都说牙痛不是病,疼痛起来不能静。
高空飞行才要命,下了飞机存侥幸。
半夜痛醒求医定,开髓引流方法应。
牙妹:医生 患者:齿哥

1

2

3

4

5

6
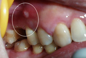
齿 牙妹,来看看这张照片?(图1 2)
牙 什么呀?
齿 我的一个朋友,说最近牙龈不舒服,反复起小脓包,有时候就用针把脓包刺破,在用些碘伏局部涂抹消毒,可是没过多久又会再次长出脓包。
牙 嗯,脓包附近的牙齿有没有什么不舒服呢?
齿 他说曾经疼过,自己吃了些消炎药就挺过去了,后来牙齿的不适也减轻了,不过牙龈开始反复起脓包。牙妹,你的意思是---脓包可能来源于曾经疼痛过的牙齿?
牙 不错。还记得我曾经和你说的龋坏分类吗?
齿 记得,按龋病进展的程度分为浅龋、中龋、深龋(点击文章下面的“阅读原文” 查找科普第11期“虫牙是怎么来的”)。
牙 如果龋病突破牙齿的硬组织,那么就进入下一个病程—牙髓炎(图3)。牙髓炎分为急性和慢性。慢性牙髓炎较多见,一般没有剧烈的自发痛,有不明显的钝痛,冷热刺激痛。当机体抵抗力降低,或局部引流不畅,慢性牙髓炎也可转化为急性牙髓炎。
齿 说说急性的。
牙 急性牙髓炎多为意外创伤或慢性牙髓炎急性发作引起。因为牙髓腔较为封闭,炎性渗出物得不到引流,所以疼痛十分剧烈。具有自发痛明显、夜间疼痛加剧、温度刺激使疼痛加剧、疼痛不能定位等特点。
齿 我听说过有的患者牙痛的一夜没睡,不敢躺下,只能坐着。第二天一早就去医院看牙了,那可真是够痛苦的。
牙 那才是真正的“一夜无眠”!(图4)
齿 如果继续坚强的挺住会怎么样呢?
牙 如果任由疾病的发展,牙髓腔内的炎性物质无法顺利排出,就会通过根尖处的小孔挤进牙根尖周围,引起根尖周围发炎,简称“根尖周炎”。越来越多的渗出物在根尖处聚集,压力不断增大,患者在感受疼痛的同时,也会觉得牙齿有“伸长感”。
齿 好可怕!听说过,有了“伸长感”都不敢闭嘴,似乎一闭嘴别的牙没碰到,就先碰到这个牙齿了。那该如何治疗呢?
牙 医生多会在牙齿的表面磨个洞,使里面的过大的“压力”释放出来,疼痛就会得到明显的缓解。对了齿哥,你听说过有坐飞机牙痛的吗?
齿 坐飞机牙痛!那是吓得吧。
牙 这叫气压性牙痛,指的是在高空中大气压力会发生明显的改变,所以有可能使乘坐飞机的人出现牙痛。这是一种由气压改变引起的疼痛。
齿 每个人都会吗?
牙 不是的。发生气压性牙痛的人,其本身是有轻度的牙髓病变,只是自己没有发现。另外,重度牙本质过敏、根尖周炎等疾病,在遇到气压改变时,都可能产生明显的疼痛。
齿 现在在医疗中常常用到高压氧是不也会引起牙疼呢?(高压氧已被广泛应用,比如中风、深部感染,心血管疾病等都需要其来进行辅助治疗。)
牙 不错。在高压氧舱中,由于压力的改变,也可引起气压性牙痛。所以需要接受高压氧舱治疗的朋友一定要对自己的口腔状况有所了解,避免气压性牙痛的发生。(图5 6)
未完待续