
2022年1月30日和3月14日,这两个时间节点对于34岁的肖先生而言至今记忆犹新:两次住院,经历了痛苦的煎熬,漫长的治疗,他还险些因生病丢了性命。原因仅仅是他此前丝毫没有在意的「剧烈咳嗽」。到底怎么回事?故事还得从2021年11月的一天说起……
「呼吸时尤其吸气到末尾胸口就莫名其妙发痛,一呼吸就刺激性咳嗽……气管分叉处有软组织影,食管的上、中段增厚」
肖先生是河南郑州一家公司职员,工作环境优越整洁,两次住院的原因都是「胸痛、咳嗽」。尤其第二次住院,他的咳嗽症状没有丝毫好转,愈发严重。最终治愈肖先生的是郑州大学第一附属医院呼吸与危重症医学科团队。
该科的程哲主任告诉我们,从肖先生的病史特点看,他在首次就诊前两个月就无明显诱因突然出现胸痛,据他自己描述,他的胸痛感主要与呼吸相关,「他只要一呼吸,尤其是吸气到末尾的时候胸痛感就比较明显,而且咳嗽非常地明显,是一种剧烈的刺激性的咳嗽,一呼吸就会咳嗽。还有一个特点就是咳黄脓痰,也不容易咳出来。」程哲主任说。
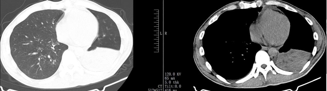
据肖先生自己回忆,刚开始发病时,他曾有过短暂的发烧,体温最高达38℃。但发烧并不规律,忽高忽低。起初他以为自己是上呼吸道感染,在当地医院开了头孢类抗生素进行治疗。治疗约1星期后,咳嗽不但未能减轻反而越来越明显,而且昼夜不停地咳。2022年1月13日和1月29日,肖先生分别在当地另一家医院做胸部CT,影像学显示他的气管分叉处有软组织影,食管的上、中段增厚(见图1、2)。

图1:肖先生2022年1月13日在当地某医院的胸部CT影像学

图2:肖先生2022年1月29日在当地某医院的胸部CT影像学
同时,医院也对肖先生进行了电子纤维胃、十二指肠镜检查和支气管镜检。诊断他有糜烂性胃炎、霉菌性食管炎,气管镜活检发现真菌感染。尽管检查明确,但治疗效果却不佳。异常焦急的肖先生这才在家属的陪同下转院来到程哲主任的团队接受治疗。
「患者终于想起自己发病前曾去过一个工地,在那停留约4小时……那个工地不仅潮湿,且霉味较重,这是导致他感染的重要疑点」
程哲主任告诉我们,患者刚来时体型偏瘦,有急性发病的特点,呼吸十分困难费力,双肺呼吸粗,左下肺呼吸音减弱,还有「三凹征」。
何谓「三凹征」?「三凹征」往往是指患者有呼吸困难,指吸气的时候胸骨上窝、锁骨上窝出现了塌陷,并且肋间隙也出现塌陷,因此形成了「三凹征」。
程哲主任告诉我们,患者还有个非常重要的病史,入院时发现他罹患2型糖尿病,血糖控制非常不理想,空腹及餐后血糖最高能达到近30毫摩尔每升,严重超标。尽管患者已经使用了胰岛素进行治疗,但血糖控制水平如此差的情况也不多见。入院后查餐后血糖,均能高达26毫摩尔每升的水平。个人还有长期吸烟史。
「有糖尿病这种基础疾病和长期吸烟史,这样的人群本就容易更大可能性地发生感染,但我们总要查明感染源才能给他定结论。考虑到患者工作和生活环境比较优越整洁,我们反复追问病史和了解患者在发病前接触过的环境,患者最后终于想起,自己在发病前曾经有一次去过一个比较潮湿的工地,在那里停留了大约三四个小时,工地不仅潮湿,而且霉味较重。这是导致他感染的一个重要疑点。」程哲主任说。

图3:肖先生在外院的电子纤维胃、十二指肠镜检查报告。


图4:肖先生在外院的支气管镜检报告。
结合外院诊断报告和院内的辅助检查,很快,肖先生的入院诊断结果出来了:侵袭性支气管肺毛霉病、食管毛霉病、I型呼吸衰竭、支气管狭窄、2型糖尿病。这么多种疾病同时发生在他身上,他的情绪低落,感染愈发严重,病情急转直下。
「侵袭性毛霉菌的治疗疗程必须足够,药物浓度也要足量……二次入院他支气管又长出肉芽肿,前后8次纤支镜检及治疗,他异常痛苦」
程哲主任告诉我们,之所以肖先生在外院的治疗效果不佳,一是可能与病情的迅速发展有关,二是可能治疗的药物浓度没有达到足量,且治疗疗程也相对较短。实际上肖先生不仅需要足够足量的治疗,同时还需要纤支镜下的介入治疗,因为他的毛霉菌进展迅速,消化道、食管还有曲霉感染,同时支气管感染严重,炎症导致他的支气管十分狭窄,因此他出现明显的憋气、呼吸急促症状。但庆幸的是,肖先生的诊断十分明确,住院时就已经取得了相对明确的病原学证据,接下来只需要规范的治疗便有机会得到良好的转归。

图5:肖先生2月9日的胸部CT。
「抗真菌治疗、手术清创、纠正危险因素、严格控糖、营养支持……几乎会用上了所有该用上的手段。接下来在他身体状况允许的情况下,我们给他进行了7次气管镜下治疗。1个月左右时间的治疗后,肖先生的支气管管腔基本通畅了。但由于气道坏死的后遗症使他的气道逐渐变得特别干燥,出现很多气道结石。几次纤支镜检及治疗的确也让他很是遭罪。」程哲主任讲道。

图6:肖先生2月4日第一次纤支镜下治疗。

图7:肖先生3月5日第七次纤支镜下治疗。
程哲主任告诉我们,治疗后,肖先生间断咳嗽、刺激性咳嗽的症状明显好转,也没有再发烧,胸闷的情况有所改善,活动耐力增加,于是3月6*他日**办理了出院手续。嘱咐他按时服药外,还要监测血糖,适当运动。但出院后第8天,他又感到自己有明显的阵发性咳嗽,这次肖先生的心理压力更大了,来医院检查时变得十分害怕和恐惧。结果,纤支镜下发现他的支气管长了很多新鲜的肉芽组织,紧接着对他进行了治疗并安抚情绪。

图8:肖先生3月16日第八次纤支镜下治疗。
「毛霉菌感染非常凶险,全因死亡率可达40%-80%,死亡率取决于宿主的基础状况和感染部位……6大人群是主要危险因素,一些不起眼的经历或症状都是『警示信号』」
「对肖先生的后续随访每周都在进行,他的咳嗽现在已经明显好转,基本上正常工作和生活都不受影响。像他这样的有2型糖尿病的患者,我们会严格让他控制血糖,空腹血糖要小于6毫摩尔每升,餐后血糖要小于8毫摩尔每升。」程哲主任说。
经历了曲折的治疗过程,承受了多次痛苦的纤支镜下治疗,肖先生如今能康复到这个程度实属不易。可我们要怎样才能避免像肖先生这样,在不经意间就遭遇侵袭性支气管肺毛霉菌这种「致命霉栓」呢?
程哲主任告诉我们,要避免与这种霉菌狭路相逢,首先需要全面了解它的特点。毛霉菌是一种侵袭性真菌病,以前称为「接合菌病」,是由毛霉目真菌引起的感染性疾病,感染了这种真菌,组织坏死、进展快,必须早期干预。而它的致病特点就是可以损伤穿透人体的血管内皮细胞,形成栓塞而引起组织坏死。因此,这种病非常凶险,它的全因死亡率可达40%-80%,死亡率取决于宿主的基础状况和感染部位。
到底哪些人群是主要危险因素?
程哲主任说,一是糖尿病患者,或者是糖尿病患者伴有酮症酸中毒的人群;二是恶性肿瘤的患者,以及正在化疗中,使用免疫*制剂抑**的患者;三是长期应用糖皮质激素的患者;四是实体器官和造血干细胞移植后的患者;五是粒细胞缺乏的患者;六是有过创伤或营养不良等的患者。这六大类人群就是感染的主要危险因素。
值得我们警惕的是,毛霉菌感染后的表现多种多样,它可累及肺、中枢神经系统、副鼻窦、胃肠道和皮肤,而且进展快,易导致受累器官、组织坏死。主要分为五种型,表现也不一样:
- 心肺型:发热、咳痰、胸痛、呼吸困难;
- 鼻脑型: 鼻塞流涕,进展为面部麻痹、模糊、眼痛、复视等;
- 皮肤:多发生于外伤、烧伤患者,皮肤斑块、肿胀、坏死;
- 胃肠型:少见,多发生于严重患者,腹痛、便血等;
- 播散型:两个或以上器官感染,可能起源于任何原发部位。
因此,我们尤其要注意到这些看似不起眼的症状,对于六大类感染的主要危险因素人群,更加要引起警惕。
