慢支肺气肿多年,肺功能提示重度混合型通气功能障碍,
现患右上肺鳞癌,能手术吗?敢手术吗?
(病例资料2019年)我们知道,当胸外科医生,对于肺手术来说,判定肺功能储备情况,判断能否耐受手术,是术前评估的重要内容。当然肺功能非常好,或者非常差都相对比较容易确定能手术,或者不能耐受手术。而临床上经常会碰到的却是既非A,也非B,而是存在模棱两可的状态,这时候患者及家属的态度,对医生的信任程度以及医生的个体或团体的经验和医生是否敢勇于担当便占据非常重要的地位,决定了患者手术根治还是保守姑息治疗。昨天,我们又碰到一例这样的病例,其采取治疗措施的决策过程非常值得广大患者借鉴:
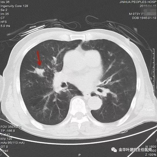
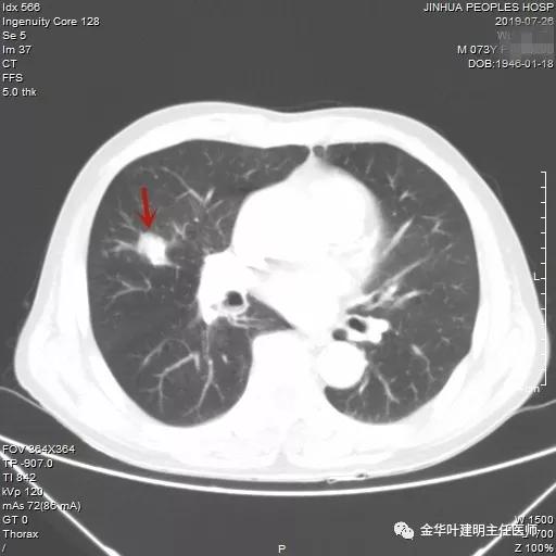
武义的吴某,今年已经73岁了,患有慢性支气管炎与肺气肿多年,每到天气转凉就要胸闷、气急及咳嗽、咳痰发作,严重时还有喘憋症状,每年都要住院1-2次。今年4月份的时候吴某又因慢支急性发作来我院呼吸内科住院。常规检查时发现右肺上叶有一实性结节,约1.5厘米大小,有毛刺及浅分叶,考虑肺癌可能性大,医生建议其行肺穿刺活检。当时图片如下:



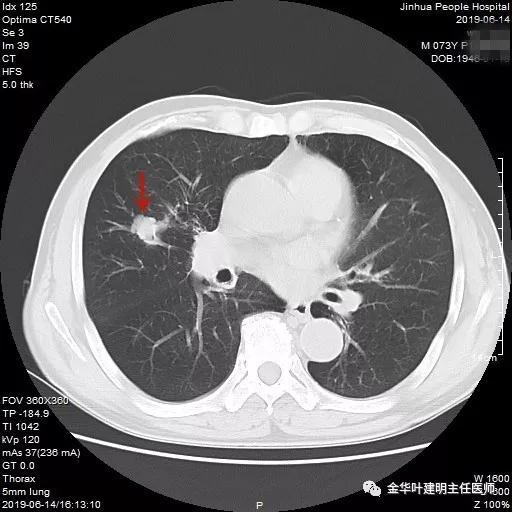
吴某不同意肺穿刺,咳嗽咳痰好转后就出院了。此后于今年6月份回院复查,仍然住在内科,这次想通了,同意肺穿刺,结果病理果然是肺癌,是低分化鳞癌。因为吴某与本院一院级领导是同村的,便让我去会诊。我觉得虽然从病灶来看可以手术,纵隔内也无明显转移的肿大淋巴结,相关检查也无远处转移证据。但患者年纪较大,平时有慢支与肺气肿,发作时还有喘憋症状,肺功能也示重度混合型通气功能障碍,MVV重度下降。询问吴某,平时一口气走上3楼是有困难的,所以行右肺上叶切除术后出现呼吸功能不全的概率还是比较高的,手术存在较大风险。争取手术也是为争取根治以至得到较长期生存的机会。若同意手术,也要家属与患者都十分理解,并对术后需要呼吸机辅助以及无法脱离呼吸机支持都有充分的思想准备。而若放弃手术,则主要是免疫治疗及放化疗,其中放化疗对肺功能也有一定影响,且无法达到根治的目的。我当时告诉吴某儿子,要开,做好术后出现呼吸功能衰竭的准备,且不能责怪我的同事和我本人;若暂不手术,也可回当地考虑保守治疗;当然也可先戒烟、锻炼肺功能、使用支气管扩张剂等改善肺功能,较短时间内再回院复查肺功能,再争取手术。吴某当时办理了出院手续,也没有与我们确认是否考虑手术。下面是当时6月份时候的片子以及肺穿刺情况:




绿色箭头示穿刺针,红色箭头示肿瘤
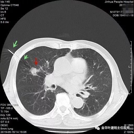
近日,同事再联系了我,说他同村的吴某已经决定来院接受手术治疗。所以就再次收住入院,予以复查了胸部CT增强,结果如下:




病灶较前有进展,更加膨隆了,直径也有所增加,好在仍未见明显纵隔淋巴结转移(特别肿大的淋巴结,但没有查PET评估)。其肺功能评估情况如下:

肺功能情况对于手术来说,结合指南共识来看,虽然部分检查本院没有开展,但总体来说还是比较勉强(点击链接:理论学习(2019.5.18):肺切除术前肺功能评估)。我们仔细与吴某家属进行了相应风险的交行与谈话,并形成书面材料签字为凭,对术后呼吸功能不全要表示充分的理解。为了方便手术操作,减少手术时间,我们医疗组经过讨论后,决定采用常规三孔法行胸腔镜下右肺上叶切除术及淋巴结清扫术。以下为术前特别谈话内容:

轮到我们手术时已经近下午5点了,虽然吴某患慢支肺气肿多年,手术操作难度比一般病人大些,但我们还是顺利的在胸腔镜下完成了手术。取出标本后见肿瘤约2.5厘米大小,切面灰白。术后顺利拔管,安返病房。我们也一直等到吴某送回病房,再次确认血压皮氧正常,患者没有明显胸闷气闭,无紫绀才放心下班回家,到家时已经近晚上9点,就着冷菜,喝点小酒,自己为自己庆祝一下,准确的术前判断,完美的手术过程,病人顺利不就是最大的慰藉吗?
次日早上一到医院第一件事就是到吴某床边看看呼吸情况好不好?胸管引流量多不多?精神状态怎么样?结果非常不错,讲话中气足,精神饱满,也无明显胸闷气闭,胸管引流量也不多!
回顾吴某的临床决策过程,其实 真的真的患方对医生的信任是最最重要的! 如果抱有迟疑的态度,势必让医生畏首畏脚,前怕狼后怕虎,不敢采取有风险的操作及治疗。回到吴某本身,如果态度不坚决,对我们不信任,我们怎么也不敢为其手术,那么退而采取保守治疗措施,长期预后来讲,因为病灶始终还在里面,总是没有根治的机会,受损失,失去治愈机会还是患者。因为医生多开一个手术与少开一个手术并不影响什么,而对患者却是治愈与否的全部。当然,我们之所以有一定信心为吴某手术,也是基于以前的经验(点击链接:在这里,“百分之一的希望尽百分之百的努力”不是一句口号!)
请广大患者朋友牢记: 医患共同的敌人是疾病,你给我十分信任,我回你十二分努力!