
(⊙_⊙)
每天一篇全球人文与地理
微信公众号:地球知识局
NO.2475-子宫切除
文字:子昱
校稿:朝乾 / 编辑:果栗乘
近日,有女性网友某红色App上分享自己 切除子宫 的经历,引发了广泛地讨论。她们坚称,子宫切除后一切感觉良好,再也不用被痛经所困扰,准备开启全新生活。
一般都是生了病不得已才选择切除
有些草还是不要盲目种
(图:网络)▼

在生育意愿不强的女性看来,子宫这个器官除了怀孕,似乎没有其他用途,却会在 每个月都引起不适 。
但值得注意的是,虽然子宫切除术是一种较为常规的妇科手术,但对于大多数原发性或轻度继发性的痛经患者而言,并 不推荐进行 子宫切除术。因为子宫这个器官对于女性来说,还是十分重要的。
虽然每个月都会带来那么几天的不适
但是子宫不是你想切就能切的
(图:shutterstock)▼

至于 子宫为什么会引起“姨妈痛” ,我们今天就来认真聊一聊这个问题。
月经禁忌
在中国古代,人们已经意识到 月经来潮与生育 之间的关联。《黄帝内经》中提到“二七天癸至,七七天癸竭”,意思是在女性14岁的时候月经(天癸)来潮,可以生育子女;49岁的时候绝经,不再具有生育功能。
按照黄帝内经的解释
天癸的形成来源于先天之精
具有化生精血的功能
从而使男女具有生殖能力▼

但是,古人们 对于血液具有天然的畏惧 ,人们无法解释月经来潮的原因,也没人能解释这种周期性流血却又没有生命危险的生理现象,久而久之便将 月经和邪恶、魔鬼、不洁 附会在一起,从而演变出诸多 禁忌 。
在犹太教中,月经期间的女性被称为niddah
niddah在仪式上被认为是不洁的
(图:Braginsky Collection)▼

人们不仅会 禁止 经期女性参与迎亲、喜宴、祭祀等重大活动,而且女性日常外出也会被认为带来 灾祸 ,甚至丈夫也会在妻子经期间感到十分 害怕 ,需要分房睡来 躲避 “灾祸”的到来。
古时民间相信“撞红”(经期交合)
会让男性染上恶疾甚至死亡
(图:《本草纲目》明万历二十四年金陵胡承龙刻本)▼

有关月经的种种禁忌,使人们 采用种种别称来指代 。古代称其为 “天癸”、“信水”等,现在则有“例事”、“例假”等称呼。这种 婉称 在汉语中尤为常见,用来代指各种不方便直呼其名的事物。
以至于到了今天
女性的“月经羞耻”依然存在
(图:《破产姐妹》)▼

而现在用得比较普遍的“ 大姨妈 ”一词。有人认为“姨”是“遗”的谐音,“妈”是“马”的谐音(古代医书中称女阴为马眼)。但也有一种说法认为,“大姨妈”是一款舶来品,源于英文中的“aunt flow”(aunt即为阿姨、姨妈的意思)。
你大姨你二姨都是你姨
不管国内国外它都是那个“烦人的亲戚”
(图:Bob's Burgers)▼

在西方,《旧约》和《古兰经》中都提到了 经期妇女 应该遵守的戒律,她们被大家认为 可能传播罪恶的精神 。时至今日,这些古代的习俗在欧洲一些地区依然存在。
西方 的语言中同样也存在各种各样对月经的“婉称”,例如英语中:Shark Week(鲨鱼周)、Red tide(红潮)等。
英文中最常用的还是“period”
除此之外还有很多俚语代指月经
(图:hazel.mead)▼

甚至早年间, 法国 人对月经有一种让人摸不着头脑的称呼“Les Anglais ont debarqué”,直译为“英国佬来了”。
据说该词诞生于1815年滑铁卢战败的第二天
它指的1820年占领法国的英国士兵所穿的红色制服
(图:facebook@Aude Picault)▼

总之,虽然古人对月经与生育之间的关系已有朦胧的认识,但无法解释月经流血的原因,对于月经的态度渐渐 由敬畏转为忌讳 ,这一态度也深深地影响了今天人们的认知。
月经来潮的原因
现代科学研究证实,女性进入青春期以后,“ 下丘脑-垂体-卵巢 ”——这一条 性激素分泌轴线 的功能逐渐完善、成熟,激素周期性的变化导致 子宫内膜周期性的脱落出血 。
在月经初期,雌激素和孕激素处在较低的水平,不会抑制下丘脑和垂体分泌激素,此时下丘脑分泌 促性腺激素释放激素 (GnRH)作用于垂体,使得垂体分泌 促卵泡激素 (FSH),它和 促黄体生成素 (LH)一起 促进卵巢中卵泡的发育成熟 。
人体体内的性腺轴
通过上下游激素间的正负反馈
来调节各激素处于动态平衡中▼

在这个过程中,卵泡分泌的 雌激素越来越多,它让 子宫内膜逐渐增厚 ,为后续 怀孕 做好准备。
当卵泡发育成熟以后,雌激素分泌达到高峰,在大量LH的作用下开始 排卵 。此后LH以及FSH的使命完成,垂体分泌的量急速减少,卵泡的位置形成 黄体 ,在没有妊娠的情况下可以存在14天左右,黄体分泌的 孕激素 继续支持增厚的子宫内膜。
卵巢、激素水平和子宫内膜
在一个月经周期间的变化▼

如果排卵前后有精子进入女性体内,与卵子结合 形成受精卵 ,黄体会继续存在3个月甚至更长时间,并持续分泌孕激素支持增厚的子宫内膜,保证 妊娠 正常进行。
如果 没有成功形成受精卵 ,黄体的使命也就此终结:逐渐 萎缩 ,导致体内的雌、孕激素越来越少,在没有足够激素支持的情况下,增厚的子宫内膜开始慢慢 脱落 、从阴道 排出 ,便 形成月经 。
也就是说,月经实际上是指
伴随卵巢周期性变化而出现的
子宫内膜周期性脱落及出血
(图:YouTube)▼

待经期结束以后,体内的雌、孕激素又开始逐渐增多,重复上述的过程, 周而复始 ,伴随了女性生命中一半的时间。
目前认为,月经主要有以下几个作用:
① 女性生殖道 自然防御功能 之一。月经的本质是子宫内膜的周期性脱落排出,这一过程使每个月都有新生的子宫内膜,保证顺利怀孕。
子宫内膜是受精卵发育成胚胎的温床
(图:wiki)▼

② 女性 性成熟、怀孕 的重要信号。月经初潮是女性性成熟的重要标志之一,同时,在建立月经周期后,月经迟迟不来的话就需要首先考虑该女性是否怀孕。
对于女性而言,在做好准备的前提下
初潮和怀孕都是值得庆祝的重要人生节点
(图:shutterstock)▼

③ 一些 妇科疾病 的信号。月经的多少、间隔天数、每次时间长短以及经期出现的症状会有一定的个体差异,但如果出现诸如量大、闭经等情况,则需要进一步考虑是否患有疾病。
如月经出现异常,应及时咨询专业医生
(图:verywellhealth)▼

经期的诸多症状,最困扰女性的毫无疑问是 疼痛 ,痛经发生的时长以及疼痛程度因人而异。据统计,50%-90%的女性出现过痛经。
痛经的原因包括原发性、继发性,继发性多为 原发疾病 造成,例如子宫内膜异位症、子宫腺肌病等;在排除人体器质性病变后可考虑为 原发性痛经 。
子宫腺肌病和子宫内膜异位症都是因为
子宫内膜跑到了不该待的地方引起的
都属于子宫内膜异位性疾病
(图:woman2wome&endo-resolved)▼

通常认为,这种疼痛是经期子宫内膜 分泌了过多的前列腺素 ,导致子宫平滑肌 剧烈收缩 ,进而出现疼痛。
前列腺素是一类广泛分布于人体各组织和体液中,具有生理活性的不饱和脂肪酸。虽然叫这个名字,但前列腺素并非男性独有, 女性子宫内膜也会分泌。
前列腺素分子结构图▼

目前针对前列腺素研发的止痛药已经非常成熟,最为大众熟悉的就是 布洛芬 ,除此以外还包括对乙酰氨基酚、吲哚美辛等。这些药物由于不含有甾体结构,通常被称为 非甾体药物 ,具有解热、镇痛等功效。
经常痛经的女性,要多备些布洛芬
(图:shutterstock)▼

可否随意切除子宫?
子宫是女性 内生殖器官 之一,位于盆腔中央,呈倒置的梨形。成年人子宫体积略小于拳头,重约50克,子宫腔容量约5毫升。女性性成熟后,在激素调节下子宫内膜 周期性生长脱落 ,形成月经。
盆腔解剖图▼

子宫剖面图(图:wiki)▼

据统计,女性的第一次月经大多发生在11-15岁之间;月经规律以后,周期通常在21-35天,每次月经的间隔可能 存在几天的差异 。一次来潮3-7天,月经量大概在20-60ml。
月经周期示意图
(图:wiki)▼

精神压力、过度运动以及节食等原因都会影响 月经的量和周期 。
2019年,针对东部某省份女大学生的一项问卷调查显示,仅有 不到60% 对月经持较为积极的态度;仍有相当一部分女性依然认为 月经是肮脏的 ,羞于启齿。
世界各地不同文化对待月经的方式和态度不尽相同
但似乎都存在着一些针对月经的禁忌
(尼泊尔的月经小屋 图:theweek.in)▼

但事实上,就像吃喝拉撒一样, 月经也是女性正常的生理现象之一 ,子宫内膜周期性生长脱落是保证女性身体健康运转的一项 重要生理活动 。
除了孕育生命的功能以外,子宫内膜中细胞还 参与多种激素的形成 ,这些激素共同参与人体内分泌系统的调节, 保证人体机能正常运转 。子宫内膜还会分泌分泌巨噬细胞刺激因子,白细胞介素等, 参与免疫系统的调节 。
一个生理周期内子宫内膜激素的分泌及变化
(图:firstclassmed.com)▼

此外,子宫位于膀胱以及直肠的中间,失去子宫后容易造成 周围脏器移位 ,出现新的困扰。
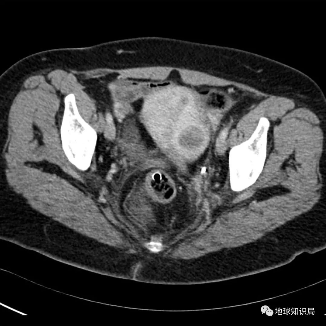
目前临床上子宫切除术需要严格掌握适应症与禁忌症, 适应症 包括:较大的子宫良性肿瘤;恶性肿瘤;子宫腺肌病、子宫内膜异位症等,且保守治疗无效;子宫脱垂、子宫翻出、子宫破裂等,且不需要或不能保留子宫。
一般人遇到以上情况的还是比较少
但关于子宫的一些其他小毛病平常也得多留意
(子宫肌瘤的CAT扫描 图:wiki)▼

综上,子宫 并非可以随意切除 ,需要 正确认识 月经正常生理现象,打破月经羞耻、月经禁忌;也需要 解决 月经期间的各种烦心事,让女性不再认为这是一件烦恼、痛苦、尴尬的事情。
日常生活中走在大街上突然来月经而没有卫生巾,也是许多女性都遇到过的窘境。好在现在越来越多的商场、公园都会 免费提供卫生巾 ,极大方便了出门在外的女性,尤其是一些在户外工作的女性。
小小的卫生装置
就能给女性带来极大的便利
(卫生用品分配器 图:vdl.lu)▼

随着科学技术的发展,一些诸如 可重复使用月经杯 等创新产品也已上市。
随着二战后的女性解放运动,在许多国家,女性的地位都得到空前提升,在很多地方月经也不再成为不可说的事物, 越来越多的女性可以公开讨论 ,似乎只有古老文献上记录的文字还描述着曾经的禁忌。
女性平均的经期长度是5天,月经周期的平均是28天
因而选择每年的5月28日作为世界经期卫生日
来呼吁社会关注女性经期的卫生与健康管理
(图:wiki)▼

时代在发展,社会也在发展。尽管月经禁忌在某些地方依然存在,但越来越多的人开始认识到它们的错误和不合理性,并着手通过提高教育、发展科技和加强社会意识 打破这一禁锢 。
希望所有女性都能被善待
能够大方拥抱她们正常的生理的周期
(图:壹图网)▼

希望越来越多的人 理性看待月经 ,也不要因这种正常的生理活动而束缚人们的思想和行动。
参考资料:
1. Critchley, H. O. D., Maybin, J. A., Armstrong, G. M., & Williams, A. R. W. (2020). Physiology of the Endometrium and Regulation of Menstruation. Physiological reviews, 100(3), 1149–1179.
2. 李金莲,朱和双.汉文化视野中的月经禁忌与民间信仰[J].中国俗文化研究,2005(00):70-79.
3. 月经,不能说的秘密?上海疾控2022-09-07发布.
4. 来大姨妈别吃冷的、别洗头?其实这才是你真正不该做的…… 科普中国2022-09-16发布.
5. Jabbour, H. N., Kelly, R. W., Fraser, H. M., & Critchley, H. O. (2006). Endocrine regulation of menstruation. Endocrine reviews, 27(1), 17–46.
*本文内容为作者提供,不代表地球知识局立场
封面:壹图网
END