【病情描述】
张医生,您好!我妈妈53岁,2019年6月做了直肠Ca根治术,病理诊断:T3 N1b M0 III B期。术后进行奥沙利铂化疗。共计化疗7次。今年6月17日复查正常,但是12.17日进行复查,CT显示:吻合口肠壁稍增厚,直肠右侧及后方异常密度灶,M灶可能。想请教张医生:这是不是代表复发或转移?之后该怎么治疗?
患者直肠癌术后1年半局部复发。术后病理看中期,T3N1b。术后做了辅助化疗。目前CT检查看应该是盆腔复发。对于局部复发的诊断,一般很难取到活检病理,因为复发病变位于直肠外,甚至盆腔侧方深在间隙,很难穿刺活检。主要依靠增强CT或者核磁共振,必要时可以结合PET/CT的表现。这个患者没有做术前放疗,客观上增加了局部复发风险。

进展期低位直肠癌术前放疗可以降低局部复发风险
对于直肠癌局部盆腔复发,一般不首先手术切除。这种情况下,单纯再次手术很困难,一是术后粘连严重,再次手术出血风险增加,再者术中难以明确转移的病灶,尤其是病灶不大的情况下。因此,对于,直肠癌局部复发后的治疗,建议化疗联合局部放疗(前提是术前没有根治性放疗),同时完善分子检测,选择合适的靶向药物。

化疗联合靶向药物是目前晚期肠癌一线治疗方案
如果有机会应用PD-1免疫治疗,可以考虑化疗联合免疫治疗。

微卫星高不稳定,肿瘤突变负荷高是适合PD-1免疫治疗的重要指标
对于进展期中低位直肠癌,如果术前局部病灶进展明显,比如侵透肠周系膜,盆腔淋巴结转移多,尤其怀疑有侧方淋巴结转移时,不要轻易直接手术。最好做术前治疗,比如术前根治性放疗或者放化疗联合,这样可以降低术后局部复发风险。

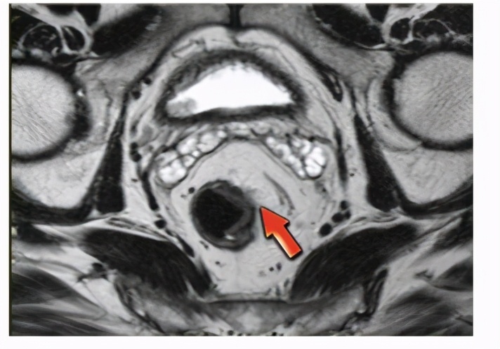
直肠癌核磁共振表现可以显示肠壁增厚,肠周淋巴结肿大
另外,如果明确有侧方淋巴结转移的情况下,即使做了术前放化疗,手术也要扩大淋巴结清扫范围,标准的TME手术并不能满足这类患者的治疗需求,需要加做侧方淋巴结清扫。当然,这必然增加手术时间,手术难度,增加手术风险。因此,需要到熟练的专科医生去手术治疗。
直肠癌术后复发的影响因素,除了治疗是否规范外(比如治疗策略是否合理,该做的术前治疗没有做,手术是否标准或者高质量的淋巴结清扫),还与诊断时病情严重程度,肿瘤本身的恶性程度,甚至年龄,心理状态等都有一定关系。肿瘤的异质性就是说,即使同一个专科医生,同样的病情,同样的治疗方案,有的患者治愈了,也有少数患者甚至术后一年内复发。但是,无论如何,早发现,规范的治疗方案,高质量的手术,都会在一定程度上提高治愈率,降低复发风险。