门墩er经常会遇到粉丝提问“这个怎么诊断?这个怎么考虑?”
大多都难以回答,开局一张图,门墩er真不知道该怎么“猜”。今天我们就来复习复习如何诊断。

疾病诊断步骤示意图
图源:人卫第九版《诊断学》
超声诊断仅是临床资料中的一环——辅助检查
超声是一种影像学的倾向性诊断,不能直接代替病理诊断,很多初学超声的小伙伴陷入急于求成的误区,拿着一个超声图像就想立马得知具体病理诊断,甚至是在没有任何病史资料以及其它辅助检查资料的情况下。
如果要想通过超声图像就下病理诊断,还需要长期的积累。
不能急,一定不能急。
诊断是个严谨的事情,一个图只能说明一个图的东西,换个切面出来说不定就是另外一种结果了。
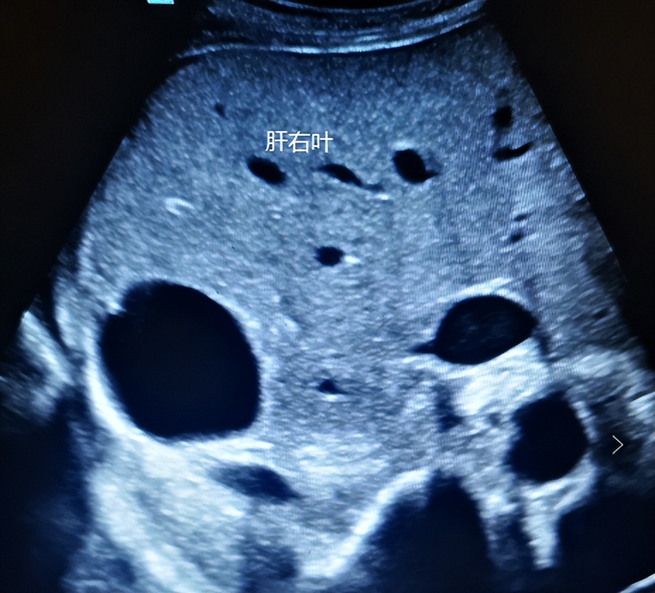
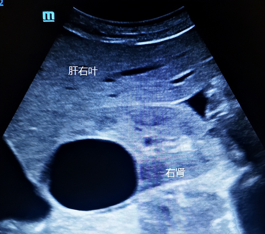
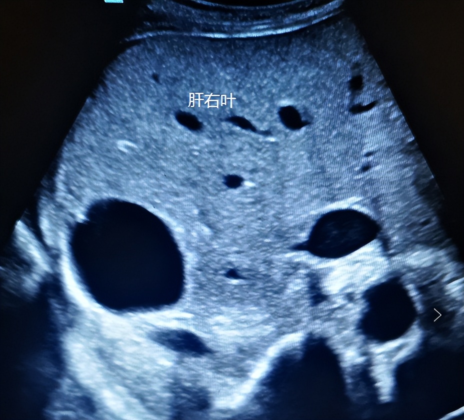
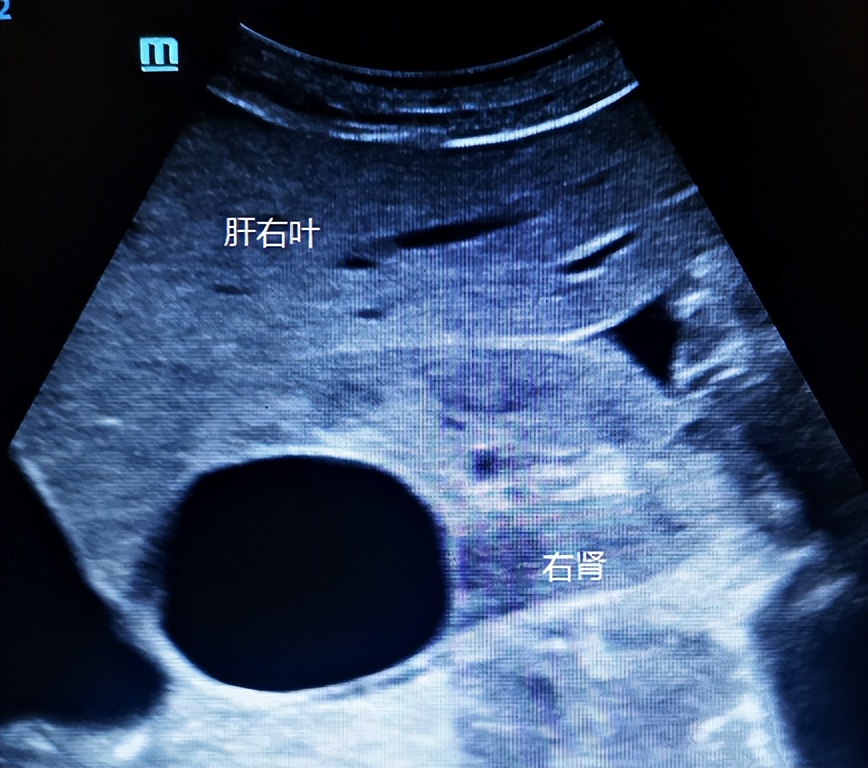
如下图,看似肝囊肿。

换个切面扫查,实则肾囊肿。

因此,到底要怎样才能学好超声诊断呢?
超声有别于临床,但又和临床高度相关,超声的诊断结果往往对于临床有很大意义,因此,超声诊断准确十分重要。门墩er做了以下两点建议,希望对你有用:
一、采集病史
超声不仅仅是遵医嘱做检查,还需要主动采集病史。
如:问病史、体格检查、查辅助检查资料
1、问病史
有人要问了,“我就是做超声的,我问病史干嘛?那是临床的事,不关我的事”
遵医嘱是没错,但要想做到准确诊断,就必须要问。
往往临床也有疏忽的时候,超声诊断的过程中,再次问诊,更有助于准确诊断,多的不问,至少要问句“哪里不舒服?因为什么来检查?”
在门墩er日常过程中就常有这种情况,患者右下腹痛就诊,临床考虑是阑尾炎,结果扫查阑尾并无异常,遵医嘱只看阑尾,在扫查阑尾的过程中发现右下腹管状无回声,由于陷入了阑尾的误区,好一会儿才反应过来是输尿管。有兴趣的小伙伴可以看看这篇文章:差“亿点点”就漏诊了

因此,如果你想做个优秀的超声医师,那就务必要学会采集病史,不要仅看临床医嘱和备注信息。
除了输尿管结石误诊为阑尾的,也有阑尾误诊为输尿管结石的......等等。
还有很多例子,因此学会问病史,是超声医师的必修课,也是在请科室上级医师会诊前要主动提供的信息,如果没有任何病史,只有超声图像,只能下现象。
脑壳多“跑路”,患者少跑路。
也许做超声的我们多问一句,就可能多个诊断信息,就能更早找到患者的病因。
除了在诊断上能避很多坑,在医患关系上也能避免很多坑。
在医患紧张的现在,很多是来“考试”的。
往往会对比几家医院的检查结果,超声又是单签,稍不留神也许就会少看一些细节问题。充分问病史,可以明白患者检查目的,尽可能减少漏诊或误诊。
2、查体
在有医嘱的情况,就可以针对性查体,查体最多的就是阑尾和乳腺检查,对于阑尾的查体通常是握着探头做反跳痛和压痛实验,对于乳腺超声,一般情况建议在征得患者同意下,可以上手规范查体。
如果没有明显的反跳痛,但又右下腹痛,通常我会顺手扫查一下右肾,避免输尿管结石的漏诊。
对于乳腺,特别是急性乳腺炎或乳腺占位,上手查体可以快速明确占位大致范围、活动度、硬度情况,有助于快速准确诊断。
除了以上举例的部位,还有很多很多部位都可以查体,比如脂肪瘤,有的脂肪瘤和周围组织回声及其相似,增益略高或略低就难以发现,上手一模,就很容易发现这里一个、那里一个。。。。。

因此,采集病史是接到患者首先就要必做的一件事情,采集病史可以有效诊断和减少漏诊。“脑壳”多跑路,患者少跑路。
二、多切面、多体位、多条件扫查
每次遇到粉丝提问,我着急啊。我能力有限,就凭一张模模糊糊的图,无法做到一图洞穿疾病。
经常遇到一张不清不楚的图“老师,怎么考虑?”
我考虑“请科里上级医师会诊,或结合其它相关检查,或建议上级医院复查”
一张图说明不了问题,一张图说明不了问题,一张图说明不了问题。
下图就是例子:


1、多切面
如果发现异常回声,至少两个切面都扫及了,才能确定有异常回声,如果一个切面扫及异常回声,有可能是异常的,也有可能就是个伪像,换个切面也许就一目了然。
2、多体位
天下没有同样的两片叶子,同样也没有两个一样的人。每个人的器官解剖位置可能大致相同,但同样的扫查方法却可能扫查不完每一个部位。
因此,平卧位、左侧卧位、右侧卧位、俯卧位等等等,超声没有绝对的体位、没有绝对的扫查手法,能扫查清楚、扫查完全就是最好的手法和体位。
怎么清楚,怎么来,不要看着上级医师在平卧位一个体位就能扫查完全,那是高手,建议初学的小伙伴不要只模仿体位,不模仿手法和思路,先踏实的在多体位的辅助下扫查清楚肝脏、肾脏、脾脏的每一个角落。
改变体位有时是真的香,对于胆囊和肝外胆管,平卧位时,患者稍微有点肉肉就不好显示,左侧卧位轻轻一扫,诶,清清楚楚,这就很棒。

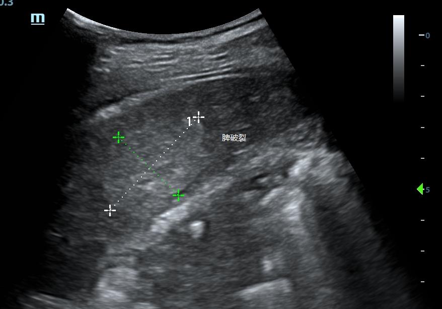
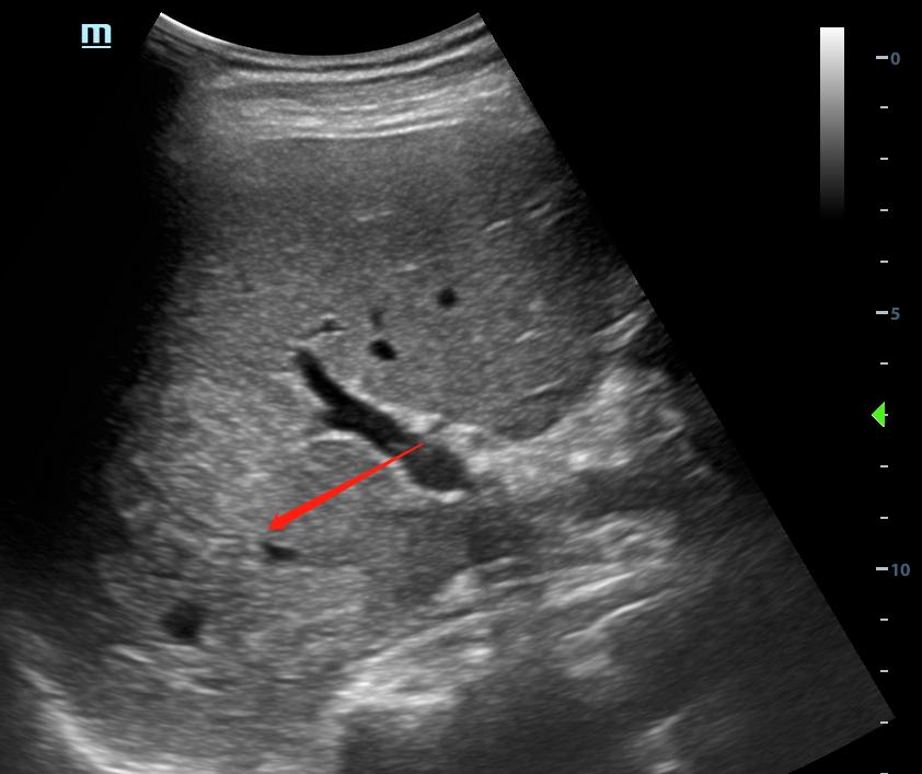
3、多条件
不同设备条件下得到的超声图像可能有很大差别,特别是肾脏血肿、肝脾挫伤。
对于外伤后患者,大量肾周血肿、明显的肝脾破裂谁都会看,但少量的肾脏血肿,隐匿性的肝肾挫伤或破裂,增益过高很可能就直接漏诊。

肾周血肿

脾破裂

肝破裂
没有最合适的增益,只有反复调节的增益。
超声受气体、脂肪、组织密度等等等各种因素影响,同一台设备条件不一定适用所有人,每个患者都需要调节至显示清楚的条件。
对于同一个患者,不同增益下可能会给你带来不一样的信息,如果还有不会调节设备的小伙伴,可以阅读这里:0基础入门,超声设备的使用和调节
总结
最后总结下,超声入门至少要学会这两点:1、主动采集病史;2、多切面、多体位、多条件扫查。
采集病史为了更有目的的进行诊断,多体位多切面多条件是为了更少的漏诊和误诊。
以上的内容希望对初学超声的你有用。