肿瘤长在胸腔上纵隔内,犹如一枚不定时*弹炸**,若不及时摘除,后果不堪设想……近日,市中心医院胸外科顺利完成胸腔镜下左纵膈肿物切除术,减少开胸手术对患者身体的伤害,让患者不开胸依然能“心胸通畅”。
入院前半个多月,这名患者开始出现左胸痛伴随呼吸困难、心慌,不能离床活动。
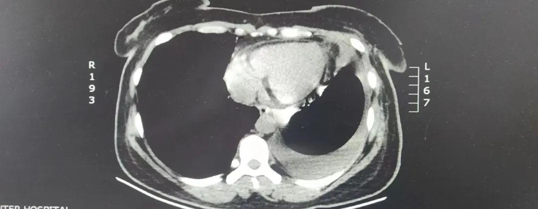
入住市中心医院胸外科后,胸CT检查示纵膈内心包左侧见团状脂肪密度影,较大层面大小约9.7*14.2厘米。完善纵隔磁共振等相关检查,根据检查结果高度怀疑纵膈内脂肪肉瘤。

考虑该区域内有心脏及大血管、神经等器官、组织,如果任其发展,最后将会导致这些重要器官、组织受压或者受侵犯,甚至危及生命,手术切除是此类疾病最有效的治疗方法。
胸外科副主任苏鹏介绍,纵隔是一个特殊的解剖区域,位于两肺之间,胸骨和胸椎为前后界。纵隔内原发肿瘤以良性多见,也有部分恶性。因其内有重要器官,原则上纵隔肿瘤一经发现,建议手术治疗。



根据患者的病情,经过缜密分析,胸外科主任陈海洋、副主任苏鹏决定为患者实施胸腔镜下左纵膈肿物切除。
手术过程非常顺利,历时2个多小时,肿瘤被完整切除、取出。术后患者各项生命体征平稳,术后即能下床活动,家属对恢复情况非常满意。目前患者已痊愈出院。

近年来,我院已熟练开展胸腔镜下肺叶、肺段切除、胸腔镜肺癌根治、胸腔镜下纵隔肿瘤切除、剑突下胸腺扩大切除、胸腹腔镜纵隔疝修补、胸腹腔镜下食管癌根治、胸腔镜下肺大泡切除等技术、相较传统手术,具有创伤小、恢复快等优点。
来源:胸外科
编辑:宣传部