转自丁香园呼吸时间,作者唐绍宏。
抗生素滥用问题在临床工作中非常常见,下面 8 个病例从多个角度总结了抗生素不合理使用的现象,希望各位医生能有所收获。
病例 1
男,60 岁,2020-09-16 晚被刀刺伤上腹部,刺破肝脏但未累及膈肌,未累及胸腔,当晚急诊手术,2020-09-18 出现咳嗽、咳黄痰,护理人员描述痰较多,体温升高至 37.8°C,伴有血痰(气管插管)。给予莫西沙星抗炎治疗后未再发热。2020-09-19 当地医院胸 CT提示右肺大片状阴影。CRP 最高 108 mg/L,PCT 最高 5.6 ng/mL,WBC 一直正常,中性粒细胞绝对值最高 7.6 × 10^9/L(参考值1.8 ~ 7.0),19 日晚转入我院 ICU。入院后患者无痰,气管插管下吸痰仍无痰(当地医院莫西沙星治疗已有 2 天),血氧饱和度 70%,体温正常。
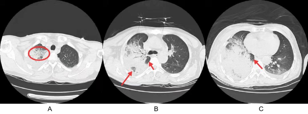
当地医院 2020-09-19 的胸 CT:

注: A :右肺上叶红圈内见叠瓦片征(发病在 24 小时内); B :右肺大片状阴影,病灶内及肺门处小叶闲置; C :靠近肺门小叶闲置。
叠瓦片征 :肺小叶内液体渗出,因重力原因位于肺小叶的下部,多个肺小叶同样表现,形似叠瓦片,最常见于肺泡性肺水肿,也可见于肺炎链球菌肺炎的充血水肿期、鹦鹉热衣原体肺炎早期、粘液腺癌等疾病。
肺泡灌洗液培养回报:大肠埃希菌。但观察影像其实不支持大肠埃希菌肺炎,大肠埃希菌肺炎很少出现本例这样大片实变影而又无空洞的表现;美罗培南治疗无效也进一步证明该病例不是大肠埃希菌肺炎,而符合肺炎链球菌肺炎,我会诊建议停用美罗培南,同时查肺泡灌洗液 NGS。但该主管医生并没有停美罗培南,但也用上了大剂量青霉素,复查胸部 CT 病灶吸收。后续肺泡灌洗液 NGS 回报:链球菌属 609 条,其中肺炎链球菌 48 条、轻型链球菌 326 条(此前已用过青霉素治疗)。
【点评】:
有发热、咳嗽、咳痰,右肺大片阴影,灌洗液培养大肠埃希菌,就一定是大肠埃希菌肺炎吗?拿到培养结果首先要判断是不是致病菌,本例主要结合影像判断,大肠杆菌不是致病菌,美罗培南治疗无效,也间接证明大肠埃希菌不是致病菌,致病菌应该是肺链,而链球菌属是不容易培养的细菌。肺泡盥洗液 NGS 最终确诊,大剂量青霉素最终治愈。
抗生素的使用原则:能用窄谱的,不用广谱的;能用低级的,不用高级的。
这方面例子太多,比如痰培养出念珠菌基本可以判断为污染,舌苔上正常就有大量的念珠菌;血培养出溶血葡萄球菌或人葡萄球菌,也基本可以判断为污染,因为这两种葡萄球菌不致病。
病例 2
女 16 岁,因发热入院。血培养回报:MSSA(甲氧西林敏感的金黄色葡萄球菌)。追问病史脚曾被生锈的铁钉扎破,并出现一条红线到大腿根部,随后发热入院,血培养药敏中敏感的有左氧氟沙星、头孢哌酮舒巴坦、头孢唑林、苯唑西林等。首先选择了左氧氟沙星 + 头孢哌酮舒巴坦抗感染治疗,但患者发热不退,再次血培养:左氧氟沙星、头孢唑林、头孢哌酮舒巴坦、苯唑西林均耐药,只有万古霉素、利奈唑胺、替考拉宁敏感。且患者出现了心前区杂音,心脏超声检查证实出现右侧瓣膜赘生物。遂调整为万古霉素治疗,患者热退,但数日后出现臀大肌剧烈疼痛,故停用万古霉素,改为利奈唑胺后最终治愈。
【点评】
血培养出细菌,首先要判断是否为致病菌,本例是致病菌,其次药敏中的敏感药物,不是随机选的,头孢哌酮舒巴坦是抗 G- 菌的,没有抗金葡菌的作用; 而对于 MSSA 是不能用左氧氟沙星的,国外的研究证明 MSSA 使用左氧氟沙星会促使其转化为 MRSA,本例正好验证了这一点,MSSA 首选头孢唑林 (本例因为头孢唑林耐药故选择万古霉素、利奈唑胺)。
本例是对抗生素的抗菌谱不熟悉,临床工作中也遇到有医生用万古霉素治疗 G- 菌的情况。
病例 3
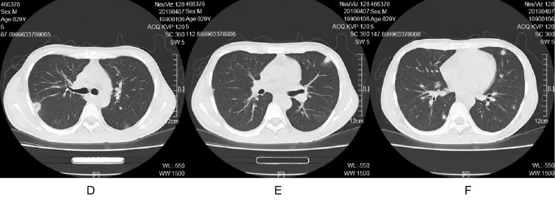
男,29 岁,既往有糖尿病病史,入院时无发热,胸部 CT 正常,中心静脉置管数日后出现发热、炎症因子增高。血培养提示:MRSA,胸部 CT 可见脓毒栓子,建议利奈唑胺治疗,但患者因经济原因拒绝,遂调整为万古霉素,次日热退,8 天后胸部 CT 复查,脓毒栓子出现明显增大。下面是发热后的 CT:

注:D~F:胸膜下脓毒栓子部分为楔形
8 天后改用利萘唑胺治疗,病人自诉比用万古霉素时身体舒服多了,因经济原因病人拒绝再次复查胸部 CT。
【点评】
治疗 MRSA,如果单纯血流感染,宜选用万古霉素,因为其血液浓度高;如果是肺部感染,宜选用利奈唑胺,因为其在肺泡浓度高。 本例是医生对药物组织浓度不熟悉以及实际情况的局限。
病例 4
女,68 岁,发热、意识朦胧、头痛入院,经头部影像学检查确诊多发脑脓肿,血培养:无乳链球菌,药敏仅万古霉素、利奈唑胺、替考拉宁敏感。当年我院只有万古霉素,医生静点万古霉素后病人仍发热、头痛,且逐渐进展为深昏迷。会诊后转入我科,每日鞘内注射万古霉素 20 万单位,次日起颅内压正常,病人意识清醒。
【点评】
万古霉素正常情况下不能通过血脑屏障,脑膜炎时可以通过,但也不足以治疗脑膜炎及脑脓肿,鞘内注射可以有效治疗 G+ 菌的脑膜炎脑脓肿。
本例同样是医生对药物组织浓度不熟悉。
病例 5
男,59 岁,无局部碰撞病史,发热,小腿红肿热痛,向大腿蔓延(图 G、H)。查血常规 WBC 9.47 × 10^9/L(3.5 ~ 9.5),中性粒细胞 7.71 × 10^9/L(1.8 ~ 6.3),CRP 201 mg/L,PCT 0.20 ng/mL。头孢哌酮舒巴坦治疗无效。我会诊后建议给予大剂量青霉素,之后患者热退,皮疹消退吸收。
病例 6
男,53 岁,酗酒后右膝关节碰撞座椅,2 天后局部红肿热痛(图 I),当地医院头孢哌酮舒巴坦抗感染治疗效果不佳而来我院。WBC 11.6 × 10^9/L(1.8 ~ 6.3),浓汁培养:MSSA,我会诊建议调整为头孢唑林治疗,后患者逐渐好转,最终治愈出院。

注: G、H:小腿蜂窝组织炎,大腿丹毒;I:局部金葡菌感染
【点评】
病例 5、病例 6 都是对皮肤软组织感染最常见的 A 组链球菌及金葡菌不熟悉,临床医生使用头孢哌酮舒巴坦已经成为习惯,不加思考的盲目使用。
病例 7
男,68 岁,发热,胰头癌肝多发转移,肺部 CT 正常,经美罗培南 + 阿米卡星治疗无效,因美罗培南及阿米卡星在胆汁里浓度不高,又换成头孢哌酮舒巴坦 + 左氧氟沙星治疗,仍无效。家属把腹部 CT 及核磁邮寄到北京请专家看过后建议替加环素治疗。我会诊后建议停用目前所有抗生素,调整为青霉素 480 万单位,q6 h静点,当晚就开始不再发热,病人自诉全身非常舒服。

注: J:右侧膈肌向上隆起,可见两处隆起,提示占位;K:肝右叶前段隆起,有一低密度占位;L:胰头占位。
【点评】
肝多发转移瘤病人发热,考虑肝内胆管引流不畅而细菌感染发热,国外 胆源性肝脓肿的细菌概率统计表明大肠埃希菌是第一位的,草绿色链球菌是第二位的 ,当美罗培南 + 阿米卡星治疗无效时说明致病菌是大肠埃希菌的可能性很低,换为头孢哌酮舒巴坦 + 左氧氟沙星是没有多大意义的,而某专家的建议显然也没有针对性,草绿色链球菌对青霉素几乎都是敏感的。这一例提示我们抗生素的使用需要对感染部位的常见细菌要熟悉。
病例 8
男,67 岁,右侧胸痛、腰痛 3 天,加重伴呼吸困难 1 天,入院后出现发热。
既往无糖尿病史,3 年前始吸烟酗酒。入院后血糖正常,2021-12-30 血常规:WBC 16.35 × 10^9/L,中性粒细胞 15.23 × 10^9/L,淋巴细胞 0.27 × 10^9/L,单核细胞 0.83 × 10^9/L,嗜酸性粒细胞 0 × 10^9/L,HGB 149 g/L,PLT 213 × 10^9/L。超敏 CRP 191.79 mg/L,PCT 9.11 ng/mL。
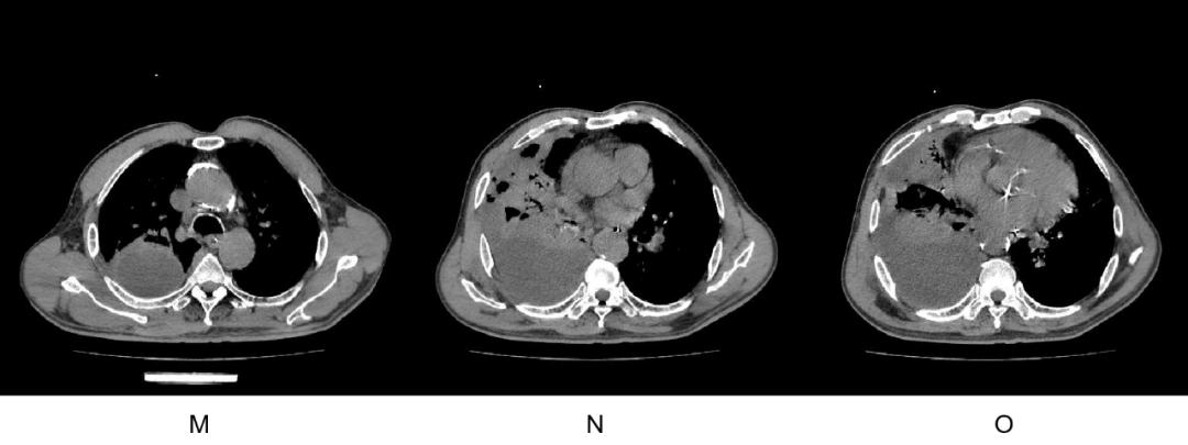
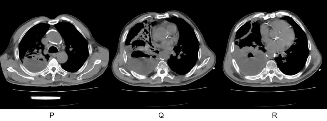
2022-1-2 起静点头孢哌酮舒巴坦 2 天无效,2022-1-4 复查胸 CT 加重,改用美罗培南治疗 2 天仍无效,2022-1-6 请本人会诊,因CT显示大的高张力液气平面空洞,且快速进展,考虑为星座链球菌 + 多种厌氧菌感染的肺脓肿脓胸,建议做胸腔积液 NGS,同时调整抗生素为大剂量青霉素 + 奥硝唑治疗,换药当天晚上开始不再发热,病情迅速好转。

2022-1-2 入院时

2022-1-4 进展时复查 CT

2022-1-14 治疗后
原高张力肺脓肿及脓胸间隔 2 天病灶迅速进展,出现液气平面,大剂量青霉素+奥硝唑治疗 8 天明显好转。
胸腔积液黄色浑浊,胸腔积液 NGS 结果回报: 星座链球菌 804 条 ,微小单胞菌 42040 条,解肝素拟杆菌 41287 条,口腔消化链球菌 22767 条,缓慢布雷德菌 12701 条,牙髓卟啉单胞菌 12701 条,麻疹孪生球菌 4254 条,侵肺戴阿李斯特菌 3456 条,具核梭杆菌 3020 条,中间普雷沃菌 1317 条,龈沟产线菌 769 条,齿垢密螺旋体 398 条,直肠弯曲菌 99 条。
【点评】
这一例是临床医生对星座链球菌肺脓肿脓胸的影像表现不熟悉,习惯性抗阴性菌治疗,星座链球菌往往与多种厌氧菌同时感染,脓腔张力很高,而星座链球菌生长需要厌氧环境及 5% 的 CO2,且单个病灶往往出现在下肺。星座链球菌感染应选择青霉素 + 咪硝唑类。
总结
1. 经过多年的抗生素合理应用知识普及学习,现在临床医生很少在抗生素抗菌谱及 PK/PD 问题上犯错误了,而培养出微生物或 NGS 得到微生物,临床医生对其是否为致病菌的判断、不同感染部位的常见菌判断、肺炎影像判断病原菌成为了临床医生的难点,需要临床医生不断的学习提高。
2. 很多临床医生不管感染部位、不管肺炎影像特点,不加思考的一律头孢哌酮舒巴坦的抗感染经验治疗,抗生素的使用,一定要有微生物的预判。
3. 很多医生当初步使用的抗生素治疗无效时,接下来往往使用更高级、更广谱的抗生素,甚至多种抗微生物药物大包围治疗,使用蛮力,如果还不行,彻底投降,转上级医院;不能静下心来,仔细分析原因。