牙齿是伴随我们一生的重要部分。
它不仅担任平时咀嚼的工作,在一定程度上还是我们的颜值担当。一口洁白整齐的好牙在你微笑时会给对方留下很好的印象。
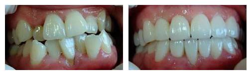
反观,如果我们的牙齿过于拥挤齿序混乱,牙缝比较大或者"天包地""地包天",首先美观就会收到很大影响,进而产生自卑心理。
对于口腔健康来说,这一类的牙齿还会影响咬合,难以清洁,容易引发龋齿,给我带来生活上的不便和身体上的痛苦。
通常情况下,这样的牙齿我们会建议患者进行牙齿矫正,今天我们就来讲一下关于牙齿矫正那些事儿。

那么什么是牙齿矫正呢?
牙齿矫正我们又称之为正畸。就是通过医学手段和工具,利用人体自身颌骨、牙骨质和牙周膜的特性,将错牙矫正,恢复牙齿咬合功能和口腔美观的治疗。
我们的人拥有强大的恢复特性。
牙齿矫正治疗,就是依托在这个特性之上,正常牙齿是整齐排列在我们的颌骨上的,它们的牙根在牙槽骨内。它们并非不能移动,因为在牙齿和牙槽骨之间的牙周膜是有一定的韧性。
正是因为牙齿可以缓慢移动的特性我们就可以通过医疗手段(例如托槽矫正器)将力作用在牙冠上,进而传导到牙根处,然后对牙槽骨产生改变,就能达到牙齿矫正的目的。

不过当我们要进行牙齿矫正之前,需要先到医院进行系统检查。要保持我们的牙周情况(例如牙龈,牙槽骨)处在一个稳定健康的状态之下。

在这里我也向大家介绍几种牙齿矫正的方式
牙齿的矫正我们使用的比较多的办法就是矫正器,也叫托槽。主要分为以下几种:
金属托槽牙套
金属牙套属于固定矫正器,它是用一种医用的胶质把矫正器直接粘在牙齿上,再通过连接钢丝逐渐加力的方式将牙齿进行缓慢移动,达到矫正牙齿的目的。

半隐形陶瓷微晶托槽牙套
和金属托槽牙套相比,牙齿的托槽不那么明显,相对比较美观。

隐形牙套
分阶段制作不同的陶瓷隐形牙套,用以患者佩戴来改善牙齿畸形问题。或将托槽隐藏在齿内侧,往往这种托槽的难度比较大。

活动牙套
这种牙套主要适用于乳牙期的孩子,方便取戴可以活动。

此外还有一种情况需要单独说明。如果牙齿矫正涉及到颌骨整形问题,我们还会根据患者年龄的不同来采用不同的治疗方案。
但是如果患者还处在生长期,我们通常采用两种方法:
功能矫正器,即通过对牙齿功能的改善,达到刺激或者抑制颌骨的作用。
矫形类矫正器,即通过对颌骨施加比较大的力量,使其向正确的方向改变。
当患者已经不在骨骼的生长发育期,并且颌骨问题比较严重,就需要正畸科和整颌外科进行联动治疗。一面负责牙齿的正确排列,一面负责颌骨的正确位置。

牙齿矫正的副作用主要体现在托槽矫治的并发症上。主要由以下几种情况:
- 牙齿矫正器佩戴的适应期,吐字发音和吃东西会受到一些影响
- 如果矫治力比较大,会引起患者牙齿不适甚至疼痛的情况
- 不便于清洁口腔,容易出现牙周炎症
- 容易影响牙槽骨高度

还需要强调的是,牙齿矫正需要很长一段时间,一般为1-3年。患者需要定期复诊,保持耐心,坚持矫正器和保持器的佩戴。在进行牙齿矫正之后,我们一定要保持良好的清洁习惯和用牙习惯。
牙齿的矫正是我们需要重视的问题,因为这直接影响到我们个人形象和口腔健康。
当我们将原本错位的牙齿通过矫正恢复了牙齿的整齐排列和咀嚼功能时,有的患者甚至脸型都发生了很大变化,会极大的增加我们的个人信心,让我们不论在职场还是生活中都能更加从容的应对。
此外,整齐的牙齿排列还能降低我们清洁口腔的难度,降低口腔疾病发生的概率。所以,牙齿需要矫正的患者一定要重视起来,尽早治疗。

我是牙科医生黄征难,35年从业经历,如果你有任何口腔问题,欢迎关注后在主页私信咨询,或评论留言!可以私信牙片,我来帮你免费问诊!