这里是你的平台
愿做你的专属编辑 愿做你的专属树洞

国际儿童专家频道 编辑 / 那菇凉
来 源 / 儿科助手
咳嗽是呼吸道疾病中最常见的一种临床症状,目前据国内外流行病学调查发现成人慢性咳嗽的病因中列前四位的分别是咳嗽变异性哮喘(cough variant asthma,CVA)、嗜酸粒细胞性支气管炎(eosinophilic bronchitis,EB)、上气道咳嗽综合征(upper airway cough syndrome,UACs)、胃-食管反流性咳嗽(GERC),但各国、各地区的研究结果显示其构成比互不相同。国外研究显示EB占慢性咳嗽病因的10%~30%。我国一项前瞻性、多中心的慢性咳嗽病因研究显示EB发生率为17.2%,仅次于CVA及UACS。
EB是一种以气道嗜酸粒细胞浸润为特征的气道炎症性疾病,国外亦称其为非哮喘性嗜酸细胞性支气管炎。而在日本,EB与变应性咳嗽被视为同一种疾病。EB于1989由Gibson等首先描述,它是以慢性咳嗽、痰嗜酸粒细胞浸润为特征,无气流受限、气道高反应性且呼气峰流速变异率正常,仅对糖皮质激素治疗反应良好。

一、EB的病因及病理
EB的病因尚不清楚,目前推测可能与环境因素或职业暴露有关。前者多为吸入性抗原如花粉、蘑菇孢子、尘螨等,后者多为大分子物质如氯胺、布拉西明、异氰酸酯、橡胶、丙烯酸酯、环氧树脂硬化剂、焊接烟雾、甲醛等,并可称为职业性嗜酸细胞性支气管炎。
EB基本病理表现为嗜酸粒细胞性气道炎症病变,可伴有T淋巴细胞、肥大细胞等多种炎性细胞的浸润。另一方面为气道重塑,即胶原纤维沉积、成肌纤维细胞分泌蛋白并渗出,进而出现气道上皮下纤维化、基底膜增厚。此外气道重塑也包括气道血管、平滑肌、腺体、基质等多个组成部分的改变。上述病理改变也见于哮喘患者,但EB的气道炎症以黏膜层为主,嗜酸粒细胞浸润的程度较哮喘轻,且病变局限于中心气道,不存在管壁增厚。
二、发病机制
EB存在与典型哮喘相似的气道炎症,但缺乏气道高反应性,提示嗜酸粒细胞性气道炎症并不是气道高反应性的唯一决定因素。目前普遍认为EB的发生机制包括气道炎症及气道重塑两方面。
在气道炎症方面,参与EB气道炎症反应的炎性细胞及其所释放的细胞因子、炎症介质繁多。炎性细胞主要包括嗜酸粒细胞、T淋巴细胞、肥大细胞。目前T淋巴细胞表达的Th2细胞因子白介素(IL-4、IL-5、IL-9)、嗜酸粒细趋化因子(eotaxin)、趋化因子受体(CCR3、CCR5、CCR6、CXCR3)、粒细胞-巨噬细胞集落刺激因子、肥大细胞等已被公认参与了EB的发生,但具体上述炎症因子在该疾病发生、发展中的作用还不得而知。众多细胞因子虽然均参与了EB的发生、发展,但仅与其嗜酸性气道炎症有关,并非EB气道炎症中的决定性或标志性炎症因子。
EB同哮喘一样为嗜酸粒细胞性气道炎症病变,而Th2型优势应答是哮喘发生的重要机制。有研究显示EB也是Th2细胞驱动的疾病,其中Th2细胞分泌的IL-5具有促进嗜酸细胞生长、分化的重要作用,促进细胞内花生四烯酸类物质的代谢,产生大量炎性介质,故IL-5是EB发生的关键性细胞因子。除IL-5外,eotaxin也参与嗜酸粒细胞性气道炎症的形成。EB患者气道平滑肌内存在肥大细胞,可分泌组胺、PGD2。组胺一方面通过作用于H1受体,激活迷走神经元去极化,引起毛细血管通透性增加,气道黏膜水肿,使气道平滑肌痉挛收缩,另一方面能选择性地趋化嗜酸粒细胞。PGD2则通过DPI受体抑制Th2型细胞因子的表达,同时可通过Th2细胞上的CRTH2受体促进IL-5的表达,从而促进Th2型细胞因子的表达,两者相互作用,共同参与气道炎症反应。鉴于仅肥大细胞可产生PGD2,故有人提出肥大细胞的活化似乎是EB的特征。

虽然EB与哮喘为同类型的气道炎症,但临床表现并不完全相同,其原因至今尚未完全清楚。目前有以下几种解释:①EB的气道炎症反应主要集中于黏膜层,各种炎性细胞、炎性介质达到气道平滑肌的浓度较哮喘患者低,故引起气道平滑肌收缩作用较弱;哮喘患者由于存在持续气道重塑,可使气道阻力逐渐增高,最终导致气流受阻。但EB的气道平滑肌收缩作用微弱,不足以引起气流受阻,故肺功能正常。②EB的气道炎症反应中Th2细胞因子的变异量较小,不足以引起严重的气道炎症,故无气道高反应性。③LTC4与支气管收缩有关,PGE2可能通过其EP2、EP4受体激活腺苷酸环化酶使细胞内cAMP含量增加从而部分抑制了气道平滑肌细胞的增殖,这对气道产生了保护性作用并可能导致气道平滑肌松弛、抑制炎症反应。,EB患者中LTC4/PGE2较哮喘患者低,故气道保护作用较强。④气道平滑肌内的肥大细胞数量与气道高反应性相关而EB患者气道平滑肌内肥大细胞少见而存在于气道表面,故EB缺乏气道高反应性。⑤EB、哮喘都存在气道重塑,但两者表现形式不同,哮喘主要表现为气管壁增厚、管腔内径缩小,而EB主要表现为气管扩张、管腔总面积增加,不存在气管壁增厚,故可能导致其气管收缩时无气流受限等异常。⑥S-亚硝基硫醇(SNOs)为NO代谢产物,而NO具有支气管扩张样作用。有研究推测SNOs的支气管扩张样作用造成了EB不具有气道高反应性。⑦有研究发现哮喘患者的诱导痰中锌、铜浓度显著低于EB组而铁浓度显著高于EB组,并推测EB和哮喘患者的诱导痰液中微量元素锌、铜、铁水平的差异性可能是二者病理生理特征差异的机制之一。
三、EB的诊断进展
诊断EB中最关键的一点是测定气道嗜酸粒细胞性炎症反应水平,采样标本包括BALF、经气管镜活检气管黏膜组织及无创性诱导痰液。近年来,无创性气道炎症评估检查受到越来越多的关注。
痰液中嗜酸粒细胞数量增高是EB诊断中最重要的一点。目前我国咳嗽指南中该数值标准定为>2.5%。有学者认为诱导痰与自发痰液的区别仅在于诱导痰中的上皮细胞比例更低,且诱导痰可避免鼻腔等分泌物对痰标本的污染。但诱导痰的操作繁复,依赖于熟练的操作技术,故质控较难,限制了其临床应用。有学者尝试将诱导痰与流式细胞检测结合,利用细胞的特殊免疫表型而对气道炎症进行评估,但该检测方法还需特异性气道炎症反应类型的活化细胞表面标记作为支持。
近年来呼出气NO(FeNO)水平测试作为一种无创检测方法受到广泛关注,高FeNO水平与嗜酸粒细胞性气道炎症有良好相关性,但FeNO作为EB的诊断性试验其特异性较差,可用于EB的排除性诊断。同时,FeNO也与未经糖皮质激素治疗的EB患者痰液中的嗜酸粒细胞呈正相关,但一旦激素治疗后此相关性明显减弱,表明FeNO不可作为EB患者升降级治疗的量化指标,但在预测EB患者接受激素治疗的有效性中有其独特价值。
近年来有学者利用冷凝器收集呼出气冷凝液以检测存在于冷凝液中的气体及其他物质从而分析气道炎症的本质,但由于冷凝器的种类繁多,检测需在特定实验室中完成故限制了其在同类研究中的可比性,此外,呼出气冷凝液检测缺少正常参考范围及有效的气道炎症观察指标故限制了其临床应用。
另有研究显示对气管黏膜活检组织进行EPX-mAb特殊染色,可发现一般检查所未能发现的嗜酸粒细胞浸润性疾病,该检查技术可提高EB的诊断率,但目前尚未有该项技术应用于EB诊断的报道。另有研究表明辣椒素诱发的咳嗽敏感性试验在EB患者中呈阳性结果,说明EB气道神经源性炎症的存在,而在日本该项检测亦是本病区别于CVA的重要依据。

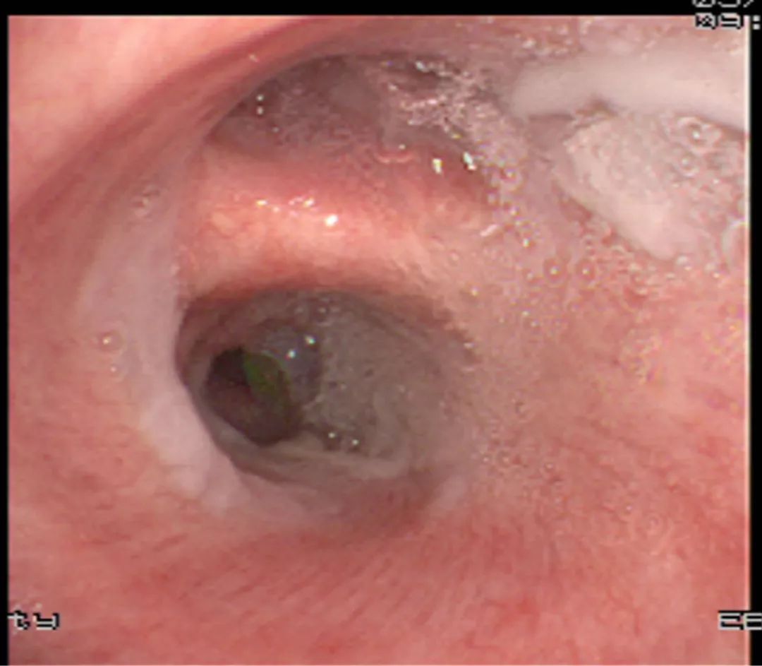
电子支气管镜显支气管黏膜充血、右侧主气道上的厚黄白色粘液栓
四、治疗
确诊EB后患者应脱离可疑过敏原或职业环境。Gibson于1995年首次报道吸入糖皮质激素(ICS)治疗EB,并取得理想疗效。2009版中国咳嗽指南也推荐采用吸入ICS治疗EB,以有效抑制炎性细胞数量及其活性,疗程应持续4周以上。近期一项研究显示吸入布地奈德治疗EB的最佳剂量为800 ug/d。至于症状缓解后是否继续激素治疗仍未有定论,但根据国内报道多数用药时限为1~3个月后症状消失即停药。相关研究显示ICS至少8周治疗更有利于EB的控制。
孟鲁司特是一种选择性白三烯受体拮抗体,能特异性拮抗半胱氨酰白三烯受体,已有研究显示其对典型哮喘、咳嗽变异性哮喘有明确疗效。鉴于孟鲁司特的良好治疗效果同时又能减少ICS剂量增加所致的不良反应,可成为EB患者治疗方法之一。
利多卡因具有抗嗜酸细胞性气道炎症、拮抗支气管痉挛且可减少激素依赖的作用。国外一项随机、双盲对照研究将利多卡因运用四氟乙烷HFA-134A为载体研制成定量吸入气雾剂并应用于激素依赖性EB患者,但研究最终因利多卡因的不良反应而被迫终止。
既往认为EB呈自限性,预后良好,但近期研究显示并非如此。多数EB患者的病程在无干预情况下可至少持续一年,而在治疗后的4~24个月内痰嗜酸细胞仍会再次升高,病程反复。国外有报道32例EB患者经为期1年以上的随访,最终发现21例(66%)患者气道炎症、咳嗽症状持续存在,3例(9%)患者出现可逆性气流受限而发展为哮喘,5例(16%)患者出现轻度不可逆性气流受限,仅1例患者完全治愈。国内许丹媛等对80例按正规治疗的EB患者进行了为期一年的随访,发现停药一年后有29例复发,占36.25%,复发组中合并过敏性鼻炎者10例,占34.48%,未复发组中合并过敏性鼻炎者有7例,占13.7%,两者间差异有统计学意义,故该研究提示EB治疗后一年有1/3复发,且合并过敏性鼻炎者更易复发。EB、CVA、哮喘是否为同一疾病的不同阶段还需更多证据。

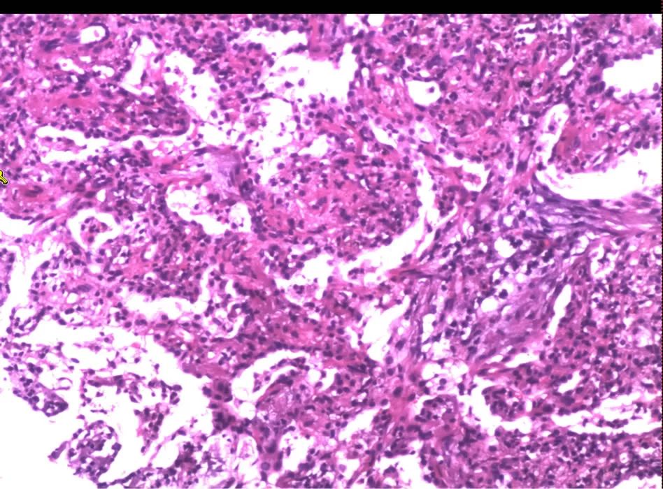
支气管肺活检:肺泡和间质嗜酸性粒、淋巴细胞堆积,间质 轻度纤维化
EB可发生于任何年龄,报道多见于青壮年,在成人慢性咳嗽的主要病因之一,儿童慢性咳嗽中EB患者所占的比例尚不清楚。EB是成人慢性咳嗽的一个重要原因,其特点是肺部影像学、肺功能、气道反应性、PEF日间变异率均正常,而诱导痰嗜酸粒细胞比例增高,糖皮质激素治疗有效。
资料来源:孙晓远,周新.嗜酸粒细胞性支气管炎的研究进展.国际呼吸杂志,2014,34(11):866-89.
国际儿童专家频道
一个有温度、有态度的儿科公益组织
国际儿童专家频道、那菇凉
内心若是笃定 何惧未知风雨