右上角立即关注,更多健康内容不再错过,不定期惊喜送给你
到底孕早期见红了,该怎么保胎呢?其实,这个真的要分情况说,我们来根据几种比较常见的孕早期见红情况来分析该怎么办?

1、早期流产。
这是比较常见的一种孕早期见红的原因,出现出血的情况预示会发生流产的情况。针对这种情况,通常需要根据阴道出血量、下腹疼痛程度、子宫与妊娠月份符合程度、宫颈口是否扩张等不同情况,先来区分是先兆流产、难免流产、不全流产还是完全流产。
其实导致流产的原因有很多,包括遗传因素(如基因异常);外界不良因素影响;母体因素如全身性疾病,内分泌功能失调及创伤、生殖器官疾病;胎盘内分泌功能不足、免疫因素等,都有可能会导致流产的发生。这个时候就需要有针对性的治疗,建议出现这种情况一定要及时到医院检查,确定宝宝的情况以及导致这个问题出现的原因,然后有针对性的采取保胎措施。

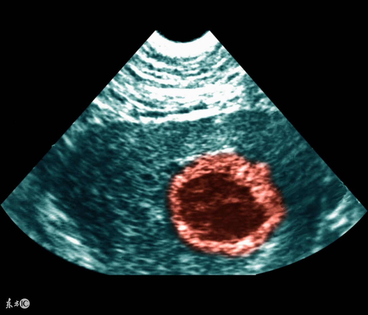
2、宫外孕。
宫外孕也会导致孕早期异常出血。很多朋友发现自己怀孕了,没有做过检查确定受精卵是否已经到达子宫着床发育,或者检查没有在子宫里发现孕囊。如果这个情况下出现异常出血,并且伴随强烈突然的腹痛,应该要考虑到宫外孕的可能性。
如果出现这样的情况一定要及时就医,因为如果宫外孕破裂会对孕妈妈身体健康带来极大的威胁。所以,这个问题一定要重视!

3、葡萄胎。
葡萄胎的问题相对并不是很常见,很多出现葡萄胎问题的女性朋友在停经后会发生断断续续的阴道出血,但是还会有比较明显的妊娠反应,有些朋友检查的时候会发现子宫增大的比较异常,这个时候就要考虑葡萄胎的可能性。建议最好能具体进一步检查hcg水平及B超等来确诊是否出现葡萄胎的问题。
当然,出现孕期出血的情况,除了及时到医院之外,短时间内尽量卧床休息,避免太过激烈的活动,也禁止*生活性**,不过不要紧张,积极的配合医生调理就好。
祝愿大家都有个好孕气!
