想要真正解决牙龈肿胀、牙疼。建议要及时进行检查、治疗,从根本上解决问题。
为什么会牙龈肿胀疼痛?
1、牙龈发炎
这种情况多是由于不良口腔习惯造成的,如果经常反复,容易变成慢性牙龈炎症。
建议:日常 做好口腔清洁工作 ,饮食均衡,多吃蔬果。

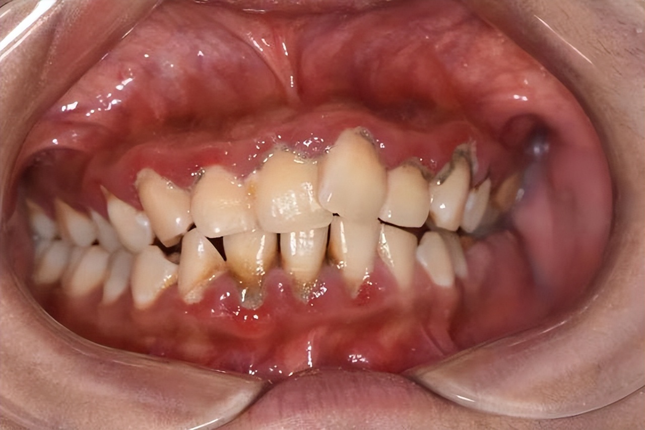
2、牙周炎
这种情况多是由于牙菌斑侵犯牙周组织造成的,部分患有全身性疾病的人群也容易出现这种情况。牙周炎初期表现为:口臭、牙龈出血、红肿、疼痛等症状;如果不及时治疗,后期会发展成:牙龈萎缩、牙槽骨吸收,牙齿松动等症状。
建议:及时进行 龈上/龈下洁治,做好口腔清洁工作。

3、牙髓炎
这种多是由于牙髓受到炎症感染引起的,会表现为牙龈红肿、疼痛的整整,再进食的时候也可能出现疼痛、出血等症状。
建议:进行 根管治疗 ,将受感染的牙髓组织清理消杀封闭后填充。
4、冠周炎
这种多由于智齿无法正常萌出引起的,通常表现为牙龈红肿、疼痛,部分人还会出现脸部肿胀、发烧等情况。
建议:反复发炎的智齿,建议 及时拔除。
