俗语说得好“牵一发而动全身”
牙齿对身体来说也是这样
由于外伤、蛀牙、衰老等原因
造成掉牙的人不在少数
但如果不是“磕掉大门牙”
这样明显影响美观的牙齿缺失
很多人可能不会特别在意

事实上
长时间缺牙,即便只是一颗,
也会对整个口腔颌面系统造成不良影响。
若没有及时进行修复,
最终都有可能对身体健康造成不可以预估的伤害。
缺牙不补带来的危害
01
邻牙倾斜丨余牙脱落
牙列中一颗牙齿缺失后,牙槽骨就会出现不同程度的萎缩,旁边的牙齿由于失去了依靠和约束,也会开始倾斜。
如果长时间没有修复,相邻的健康好牙会失去支撑,向缺牙空隙倾斜、移位、松动,最后相邻牙齿也会“下岗”。

一颗牙没了,另外三颗也不好啦...
02
影响美观丨说话漏风
如果一而再、再而三的掉牙得不到重视和修复,问题就会越变越多。
如果前牙缺失,说话和微笑时会影响美观。
当个别牙缺失时,对发音影响不大,但当牙齿缺失较多时,特别是前牙缺失或全部牙齿缺失时,可能会有不同程度的发音障碍,说话既费力又不清楚。
若缺失牙齿较多,面颊部可能因失去支持而向内凹陷,面部皱褶多,鼻唇沟加深,口角下陷,呈现明显的老态。

03
对牙疯长 丨 导致塞牙
与所缺牙齿相对的牙齿,可能因为没有垂直向的压力而过度生长,造成咬合紊乱,不仅不利于日后牙齿的修复,而且会增加食物嵌塞。
长此以往,局部牙周组织会遭到破坏,并引发炎症,进而发展为牙周炎,表现为牙龈萎缩、脓肿、常有口臭。
总塞牙还会加重牙齿局部的龋坏,使食物更容易嵌塞,形成恶性循环。

保持正常频率的咀嚼有利于保持大脑活力,老年人缺牙后如果不能及时镶上,可能会加速大脑功能的退化。
所以,一旦有牙掉了,应尽快修复缺牙,不宜耽搁。
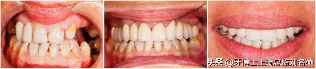
缺牙修复
修复缺失牙主要有3种方法,
可以根据其优缺点选择最适合自己的。
1、烤瓷牙

烤瓷牙修复主要是通过磨掉两边邻牙的一层牙质,包上牙套并连带中间假牙,三颗连接一起,形成类似“桥”的形状,所以又称为固定桥修复。
优点:烤瓷牙修复后的牙齿坚固,咀嚼功能较好,患者不会有不适感。
缺点:这种治疗是以损害健康牙代价为基础,是不可逆的破坏性修复。如果修复时磨除设计不当,会带来各类并发症。
2、活动假牙

活动假牙是以自然剩余牙作支持,通过卡环将义齿固定在牙上,再利用基托使义齿能够实施咀嚼功能。
优点:活动牙修复少磨队牙质,价格便宜,且能自行摘戴,比较适合老年人群。
缺点:活动义齿使用寿命较短,有明显不适感,使用起来也不方便,每天必须清洗。
3、种植牙

种植牙又称人工种植牙,是以医学手段,经过精密设计,将钛金属制造成类似牙根的形状,以外科手术方式植入缺牙区的牙槽骨内。在1-3月后,等到种植牙与牙槽骨密合,再在人工种植牙上制作烤瓷牙冠。
优点:种植牙修复能深植牙骨内,无须磨除两边邻牙牙质,不管咀嚼功能还是外形美观上,与自然牙几乎一样,因此被称为“人类的第三副牙齿”。
缺点:目前种植牙的价格偏贵,治疗时间较长,需要3-4月才能完成整个治疗疗程。

牙齿缺失不但会影响我们的外表美观和日常饮食,还会进一步威胁我们身体的健康。尤其对于一些没有口腔保健意识,日常口腔卫生维护也不当的中老年人来说要尤其注意。
如果你周围的亲朋好友有牙齿缺失的情况,一定要他们尽早修复缺牙,越早修复,越早受益。