黑腹水还见于什么情况?

胰源性腹水治疗方案如何?
病例报告
患者,男,33岁,因上腹部疼痛和腹胀24小时入院。有酗酒史,过去一周每天摄入3升甘蔗酒,具体酒精度不详。在过去的2年里,他因6次酒精相关性急性胰腺炎住院治疗。
查体:腹部压痛、腹水移动征。
实验室检测血红蛋白16g/dl,白细胞计数11×10^9/L,血小板计数262×10^9/L,国际标准化比值为1.4,天冬氨酸转氨酶42U/L,丙氨酸转氨酶19U/L,总胆红素0.8mg/d,碱性磷酸酶111U/L,脂肪酶1270U/L,淀粉酶442U/L,甘油三酯140mg/dl,肌酐6mg/dl,白蛋白2g/dl。肝炎和人类免疫缺陷病毒血清学检查均为阴性。
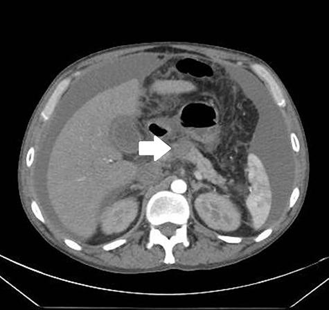
腹部CT显示胰腺坏死伴萎缩(图1,箭头)。

大量腹水(图2,箭头)。

进行穿刺,4.4L不透明的黑色腹水(图3)。腹水分析显示:红细胞计数2-3/μl,白细胞计数30/μl,总蛋白3.3g/dl,淀粉酶2769U/L,白蛋白1.6g/dl。
血清腹水白蛋白梯度(SAAG)测定结果为0.4。
腹水分析恶性细胞和结核菌阴性。
腹水真菌和细菌培养阴性。
诊断
根据病史和腹水分析诊断慢性胰腺炎。
鉴别诊断
黑腹水的鉴别诊断包括肠穿孔伴粪便渗漏、真菌性腹膜炎、转移性黑色素瘤、原发性卵巢癌和胰腺性腹水。胰腺性腹水是一种罕见的腹水病因,约占所有病例的1%。
治疗
止痛药和肠道休息。
穿刺后48h,肾功能改善(血清肌酐0.8mg/dl,尿量1.2l/d)。
在住院的第5天,腹痛得到缓解,限钠饮食。
入院后14天无症状出院。
在2周的随访中,恢复良好。
==========
病例述评
这例患者保守治疗成功,并不能反映胰源性腹水治疗的概况,因此有必要深入讨论。
胰源性腹水治疗方案
胰源性腹水是指非恶性胰腺疾病引起的渗出性腹水,发病率低。胰源性腹水在男性较女性多见,男女性之比为2比1,年龄在20~50岁之间,在儿童不常见,多由腹部外伤或先天性胰管梗阻所致。
病因
(1)胰源性腹水形成的常见原因为胰腺假性囊肿漏且假性囊肿常与破裂的胰管相交通,43%~80%,约10%由于胰管破裂而没有假性囊肿,另有10%腹水起因不明确。在慢性胰腺炎,胰管周围的炎症后纤维组织很脆,很容易断裂。
(2)胰源性腹水不常见,其确切发病率不明,有报道3.5%的慢性胰腺炎和6%~14%的胰腺假性囊肿患者可发生胰源性腹水。胰源性腹水,其最常见的病因是慢性胰腺炎(78%),其次是胰腺外伤(8%);4%有胆胰管囊性重复,壶腹狭窄和胰胆管结石;10%病因不明。
急性胰腺炎不是常见病因,急性胰腺炎由于反应性腹膜炎也可引起腹水,但一般量很少,随着胰腺炎的好转而吸收。急性胰腺炎持续而大量的腹水少见。
胰源性腹水的临床表现为腹痛与腹部不适,尽管腹围进行性增加,体重常减轻,虽然腹水淀粉酶很高,腹膜炎的症状不常存在,这可能是由于淀粉酶从胰管漏入腹腔而灭活所致。除胰液外,腹水的形成似乎存在其他渗出性成分。
有时胰腺胸膜瘘引起与胰源性腹水相关的胸腔积液,胰腺内瘘的患者35%有胸腔积液。当胰管破裂发生在前侧时,与腹腔相交通引起胰源性腹水;当破裂发生在后侧时,胰液进入腹膜后引起胰性胸腔积液。
胰源性腹水的治疗没有统一的方案,因为其发病率低,治疗有效与否的证据仅有少数病例报告及病例系列报告,尚无随机对照研究以找出最好的治疗方案。
胰源性腹水的治疗方法包括保守治疗、内镜下治疗和外科手术治疗。
1 保守治疗
保守治疗是应用下列一种或多种方法进行治疗,包括要素饮食、全肠外营养、穿刺引流、持续经皮引流、生长抑素类制剂。保守治疗的目的是减少胰腺外分泌,排出腹水,促使腹膜接近漏出部位以使瘘管闭合。文献中保守治疗是最常用的治疗方法,主要是引流加饮食治疗和肠外营养,其治疗失败率为达50%,而且死亡率也较高。后来的报道结果与其接近。并没有因一般医疗护理水平的提高而得到改善。
保守治疗失败的原因还不清楚。内科保守治疗的效果与内镜逆行胰胆管造影(ERCP)证实的胰管病变的严重程度有关,可能是病变严重的患者胰腺纤维化使胰腺愈合能力差引起治疗失败,同时也发现ERCP显示两处以上的瘘是内科治疗失败的主要因素。患者的预后与年龄、性别、瘘的部位、原发疾病和血清淀粉酶水平无明显关系。尽管肠外营养作为单一治疗措施无效,但它是内镜下治疗和手术治疗的辅助治疗措施,因为其将改善患者的营养状况,减少手术的危险。
生长抑素和血浆半衰期较长的生长抑素类似物奥曲肽,已成功地用于胰瘘的治疗,其作用机制是减少胰腺外分泌,促进胰瘘的愈合。但文献总结未证实明显的疗效,一个原因是用药例数较少,另一个原因与胰腺病变和用药量不足有关。
2 内镜下治疗
内镜下治疗包括十二指肠乳头切开和胰管内支架置入。ERCP证实胰管破裂的患者可行经乳头胰管支架置入,由于胰管常有部分梗阻,支架可促进胰管破裂的愈合。置管达到胰瘘的部位有效,经过括约肌内而不达到瘘的部位同样有效,后者将降低胰管内高压。胰管引流使胰管内压力降低足以促使胰瘘自行愈合,尽管以往报道中胰管内支架病例数不多,但它似乎增加了胰源性腹水治疗成功的可能。对可扩张金属支架用于治疗胰性腹水的长期并发症,研究不多,除非其他治疗禁忌或聚乙烯支架失败,否则不予考虑。金属支架用于短期维持生活质量的患者的治疗。
3 外科手术治疗
在外科手术之前,ERCP是必需的,因为要根据ERCP的结果决定手术方式。手术前瘘的定位对于外科的结果有很大影响,术前ERCP发现瘘点,手术失败率是12%-18%。但是,由于术前没有ERCP对瘘进行定位,不能设计合理的手术方案,失败率高达50%。
手术应切除尽可能少的胰腺组织。关于外科术式的选择,如果没有发现胰腺假性囊肿而有胰管瘘,可行胰管Roux-en-Y空肠吻合术,假性囊肿的治疗可根据囊肿的位置和大小行引流或切除术。在胰尾部的小的假性囊肿可行远端胰腺切除术,如果未发现近段胰管病变,行胰腺残端缝合;如果有近段胰管梗阻,则行胰管空肠Roux-en-Y造瘘术。如果假性囊肿较大或位于近端,根据其位置和其与邻近胃肠道的关系,行囊肿胃造瘘术、囊肿十二指肠造瘘术或囊肿空肠造瘘术行内引流。也可通过内镜行内引流。由于外引流复发率较高,不予推荐。由于胰腺全切除或次全切除均能引起胰腺功能障碍,特别是内分泌功能障碍,因此不是好的治疗方法。文献复习最常用的外科术式为远端胰腺切除和胰腺空肠造瘘术。Ohge手术方式适用于所有类型的瘘,包括不能进行Roux—en—Y空肠引流的胰腺后壁瘘的患者,并为3例患者做了这样的手术。方法是,先行小的胰尾部切除,然后保留的胰腺与空肠行空肠引流,同时加一外引流管进入主胰管行外流,数天后拔除外引流管,这种手术也免除了胰头瘘患者的胰腺次全切除。
对于内镜或手术治疗之前是否先行保守治疗仍然有争议,有人认为应先给予生长抑素类似物和肠外营养,并腹水引流2~3周,如果病情不缓解再考虑手术治疗。由于内镜治疗成功率高而且危险很小,一些人推荐行内镜治疗,仅在内镜治疗失败或病变位于胰尾部时才考虑手术治疗。其他治疗如腹水回输、小剂量放射治疗、像门脉高压症腹水一样进行腹腔颈静脉分流、利尿剂和阿托品治疗现在已废弃不用。
通过文献复习和治疗体会,得出的结论是,根据腹水的性质,一旦明确胰源性腹水的诊断,应行ERCP检查以明确瘘的部位,然后决定行外科手术治疗或胰管内支架治疗。由于支架治疗并发症很少,其作为第一选择似乎是合理的;外科手术仅用于瘘在胰尾部、不能行内支架治疗或支架治疗不成功的患者。
保守治疗仅作为等待外科治疗和内镜治疗时的辅助治疗,但不应因此而推迟内镜或外科手术治疗,因为胰源性腹水患者常需禁食以抑制胰腺分泌,病程延长将
使患者一般情况恶化,出现并发症,贻误内镜治疗和手术治疗的时机。
==========
最后做一个健康宣教
适量饮酒,不要酗酒