冠心病分为心绞痛型、心肌梗死型、心律失常型、猝死型和无症状型五钟类型。冠心病的治疗,药物治疗是基础,除了药物以外,还有其他的治疗方法。正如提问者说的那样,冠心病吃了很多的药,但仍然心脏还是疼痛怎么办?提问者可能罹患的是心绞痛,但吃了很多的药物以后,仍然还有心绞痛发作,那么可能有哪些情况的可能呢?
一、药物不对
冠心病的治疗,并不是以药物数量的多少、种类、剂量来衡量是不是治疗有效的,如果冠心病治疗的药物选择不对,那么吃再多的药物,恐怕也只能是增加胃肠负担,对心绞痛没有任何帮助罢了。或者是把保健品当药品,吃的再多,也起不到治疗作用吧!

二、剂量不够
冠心病治疗已经比较规范,尤其是近些年来的科普,使得冠心病的药物治疗越来越规范,所以,如果药物使用正确的话,那么可能就是药物使用的剂量不够。同样的药物,如果剂量使用不够,那么患者依然可能会出现心绞痛频发的情况。

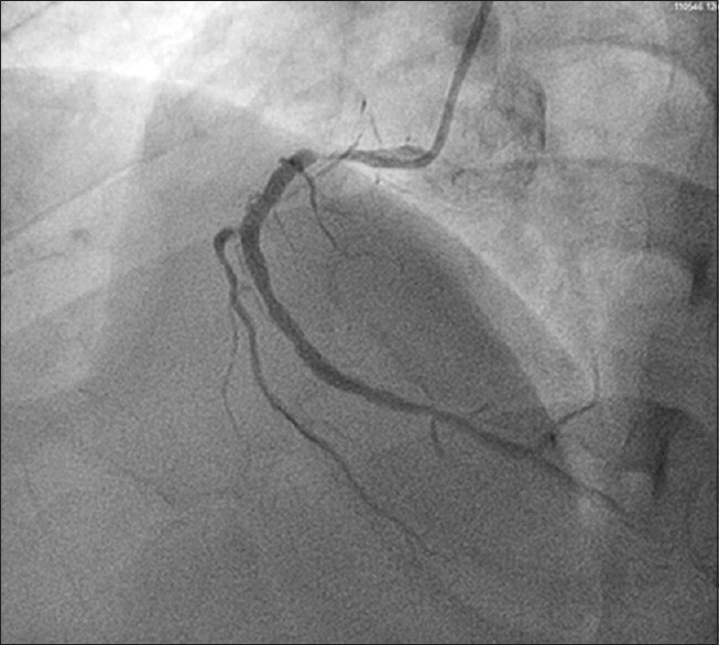
三、需要进一步治疗
如果药物正确,使用剂量也得当,但患者依然有心绞痛存在,那么可能就是强化药物治疗后仍然无法控制的心绞痛,可能就是需要进一步冠状动脉造影检查指导下一步治疗了。如果此时还不进行冠状动脉造影等检查,可能将会出现心梗等严重并发症了。进行造影后可能需要介入或者外科搭桥的方式进行血运重建,仅仅吃药恐怕已经解决不了问题。

四、压根就不是心绞痛
最后一种可能,如果造影后发现压根儿就不是心绞痛,那么吃再多的药物,恐怕也是徒增胃肠负担,不会起到作用了。所以,如果药物正确,使用剂量也得当,那么就需要鉴别患者到底不是心绞痛的情况了。
亲,看懂了吗?如果进行了鉴别诊断,明确了病变的情况以后,才能做出更优的处理措施。关注我们,每天都有更新的科普推送给您!