
胸痛有N个原因,没误诊过的小伙伴请举手。
我在心内科工作一段时间后,就转到急诊了。但跑来跑去,都躲不开胸痛。在病房时,急诊以急性冠脉综合征(ACS)收上来的胸痛患者,偶尔会发现根本不是,惊吓一场。
如今在急诊,胸痛的病因更加五花八门,令人忐忑,诊断得到底对不对,是不是有些患者不应该放走?
作者:刘严
单位:清华大学玉泉医院
本文为作者授权医脉通发布,未经授权请勿转载。
本周分享一些胸痛误诊的病例,有些坑我本人也经历过。经历这些坑不见得是坏事,掉坑里也不可怕,有一次就让你印象深刻,下次才能安全跳过。
病例一
患者女性,77岁,因胸痛1天到门诊就诊。既往有高血压病史。患者自述前一天晚上19时左右,突发胸骨下压迫样疼痛,无放射,伴出汗、呼吸困难,这种剧烈难忍的胸痛持续约10分钟。次日早晨,患者在当地诊所含服了3片硝酸甘油,自觉胸痛明显减轻。
进入门诊时患者仍诉有中度胸痛,心肺查体无阳性体征。考虑为ACS,患者被立即转入急诊科,入急诊室时生命体征平稳:血压108/75 mmHg,心率82次/分,呼吸频率20次/分,体温36.6℃,饱和度99%。
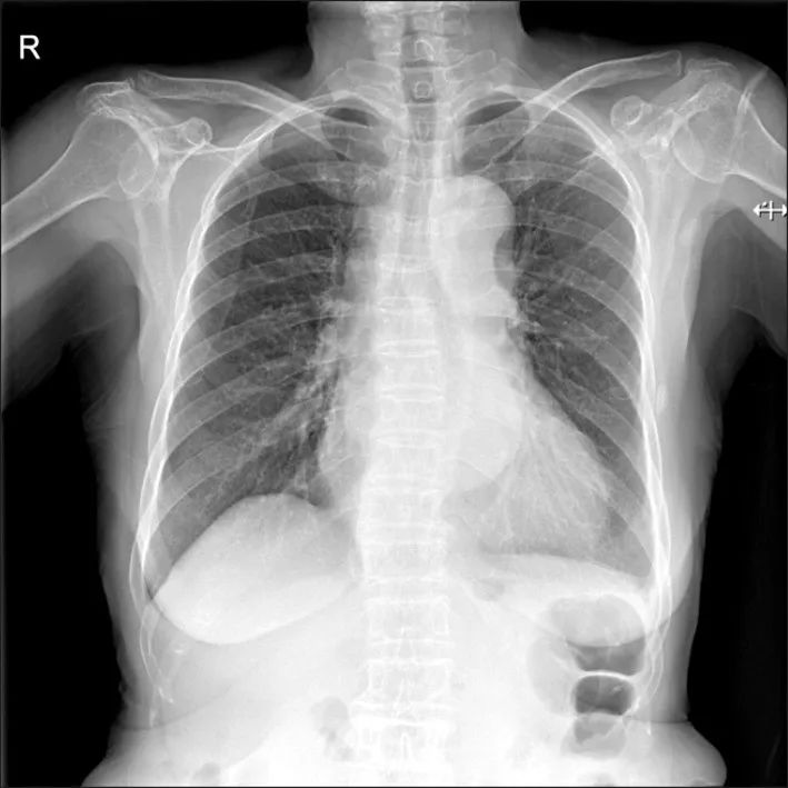
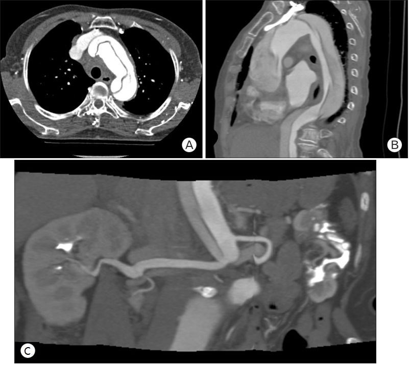
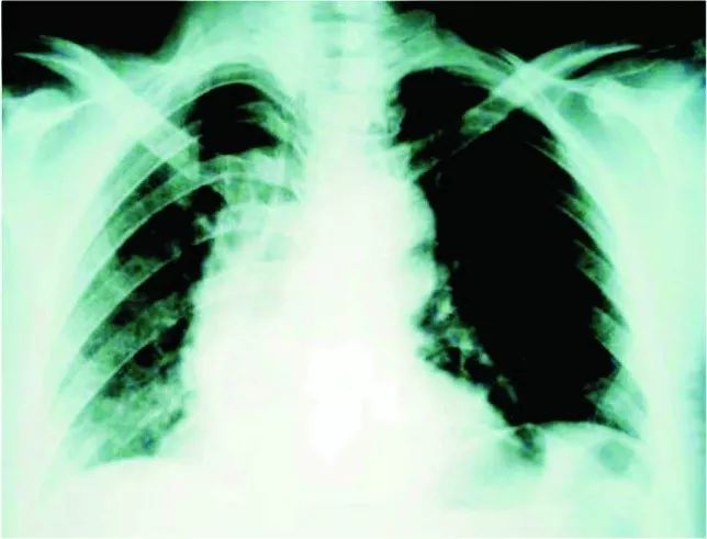
心电图提示:窦性心律,非特异性ST段改变。心肌酶、TnI水平均为正常,D-二聚体升高(13.60 ug/mL),其他实验室检查未见明显异常。急诊医生考虑胸痛原因不太可能是ACS,进行了胸片(图1)及CT检查(图2)。

图1 胸片提示纵膈轻度增宽

图2 CT检查提示A型主动脉夹层(A, B)远端靠近右侧肾动脉主干
没有冠脉介入治疗的指征,立即联系胸外科进行紧急手术。术后患者出现房颤,连续泵入胺碘酮治疗后得以控制。术后18天患者出院,恢复良好。
讨 论
有研究发现,有约30%的主动脉夹层患者在最初被怀疑为其他疾病,如ACS、心包炎、肺栓塞、主动脉瓣狭窄,甚至胆囊炎。即使是经过初步评估,仍有25%~50%的患者被误诊。主动脉夹层疼痛的特征通常是尖锐、撕裂样、突然发作,在发病时最严重。而ACS引起的疼痛多为逐渐加重,疼痛为闷痛、压榨性的。但注意,只是典型特征,硝酸甘油可以松弛平滑肌,不仅仅对冠脉有作用,对其他动脉,甚至食道都有作用。
点评:遇到胸痛别一脑门子都是ACS,其实主动脉夹层也不算罕见。
病例2
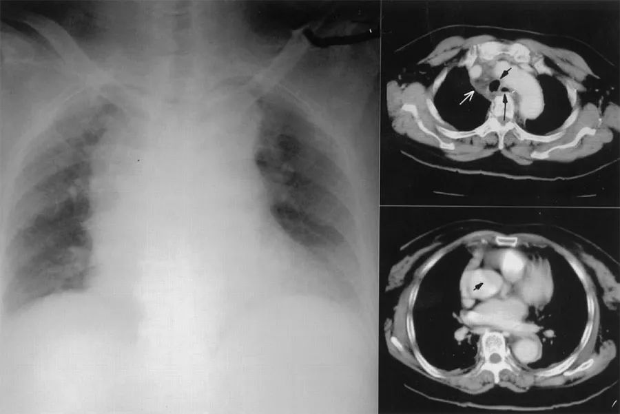
患者女性,79岁,因胸痛、乏力、言语障碍到当地医院急诊就诊,由于心电图、心肌酶正常,胸片显示纵膈轻度增宽,医生疑诊为主动脉夹层。CT检查显示升主动脉上方有“皮瓣”,纵膈的改变被忽略(图3)。患者被诊断为主动脉夹层,收入ICU住院治疗,住院期间患者胸痛有所缓解,但变得虚弱并有咽痛、吞咽问题。

图3 当地医院的影像学检查(右上图白色箭头:纵膈内的浸润灶及液性暗区,短黑箭头:气管,短长箭头:食道;右下图箭头:误诊为主动脉夹层中的内膜瓣)
发病5天后患者被转入上级医院,追问病史发现患者入院前有发热和“感冒”。咽喉检查发现右侧扁桃体肿大,有脓液排出,颈部检查未见明显肿胀或压痛。血液检查显示白细胞增多和高C反应蛋白(290 mg/L),血气显示低氧血症(PO2 67 mmHg),胸片纵膈明显增宽。
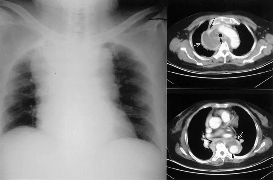
再次行CT扫描颈部和胸部,发现右侧扁桃体软组织肿胀,扁桃体周围和咽后间隙多发脓肿并向下延伸至上纵膈(图4)。考虑诊断纵膈炎、脓肿形成,立即插入胸管引流并急诊开胸手术。最终,患者因脓毒症导致多脏器衰竭,在入院第20天死亡。

图4 发病5天后CT(右上图白色箭头:气管周围多个脓肿,短黑箭头:气管,黑长箭头:上腔静脉;右下图白色箭头:脓肿沿降主动脉向下延伸)
讨 论
下行性坏死性纵隔炎(Descending Necrotizing Mediastinitis,DNM)是一种罕见的疾病,常见于牙源性感染导致深颈部感染,其他病因包括扁桃体周围脓肿、咽后脓肿等。患者通常出现颈部肿胀、胸痛、呼吸困难等症状。由于延迟诊断导致死亡率高达40%~60%。
点评:临床医生需要一个好的影像学诊断医生。仔细询问病史及查体对诊断思路绝对是有用的,但好像很多医生已经没有时间去干这些事情了。
病例3
患者女性,41岁,因胸骨后疼痛2小时被送入急诊室。患者自述胸痛向肩胛间区放射,入院前几天一直有流涕、咽痛、咳嗽、呕吐。既往健康,无冠心病危险因素。
查体及常规实验室检查均正常,胸片显示右侧胸腔积液,无纵膈气肿和皮下气肿(图5)。心电图提示胸前导联ST段压低、T波倒置,超声心动图未见明显异常。入院6小时后复查心肌酶仍为正常,心电图无动态改变。实验室检查发现患者入院6小时的血红蛋白由130 g/L降至110 g/L。

图5 入院时胸片
患者恶心、呕吐加重,仍有持续胸痛。于是,进行了CT检查(图6),发现纵膈内少量积气、食管下段周围积液。患者接受了手术治疗,术后恢复良好。

图6 入院6小时后CT检查
讨 论
自发性食管破裂是一种危险且通常致命的疾病,因为它可能迅速发展为严重的纵隔炎、败血症和多器官衰竭。患者通常有剧烈或持久的呕吐史,除了胸痛,会有呼吸困难、咳嗽、发热、腹痛等不适症状。大多数患者的胸片会有异常改变,心电图可能由于结构关系改变而出现胸前导联的改变,也可能随着病情进展而出现动态改变。CT检查有助于诊断,较少局限病变可考虑非手术治疗,绝大多数患者需要迅速手术治疗。
点评:看到胸腔积液时,不要简单飘过,CT是必要的,降价后价格便宜量又足。
病例4
患者男性,50岁,自行车运动员,有心血管疾病家族史,没有其他危险因素。患者自述在骑行上坡时出现左侧胸部胸痛,被迫停下来。家庭医生认为患者为流感样综合征,但患者的妻子决定征询心脏病专家的意见。患者在心脏专科接受了详细的临床检查,没有发现特别的异常情况,心电图(图7)和超声心动图检查都是正常的。因此,心脏病专家得出非典型胸痛的结论,建议“不需要进一步的检查”。

图7 患者静息心电图
幸运的是,患者在一周后在另一家诊疗中心接受运动心电图检查,检查时发现了V4-V6导联ST段压低(图8),并伴有胸痛,表现为典型的心绞痛。恢复时,心电图仍提示V4-V6导联ST段明显压低(图9)。进一步安排了冠状动脉造影检查(图10),结果显示左前降支90%闭塞(TIMI 1级),后行血管成形术放置药物洗脱支架(DES)。患者在3个月后恢复正常的体力活动(骑车)。

图8 运动试验检查时异常心电图

图9 运动试验后恢复时异常心电图

图10 冠脉造影显示狭窄的前降支
讨 论
点评:别轻易对你认为没有危险因素的患者给出“不需要进一步检查”的建议。
结语
胸痛最让人想到ACS,虽然有报道称急诊就诊的胸痛患者约有51%为ACS患者,但不能所有患者都先想ACS、只想ACS。肺栓塞、胆囊炎、带状疱疹、胸部肿瘤、心包炎、心肌炎等很多疾病都经常被误诊为ACS,很多患者都是在造影正常结果后,才考虑其他的诊断。
也有很多患者因为造影正常而被判定没事,而导致其他疾病被延误诊断。
在某国外网站看到胸痛的原因,竟然有几十种,只能说“晕死”。临床工作,一定要谨慎、细致,多思多想吧!
参考文献:
[1] Hyun Joo Kim, Hyun-Ki Lee, Belong Cho. A Case of Acute Aortic Dissection Presenting with Chest Pain Relieved by Sublingual Nitroglycerin. Korean J Fam Med. 2013; 34(6): 429–433.
[2] Chou SL, Chern CH, Chen JD, et al. Descending necrotising mediastinitis: a report of misdiagnosis as thoracic aortic dissection. Emerg Med J. 2005; 22(3): 227-228.
[3] Sinan Inci, Fuat Gundogdu, Hasan Gungor, Sakir Arslan, Atila Turkyilmaz, Atila Eroglu.Misdiagnosed Chest Pain: Spontaneous Esophageal Rupture. Zhonghua Minguo Xin Zang Xue Hui Za Zhi. 2013 ; 29(1): 94–97.
[4] Massimo Bolognesi, Diletta Bolognesi. Misdiagnosis of Angina Pectoris Due to Severe Coronary Artery Disease: An Anecdotal Case. Case Reports in Clinical Medicine. 2014; 3(6): 5.