房间隔缺损(atrial septaldefect, ASD)是最常见的先天性心脏病之一,约占先天性心脏病发病率的26%,多为女性,男女之比为1∶2。
【病理特点】
在胚胎发育过程中,如果第一房间隔未完全和心内膜垫融合,两者之间留有残余孔就称为原发孔房间隔缺损(即Ⅰ孔型房间隔缺损);如果继发孔过大或未被第二房间隔遮盖则称为继发孔房间隔缺损(即Ⅱ孔型房间隔缺损)。房间隔缺损的长径大多为1.0 ~ 4.0cm,绝大多数房间隔缺损为单孔,少数为多孔,但也有呈筛孔状的(缺损可有分隔或由多个小孔构成)。
【病理分型】
根据心脏解剖学特点,房间隔缺损可分为继发孔房间隔缺损、原发孔房间隔缺损和房间隔缺如,其中继发孔房间隔缺损根据缺损的部位又分为四种类型。
1 . 中央型 约占76%,位于卵圆窝处,缺损直径多为2.0 ~ 4.0cm;
2 .下腔型 约占12%,缺损位于下腔静脉入口处;
3 .上腔型 少见,约占3.5%,缺损位于房间隔的后上方、上腔静脉入口的下方,没有后缘,常伴肺静脉畸形引流;
4 .混合型 约占8.5%,含两种类型以上的巨大缺损。

【血流动力学改变】
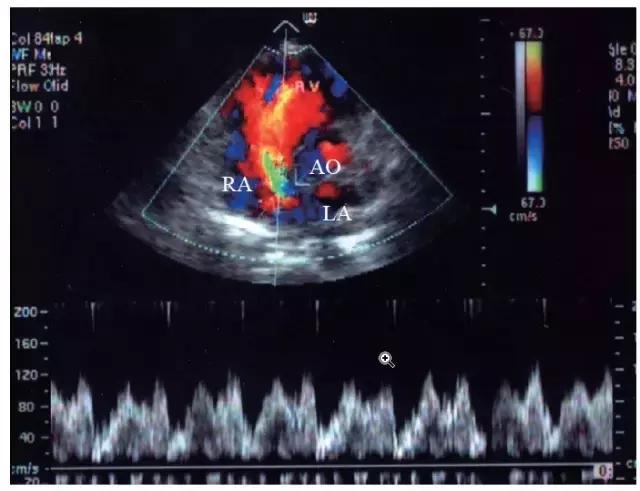
正常人左心房的压力为0.53 ~ 1.07kPa(4 ~ 8mmHg),右心房的压力为0 ~ 0.66kPa(0 ~ 5mmHg)。房间隔缺损时,过隔血流由压力较高的左心房流向压力较低的右心房,但由于两个心房之间的压力阶差不大,脉冲多普勒在房间隔缺损右心房面取样为低速连续性血流频谱,以舒张期为主,速度很少超1.2m/s。

目前认为,影响心房水平分流方向和分流量多少的决定因素是左右心室的顺应性。由于右心室壁较左心室壁薄,顺应性较左心室好,其舒张期压力明显低于左心室舒张期的压力,因而使左心房的血液经缺损进入阻力低的右心房。由于心房水平左向右分流,导致右心房和右心室扩大、肺动脉增宽,肺循环血流量增多,左心室偏小;当引起肺动脉高压时,心房水平出现右向左分流。
【临床表现】
由于右心室顺应性好,代偿能力强,单纯房间隔缺损患者在年轻时一般不出现症状,少数患者活到60 ~ 70 岁仍无症状。大的房间隔缺损引起肺动脉高压后,患者出现劳力性呼吸困难,活动后易疲乏,反复呼吸道感染,右心室增大,心前区呈抬举性搏动,第二心音分裂(右心室射血时间延长所致),肺动脉瓣区可闻及喷射性收缩期杂音(由于肺动脉血流量增加所致),而且响度一般为2/6 ~ 3/6 级,较柔和,吸气时增强。
更多专业知识!请关注微信公众号“超声掌中宝”