关系密切。
![[飞利浦磁共振技术]磁共振扫描下的“女性输卵管成像”,看视频吧](https://cdn.hafbsskggab.workers.dev/origin/pgc-image/968578cc2e6e44dbb89998f3679ac9b7.jpg)
图3.DWI&ADC
双侧附件区囊性病变DWI(图3)图示随着b值的增加,病变信号明显减低,ADC图病灶未见明显低信号,考虑囊性良性病变。
![[飞利浦磁共振技术]磁共振扫描下的“女性输卵管成像”,看视频吧](https://cdn.hadbssjbava.workers.dev/origin/pgc-image/57351f99297447c8b5ebce0df5987cfa.jpg)
图4.e-THRIVE
T1WI平扫+增强(图4)示:双侧附件病变T1WI呈低信号,增强扫描双侧病灶均无明显强化。
![[飞利浦磁共振技术]磁共振扫描下的“女性输卵管成像”,看视频吧](https://cdn.hadbssjbava.workers.dev/origin/pgc-image/036eb028513c401caa80d17d32a2cccc.jpg)
图5.“输卵管”成像
视频1.3D“输卵管”成像
视频加载中...
采用3D GraSE序列(图5及视频1),采集体素为 1x1.1X1.2mm。左侧囊性病变迂曲呈“C”型,考虑来源于输卵管而非卵巢;右侧囊性病变来源于卵巢、周围卵泡清晰显示。
视频2. 3D VISTA
视频加载中...
3D VISTA (视频2),采集体素1x1.1X2mm,gap-1mm。3D序列,扫描层厚薄,可获得更高的空间分辨率,能得到更多的病变信息。
![[飞利浦磁共振技术]磁共振扫描下的“女性输卵管成像”,看视频吧](https://cdn.gaylordvicky.workers.dev/origin/pgc-image/81446487303244fa87ee1faee6ed45c7.jpg)
图6.卵巢、输卵管解剖
育龄期妇女双侧输卵管长约8-15cm,直径约1-4mm,起自双侧子宫角,横向延伸至同侧卵巢,分为间质部、峡部、壶腹部和伞部。间质部、峡部短而窄,壶腹部相对宽大,伞部呈漏斗状,开口于腹腔。
![[飞利浦磁共振技术]磁共振扫描下的“女性输卵管成像”,看视频吧](https://cdn.hadhvssabah.workers.dev/origin/pgc-image/bf0404f898ba4d69bc6c7f4173917a6e.jpg)
图7.MR输卵管解剖图
使用VISTA序列,可多平面重建出输卵管完整形态,使图像完整性更高,更有利于病变的观察。
VISTA显示左侧输卵管扩张全景情况,找到输卵管梗阻部位,除外了外压性病变及子宫、卵巢病变;精准定位输卵管病变及病因的诊断。
![[飞利浦磁共振技术]磁共振扫描下的“女性输卵管成像”,看视频吧](https://cdn.havbaahvaz.workers.dev/origin/pgc-image/1c89abcf5021493daedb8728551bdd2e.jpg)
图8.VISTA参数
![[飞利浦磁共振技术]磁共振扫描下的“女性输卵管成像”,看视频吧](https://cdn.hamiltonhmartha157.workers.dev/origin/pgc-image/69a0d1b5812f47448f589b4f0381a7cc.jpg)
图9.VISTA参数
3D序列因其采集层厚薄,扫描时间相对较长。我们可以通过多种方式进行扫描提速(图9黄框)。
- 使用并行采集技术(SENSE)进行提速,3D序列中SENSE可以使用在层面方向及层间方向,两个方向的加速可使序列速度进一步提升(2D序列SENSE只能用于一个方向)。
- 使用压缩感知技术( Compressed SENSE,CS SENSE)可进一步提高3D扫描的速度。
- Half scan技术同样能减少扫描时间。我们在临床工作中,可合理选择使用加速技术,尽可能达到图像质量及扫描时间的平衡。
2D_TSE回波链长度不能太长,否则T2衰减会对图像带来明显的模糊效应,这样“天然的缺陷”导致2D_TSE采集时间及采集的数据量受到限制,无法薄层扫描。3D VISTA(Volume Isotropic Turbo spin echo Acquisition)采用3D 快速自旋回波采集 ,用较长的回波链及较短的回波间隙(图9红框及绿框显示VISTA使用超长回波链及超短回波间隙)来突破2D的限制,获得更薄、更大的数据量、同时明显减少扫描时间。
本期和大家分享了一个女性盆腔的病例,在常规扫描序列无法确诊病灶来源时,我们可以通过现有技术,并加以灵活应用,便可丰富影像诊断信息,给临床带来更多的帮助。
转自: MR Education