点击「神经介入在线」可快速关注

韩巨,男,山东省千佛山医院神经内四科主任,医学博士,硕士研究生导师,中国医师协会神经内科分会神经介入专业委员会委员,中国卒中学会神经介入分会委员,中华预防医学会卒中预防与控制专业委员会神经介入学组委员,“中华老年心脑血管病杂志”特邀编委,千佛山医院神经介入治疗技术负责人,山东省神经血管介入治疗技术审核专家。

颅内动脉CTO---
-
颅内动脉慢性完全性闭塞(chronic total occlusion,CTO)病变:症状性颅内大动脉CTO预后差,高卒中复发率、持续恶化,甚至导致死亡。药物治疗效果不佳,介入治疗的可行性和安全性尚不明确,均造成这一目前的医学难题。
介入治疗要点---
-
症状性
-
FR-MRI、CTP??
-
DWI、临床严重度(NIHSS)
-
core-clinical mismatch:临床上很实用
-
症状加重的诱因:直立位、低血压
-
影像:分水岭梗死
-
病因:动脉粥样硬化
技术要点---
-
标准的微导丝和微导管技术,配合使用技巧:微导丝穿过闭塞段是手术成功的关键,用微导管造影来判断真腔、闭塞长度。交换技术——需要术者的配合,保持微导丝头端充分的稳定性。如何判断微导丝的走行:纯感觉——本人主要凭感觉;影像参照——缺乏足够的实用性。
并发症---
-
再灌注损伤:脑出血转化,脑水肿。
-
导丝刺破血管:脑出血——穿支;蛛网膜下腔出血,多数是远端分支刺破。
-
血管夹层
-
血栓栓塞事件
-
支架内急性血栓形成
-
支架内远期再狭窄
▼2007,第1例基底动脉(BA)CTO再通。

▼2010年,9例BA-CTO再通,4例死亡,高风险!

▼2014年,24例报道,结果可接受。

▼2012年,缪中荣等报道2例大脑中动脉(MCA)CTO介入开通。2014年,缪中荣等报道8例颅内段椎动脉CTO介入开通。

病例1
患者:58岁男性,反复头晕,不能站立,视物不清,入院后药物治疗期间再次加重。

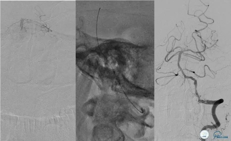
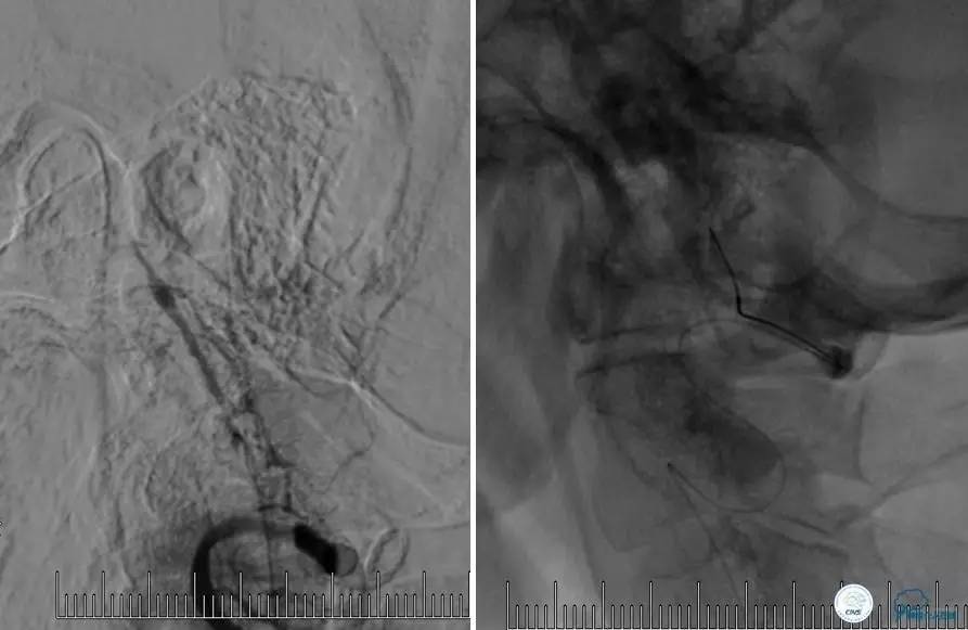
▼DSA示右侧椎动脉发育低下,弥漫性狭窄,可以看到左侧椎动脉反流,因此判断左侧椎动脉V4段CTO。

治疗:

微导丝穿过闭塞段,微导管造影,球扩闭塞段,置入Wingspan支架,血流完全恢复正常。
患者术后2天再次出现卒中发作,药物治疗好转,此后病情稳定。半年后复查DSA,见支架闭塞,侧支循环开放。患者一般情况好,mRS:1分。
病例2
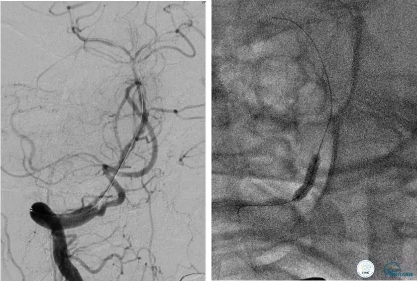
患者:58岁男性,反复头晕、肢体无力3月,当地造影见多发颅内动脉狭窄、闭塞,转来我院。

▼首先行颈动脉CTO开通术,手术顺利,Wallstent支架。

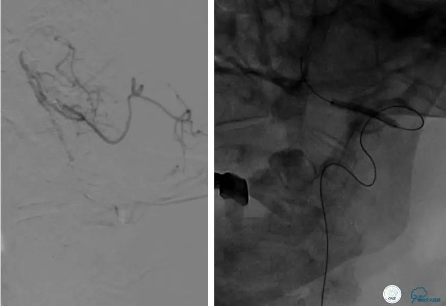
▼1周后行右侧椎动脉V4段CTO开通术。

▼微导丝穿过狭窄段,微导管造影,小球囊预扩张,2mm。

▼根据血管情况选择较大球囊再次预扩张。

▼置入2枚Wingspan支架,手术成功。

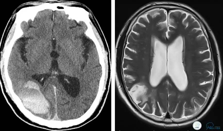
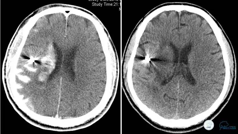
▼术后即刻CT,梗死灶内再灌注出血。

患者无症状,中性治疗。4月21日电话随访,一般情况好,当地CT示出血吸收期。
病例3
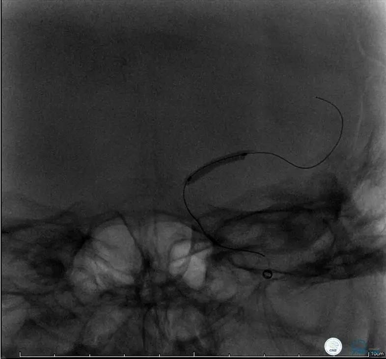
患者:77岁女性,住院后虽然给予药物治疗,仍再次卒中发作。

微导丝穿过狭窄时,有不安全感觉,不很顺畅,拐弯。

经反复尝试,微导丝仍顺利穿过闭塞段。

可见弥漫性长段硬化,选用合适球囊扩张后。

闭塞段很长且成角,置入Solitaire支架,效果好。
病例4
患者:53岁男性,反复脑梗死3个月。

▼给予球囊扩张成形,闭塞段较长,决定药物治疗观察,二期再给予支架治疗。

▼药物治疗1个月,再次发作。再次来我院支架治疗。

▼支架术后,效果好。

因此,某些患者分期治疗也具有合理性。
病例5
患者:49岁男性,左侧偏瘫1个月,药物治疗、康复训练效果不好,转我院,肌力0~1级。

core-clilnical明显不匹配,是介入开通的合适患者。

造影评价血管、判断闭塞段,微导丝小心穿过闭塞段,微导管造影,交换技术,球囊扩张,Enterprise支架。在后扩张时导丝刺破M3段血管,蛛网膜下腔出血(SAH)。

微导管进入破裂血管,栓塞弹簧圈1枚,出血停止,结束手术。继续双抗,术后2天肌力2级,神经功能恢复明显加快。

术后即刻和6天后CT,患者无明显临床症状。

半年后复查造影,无支架内再狭窄,可见弹簧圈,患者恢复至自己柱杖行走。
病例6
患者:49岁女性,脑梗死30天。

左侧颈内动脉末端闭塞,末端圆钝且有一定成角,开通难度较大,多次尝试导丝才成功穿过闭塞段。

开通效果很满意,术后症状明显恢复。
病例7
患者:反复发作右侧肢体无力、言语不清15天。

导丝很容易通过闭塞段。

顺利置入Wingspan支架,成功开通,手术顺利。
小 结
急性颅内动脉闭塞介入开通已经得到认可并写入指南,但是颅内动脉CTO自然史尚不明。症状性CTO容易反复发作恶化、预后差、药物效果差,部分患者可行介入再通术,技术可行、开通率较高。但有一定风险,并发症率相对较高。在颅内动脉狭窄介入支架治疗尚无循证医学证据的背景下,CTO介入治疗更应谨慎开展。对介入治疗技术和手术适应证的把握、患者的选择要求高,个人认为具有临床应用前景。

编辑 黄越
欢迎广大医生积极投稿,分享经典病例。
投稿邮箱:sjjrzx@hh-medic.com
点击下方“阅读原文”查看本期精彩课件内容!