髌骨软化症
髌骨软化症也成为“Runner's knee”,即跑步膝(因为很多患者是跑步跑出来的)。主要是髌骨软骨的退行性改变,包括软骨肿胀、碎裂脱落,引发的膝关节前侧疼痛。该病是膝关节常见病,好发于青壮年,在运动员和体育爱好者中尤为多见,女性发病率较男性高。
那么髌骨在哪呢?大家摸自己的膝盖前方,有个圆圆的鼓出来的骨头,感觉像一个大按钮的,就是髌骨了。

发病诱因
髌骨软化症的内在因素就是自身免疫反应、软骨营养障碍等引起关节软骨本身的退变。另外,如劳损、创伤或者过度使用(如短期内大量爬山)对关节软骨的慢性损伤。
总结为以下几种情况:
1.先天性的下肢力线不正常(通俗来说就是O或者X型腿),或者扁平足,或者髌骨脱位(不在正常的位置,跑偏了);
2.股四头肌及股后肌群力量差(大腿肌肉不够强壮);
3.内外侧肌肉的不平衡,导致髌骨长期不在正常的运动轨迹上(股骨沟);
4.反复的膝关节局部压力(长期过量跑步,滑雪,尤其是跑马的朋友们值得注意);
5.髌骨的直接撞击或者受伤;
6.女性是高危人群(肌肉较弱,避免长时间跪地姿势);
7.青少年处于骨骼快速增长期(生长痛:以前没怎么运动,突然要中考体育,锻炼强大增加,最终膝盖疼的小孩不在少数),导致短期内肌肉力量不平衡。

髌骨运动轨迹不良
患者表现及检测
1.膝关节前方疼痛,特别是上下楼梯的时候
2.打软腿,使不上力气,蹲起无力
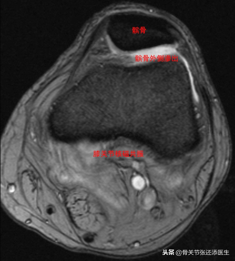
3.MRI有髌骨损伤及水肿变现

MRI显示髌骨外侧软骨磨损半水肿
研磨检测:一手用力将髌骨推向一侧,另一手拇指按压髌骨边缘后面疼痛,向下按压髌骨时也有疼痛。摩擦音。
单腿下蹲测试:下蹲到90°-135°时出现疼痛,发软,蹲下后单腿不能起立。

单腿下蹲试验
如何治疗
保守治疗:
1.减少磨损,减少上下楼梯,跪坐,爬山等运动,减少负重,少拿重物上下楼梯;
2.服用非甾体类药及氨糖等:非甾体类药物用于消炎止痛,氨糖类用于养护软骨;
3.关节腔注射玻璃酸钠一个疗程,起润滑、营养软骨及消炎的作用;
4.动作恢复:平躺锻炼股四头肌,如直抬腿锻炼,等长收缩等;

手术治疗:
1.髌骨置换:切除病变的髌骨软骨面,更换为人工假体。但国人的髌骨比较小,不像老外的髌骨比较厚且大。因此,目前国内主张开展髌骨置换的专家较少,大部分还是选择髌骨不置换。
2.胫骨结节移位术:通过改变胫骨结节的位置而达到调整髌骨受压及接触面积的作用,从而缓解磨损及疼痛状态。
3.还有一种,完全没招的情况下,直接切除髌骨。当然肯定会对运动功能造成影响,所以一般不建议年轻人做。
总结:对于髌骨,以目前的技术发展阶段,能保守治疗,尽量保守治疗吧,因为髌骨置换还没发展到像膝关节髋关节一样的成熟。

髌骨切除术
常见问题
1.髌骨软化和膝骨关节炎是一样吗?
不是的。髌骨软化是指髌骨软骨的损害,而膝骨关节炎,则可能涉及膝关节其他软骨面及软组织。髌骨软化可以发展成关节炎。
膝关节就像汽车,髌骨就是车的大灯,在车的前方位置,而股骨是轮胎,磨损的情型和位置都不一样。髌骨磨损多是撞击造成,股骨软骨(轮胎)多是受力不均且长期磨损导致。
2.髌骨疼痛就是髌骨软化?
髌骨疼痛的原因有很多,包括骨关节炎,滑膜炎,肌腱病,髌骨外侧高压症等。
3.髌骨脱位是什么?
一般髌骨是在股骨末端正中,根据膝关节活动,有一个S型的滑动轨迹。但有一些髌骨,偏离了正常位置,出现脱位及半脱位的情况,从而引发磨损疼痛,关节水肿等情况。

#清风计划#