
13岁少女2个月来
周期性下腹痛
少许尿痛
无阴道出血
无其他不适
一查竟发现是阴道闭锁
再拖延可能出现严重感染
甚至影响子宫及输卵管正常功能!
日前,佛山市中医院妇科接诊了一名13岁先天性阴道闭锁患者,在面对众多不可预测事件出现的情况下,通过制定周密的方案,成功为患者完成了手术,改写豆蔻少女的命运。
周期性下腹痛持续慕名求医
患者小欣(化名)生活在单亲再建家庭,自幼跟随生母与继父生活,缺乏家人的亲密关怀与照顾,家人及患儿均对月经保健常识较缺乏。今年2月初,她在无诱因出现下腹痛,无阴道出血、发热、恶心呕吐、腹泻等不适,自行口服止痛药后症状缓解,也没进行系统检查治疗。
3月1日,小欣再次出现腹痛,伴少许尿痛,无阴道出血,无伴其他不适,在当地医院进行B超检查显示:盆腔巨大包块及右肾集合系统轻微分离,右下腹阑尾、左肾、膀胱、双侧输尿管均未见异常。诊断不清,腹痛持续无缓解。
在持续下腹疼痛并加重4天后,3月4日小欣在家长的陪同下,到我院妇科求医,并在进行新冠肺炎筛查后入院。妇科主任游哲辉主任医师经过详细询问病史、体查,初步判断是罕见的先天性阴道闭锁,也就是俗称的“石女”。随后,经过妇科彩超检查显示,患儿盆腔内有良性囊性肿块,考虑阴道闭锁致宫腔囊样扩张积血可能,证实了最初的判断。
这位患者显然子宫及阴道上段发育尚正常,因幼时无月经来潮,疾病被掩盖,而2月初出现首现下腹痛时,算是月经初潮,当时因症状不严重,没有及时就医。
而到三月份月经第二次来潮,患者的梗阻症状明显加重,且现在患者阴道及宫腔均有大量积血,胀大的子宫甚至可以在平脐水平及能轻易扪及(一般女性怀孕至20周左右宫底平脐)。
可以想象,如果疾病再拖延下去,积聚的血液将更多,甚至有出现严重感染影响子宫正常功能的可能。

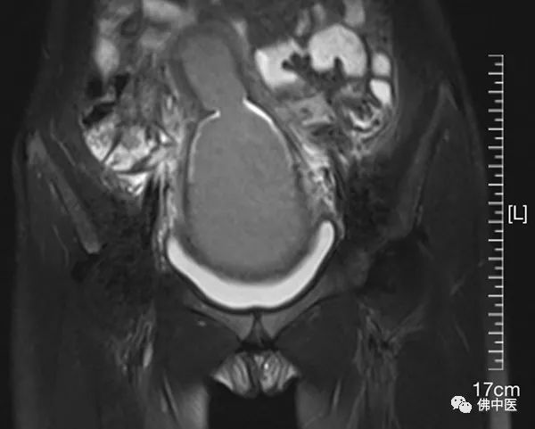
我院MRI检查显示为先天性阴道闭锁

我院MRI检查显示积血形成肿块
于是,游哲辉当机立断,为患者进一步完善新冠肺炎相关排查后,即与患者父母耐心沟通,说明治疗的及时性及必要性,征得家属同意,并作术前评估及准备。
制定周密方案实施高难度手术
术前MRI提示,患儿双侧附件区卵巢形态及信号未见异常,子宫及阴道体积增大,子宫腔及阴道内积血,结合病史,符合先天性阴道闭锁。由于女性生殖器官发育异常多合并宫颈闭锁、泌尿系统发育异常,手术部位解剖结构术前难以完全明确,从而为手术增加了不少难度。因此,术前游哲辉与罗健主治中医师、韦燕医生等在科内做了详细的讨论交流,并制定手术方案和设计术后模具。
3月7日,游哲辉带领庞卓超副主任中医师和罗健为这位患儿施行了阴道成形术。术中发现患儿属于高位阴道闭锁,闭锁长度达4cm。医护人员在患儿原来闭锁的阴道处,一边探查,一边切开和分离粘连,直到与积血的阴道上段相通。解除闭锁后,医护人员从患者阴道内引流出大量的陈旧积血,术后患儿的子宫迅速恢复到正常大小。术后第二天,患者已经没有腹痛症状,查房时脸上挂着纯真的微笑。
日前,患儿已顺利出院,术后还将需要长期在人工阴道内放置模具,需要谨慎长期管理,如果处理得好,则正常的子宫、输卵管的功能将不受影响,生育能力得到最大程度的保护,婚后*生活性**质量也有望得到恢复。
提醒
越早期治疗效果越好
游哲辉介绍,女性先天性生殖道畸形(Female genital tract congenital malformations)是指在妊娠第6周至第18周期间,在多种内外源性因素的影响下,原始性腺的发育偏离正常解剖的一类疾病,其发生率在5.5-6.7%。
对于严重的先天性子宫畸形,治疗时机的选择非常重要。此类患者由于已存在明显周期性下腹痛,阴道、宫腔积血严重,如不及时解除梗阻,一侧腹痛症状会随着月经次数增多而加重,二侧积血容易继发感染,一旦宫腔内感染,可能会对子宫的组织结构产生破坏,从而对未来的生育功能造成不可逆的伤害。“阴道闭锁属于梗阻性的子宫畸形类型,往往并发子宫内膜异位症,病史越长,症状越严重,手术效果越差。”

游哲辉也指出,患者有这类先天缺陷,存在心理障碍,早期手术一方面不影响学业,另一方面也有助其性心理的发展。
她说,先天性阴道闭锁一般年幼时因为尚未月经来潮而没有症状,多为青春期没有月经来潮,或突发每月周期性下腹痛,或婚后*交性**困难,若发现类似症状,应及早就医,避免错过最佳治疗时机。
作者:庞卓超
佛山市中医院全媒体团队出品
部分图片来源网络,如有侵权请留言,我们将尽快处理
专家介绍:游哲辉

毕业于中南大学湘雅医学院,主任医师,佛山市中医院妇科主任。现为世界内镜医师协会妇科协会理事,内镜临床诊疗质量评价专家委员会委员。广东省中医药学会妇科肿瘤委员会常务委员,广东省基层医药学会妇科肿瘤专业委员会常务委员,原湖南省抗癌协会妇科肿瘤专业委员,湖南省抗癌协会分子靶向专业委员会委员,湖南省妇科肿瘤学会委员,湖南省妇幼保健与优生优育协会子宫内膜异位性疾病防治专业委员会委员,湖南省骨质疏松委员会委员。
业务专长为妇科恶性肿瘤的手术治疗、化学治疗。尤其擅长妇科各类微创手术,包括宫腔镜,腹腔镜及阴式手术。
开诊时间:周三全天
开诊地点:1号楼3楼妇科门诊
【技术】磁波刀治疗再现突破,治疗子宫粘膜下肌瘤显疗效
【精湛】妇科“不死癌症”还有个特殊咖?佛中医多科协作让它无所遁形
【高超】癌症多发转移风险高,佛中医再啃硬骨头为患者除肿物
- END -
